わたなべ歯科
歯科医師 約1〜3名
春日部駅 西口 徒歩6分
埼玉県春日部市中央1-21-2 1F
| 診療時間 | 月 | 火 | 水 | 木 | 金 | 土 | 日 | 祝 |
|---|---|---|---|---|---|---|---|---|
| 09:30-13:00 | ||||||||
| 14:00-17:30 | ||||||||
| 【初診の患者様へ】 当院は完全予約制となっております。現在、新規の受付状況は以下の通りです。 【小児歯科】午前中のみ受付しております。【成人の方】現在、一般診療の新規受付を停止しております。※ホワイトニング・矯正歯科については、新規のお申し込みが可能です。 ▶︎クリニック上に提携駐車場あり、駐輪場もあり | ||||||||
- 小児矯正
- 部分矯正
- マウスピース矯正
- 審美治療
- ホワイトニング
- ホームホワイトニング
「笑顔と健康のお手伝い」来院される方の人生に寄り添う、地域のホームドクター。
お悩みや「どうなりたいか」という患者さんの想いを聴くことを大切にしています。丁寧なカウンセリングを通じ、一人ひとりの生活に寄り添った最適なケアを提案します。
治療室・設備
プライバシーを守る仕切りがあり、お子様専用ユニットも完備。徹底した衛生管理とデジタル機器による精密な診断で、安全で心地よい予防や治療をお届けします。
内覧・外観
リラックスできる落ち着いた空間です。有料託児サービスやキッズコーナーも完備しており、小さなお子様連れの方も安心して待ち時間を過ごしていただけます。
歯科医師・スタッフ
「笑顔と健康のサポーター」として、院長や管理栄養士・保育士などの専門スタッフが連携。対話を重視し、お悩みやご要望に寄り添う温かな診療を心がけています。
事例


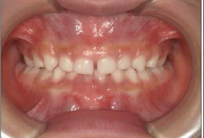
Before
After
反対咬合改善
4回 / 16万5千円リスク・副作用:お子様の協力が必要不可欠です。装置装着による痛みや違和感、発音への影響、磨き残しによる虫歯・歯肉炎のリスクがあります。


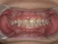
Before
After
顎の形・ゆがみ改善
12回 / 55万+6万6千円リスク・副作用:お子様の協力が必要不可欠です。装置装着による痛みや違和感、発音への影響、磨き残しによる虫歯・歯肉炎のリスクがあります。


Before
After
ねじれ改善
13回 / 55万リスク・副作用:お子様の協力が必要不可欠です。装置装着による痛みや違和感、発音への影響、磨き残しによる虫歯・歯肉炎のリスクがあります。


Before
After
前突改善
24回 / 55万リスク・副作用:お子様の協力が必要不可欠です。装置装着による痛みや違和感、発音への影響、磨き残しによる虫歯・歯肉炎のリスクがあります。


Before
After
口蓋・下顎アーチの変化・前突改善
30回 / 55万+6万6千円リスク・副作用:お子様の協力が必要不可欠です。装置装着による痛みや違和感、発音への影響、磨き残しによる虫歯・歯肉炎のリスクがあります。


Before
After
正中離開・前歯ガタガタ
15回 / 55万リスク・副作用:お子様の協力が必要不可欠です。装置装着による痛みや違和感、発音への影響、磨き残しによる虫歯・歯肉炎のリスクがあります。
対応治療・価格
オフィスホワイトニング
料金目安(税込):1回:25,000円 、3回セットコース:55,000円治療期間目安:1日治療回数目安:1回(1時間)、3回セットの場合:1週間に1回クリニックで歯科衛生士が専用の薬と光を使い、短期間で歯を白くする方法です。 範囲:上下前歯12本 ※自由診療になります。リスク・副作用:薬剤の影響で一時的にしみる場合があります。維持には継続的な来院が必要です。
ホームホワイトニング
料金目安(税込):上下顎:30,000円 、薬剤(ジェル):1,300円治療期間目安:2週間/Imp治療回数目安:1回30分Set 1回30分、毎日1時間クリニックでマウスピースを作製し、自宅にてご自身で行っていただく方法です。 ※自由診療になります。リスク・副作用:低濃度の薬でじっくり白くするため、時間はかかりますが色の戻りは緩やかです。長時間の装着が必要で、期間中は色の濃い飲食物などの食事制限に注意が必要です。




















