吉野歯科医院
歯科医師 約1〜3名
川口駅 東口より徒歩3分
埼玉県川口市幸町3-8-46-202A
| 診療時間 | 月 | 火 | 水 | 木 | 金 | 土 | 日 | 祝 |
|---|---|---|---|---|---|---|---|---|
| 09:30-13:30 | ||||||||
| 15:00-18:00 | ||||||||
| 15:00-19:00 | ||||||||
| "休診日:水曜・日曜・祝日。最終受付は18:30(木・土午後は17:30) 平日の昼休み(13:30~15:00)は受付・電話対応不可。お盆、年末年始はお休み" | ||||||||
- 虫歯
- 歯周病
- 知覚過敏
- 根管治療
- 抜歯
- 詰め物・被せ物
他院で断られた難症例も、歯周病・インプラント専門医が豊富な経験に基づき根本解決します。
「抜歯したくない」等の難症例に自信あり。 県外からも患者様が訪れ、同業者からも紹介される専門医が根本解決を目指します。
治療室・設備
先進機器を備えた個室空間もあり、難症例にも精密に対応。 徹底した衛生管理とプライバシーへの配慮により、集中して治療を受けられる環境です。
内覧・外観
シックで落ち着いた空間は、待ち時間もリラックスできるよう配慮されています。 再発への不安や他院での治療の悩みも、落ち着いて相談できる環境を整えています。
歯科医師・スタッフ
日本歯周病学会認定医の院長をはじめ、専門性の高いスタッフが在籍。患者様に寄り添い、丁寧なカウンセリングで一人ひとりに最適なゴールを共有します。
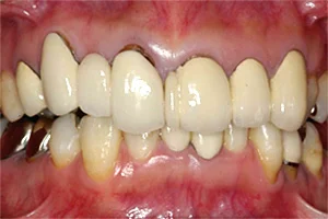
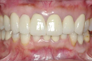
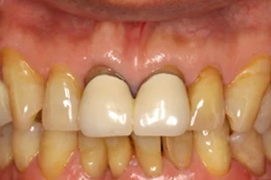
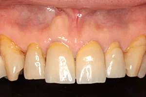
事例


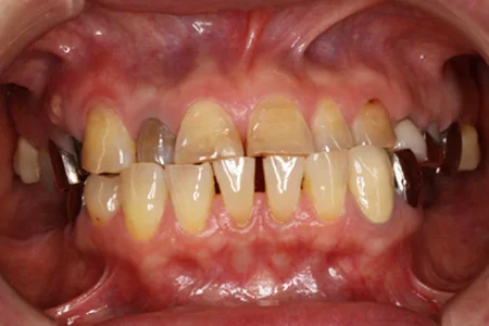
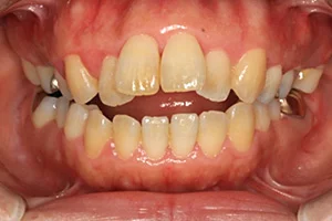
Before
After
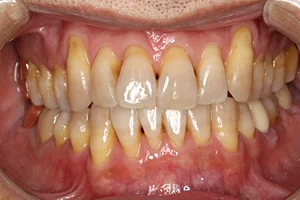
インプラント症例
3年7ヵ月 / 総額2,200,000円リスク・副作用:骨造成後の感染や吸収、手術の腫れ、インプラント周囲炎、矯正中の痛み、治療期間の延長があります。


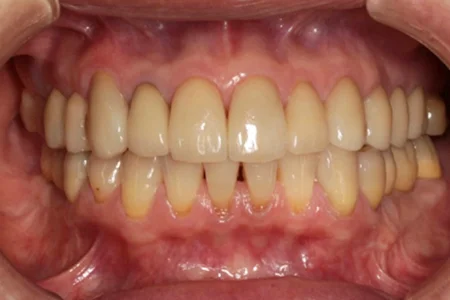
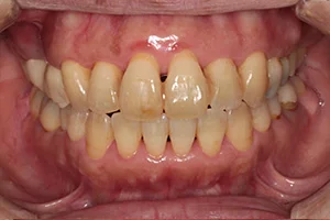
Before
After
歯周病治療
1年9ヵ月 / 金額81万円(内訳:矯正33万円(調整料含む)補綴メタルボンド12万円×4本=48万円)リスク・副作用:矯正による歯根吸収や歯肉退縮、補綴物の脱離や破損、二次虫歯、金属アレルギーのリスクがあります。


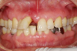
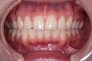
Before
After
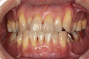
審美的歯科治療
2年1ヵ月 / 金額 補綴メタルボンド(上顎)10万円×9本=90万円補綴メタルボンド(下顎)12万円×6本=72万円部分矯正治療20万円リスク・副作用:根管治療後の再発、矯正中の痛み、被せ物の色調不一致や破損、装着後の違和感が生じることがあります。


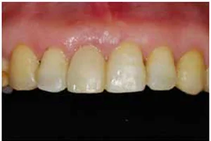
Before
After
審美的歯科治療
3ヵ月 / 金額 オールセラミックス14万×3本=42万円ホワイトニング1万×2回=2万円リスク・副作用:セラミックの破折や脱離、ホワイトニングによる歯の知覚過敏、術後の色戻りが起こる可能性があります。


Before
After
矯正治療
4年9ヵ月 / 金額 矯正診断料15,000円、歯周外科手術料490,000円、全顎矯正(頬側)600,000円、矯正調整料10,000円/月ごとリスク・副作用:外科手術後の痛みや腫れ、感染、矯正による歯の移動に伴う痛み、歯肉退縮などのリスクを伴います。


Before
After
矯正治療
2年8ヵ月 / 金額 矯正診断料15,000円全顎矯正(頬側)600,000円矯正用調整料10,000円(月ごと)リスク・副作用:抜歯部位の痛み、歯根吸収、矯正装置による口腔内の傷、治療後の後戻りが生じることがあります。


Before
After
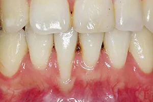
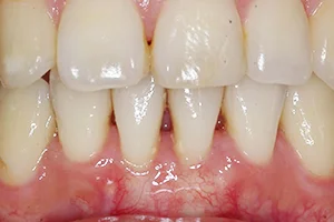
歯周病治療
手術は1回で治癒に1ヵ月 / 金額 歯肉移植1本4万円リスク・副作用:移植先の痛みや腫れ、内出血が生じる場合があります。移植した歯肉が完全に定着しないリスクがあります。


Before
After
矯正治療
2年9ヵ月 / 金額 矯正診断料15,000円全顎矯正(インビザライン)1,000,000円リスク・副作用:装着時間の不足による計画遅延、装置の破損、治療中の咬合違和感、発音への影響が出る場合があります。


Before
After
矯正治療
3年1ヵ月 / 金額 矯正診断料15,000円全顎矯正(舌側)900,000円矯正調整料10,000円(月ごと)リスク・副作用:装置による舌の痛みや口内炎、一時的な発音障害、食べ物の詰まり、歯根吸収のリスクがあります。


Before
After
インプラント症例
3年1ヵ月 / 総額4,700,000円リスク・副作用:手術に伴う神経損傷や感染、インプラント脱落、インプラント周囲炎、被せ物の破損のリスクがあります。
対応治療・価格
歯周病性細菌検査
料金目安(税込):約22,000円歯周病の原因となる細菌の種類や量を特定し、個々の症状に合わせた最適な治療計画を立案するための検査です。リスク・副作用:検査自体に痛みやリスクはありませんが、検査結果に基づき追加の治療や処置が必要になる場合があります。
インプラント(埋入手術・2次手術)
料金目安(税込):約308,000円〜341,000円欠損部に人工歯根を埋入します。精密なデータに基づき、機能性と審美性を回復します。リスク・副作用:外科手術を伴うため、術後の腫れや痛み、出血、感染、周囲の神経損傷のリスクを伴う場合があります。
アクセス
吉野歯科医院
歯科医師 約1〜3名
川口駅 東口より徒歩3分
埼玉県川口市幸町3-8-46-202A
| 診療時間 | 月 | 火 | 水 | 木 | 金 | 土 | 日 | 祝 |
|---|---|---|---|---|---|---|---|---|
| 09:30-13:30 | ||||||||
| 15:00-18:00 | ||||||||
| 15:00-19:00 | ||||||||
| "休診日:水曜・日曜・祝日。最終受付は18:30(木・土午後は17:30) 平日の昼休み(13:30~15:00)は受付・電話対応不可。お盆、年末年始はお休み" | ||||||||










