医療法人社団竹友会 公園都市プラザわかば歯科
歯科医師 約1〜3名
東葉高速鉄道 八千代緑が丘駅より徒歩1分
千葉県八千代市緑ヶ丘1-1-1 公園都市プラザ1F
| 診療時間 | 月 | 火 | 水 | 木 | 金 | 土 | 日 | 祝 |
|---|---|---|---|---|---|---|---|---|
| 09:00-12:30 | ||||||||
| 14:00-17:00 | ||||||||
| 14:30-19:00 | ||||||||
| 【休診日】水・日・祝 | ||||||||
- 虫歯
- 歯周病
- 知覚過敏
- 根管治療
- 抜歯
- 詰め物・被せ物
全治療でマイクロスコープ活用。精密診断と低侵襲治療で、再発を防ぎ歯の寿命を延ばす。
20年以上の研鑽を積んだ確かな技術でできるだけ「抜かない・削らない」を追求。最新の医療設備を完備し、原因を根本から取り除く再発の少ない精密治療を提供します。
治療室・設備
精密な処置を支える顕微鏡やCT、専用オペ室を完備。徹底した衛生管理と先進の設備環境を整え、お一人おひとりに安全で精度の高い治療を提供いたします。
内覧・外観
キッズスペース完備。預け先にお悩みの方もぜひお子様と一緒にご来院ください。退屈せず「楽しい場所」と感じてもらえる環境づくりを大切にしています。
歯科医師・スタッフ
誰よりも患者様に親身に寄り添うことを大切にしています。動画や画像を用いた「見てわかる説明」で、納得と安心の治療をスタッフ一同届けます。
事例


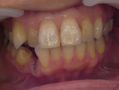
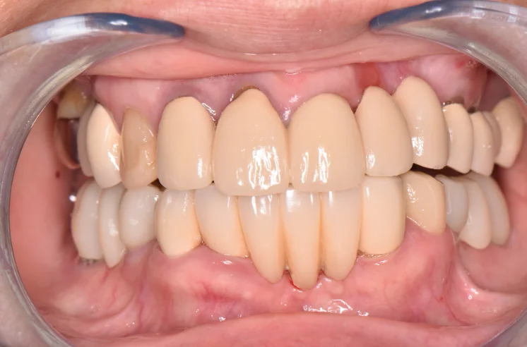
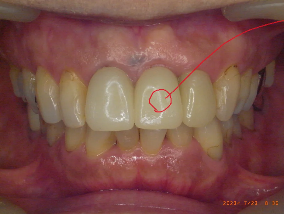
Before
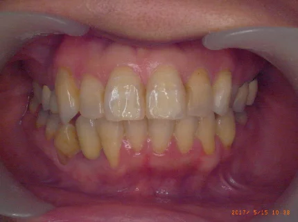
After
インプラント治療+矯正治療
約半年 / 税込み66万リスク・副作用:外科手術による腫れや痛み、神経損傷の恐れがあります。また、矯正中は虫歯のリスクが高まります。


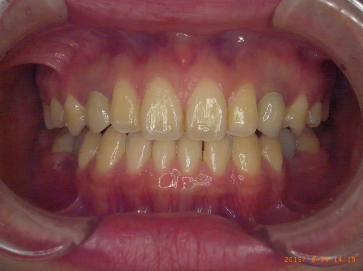
Before
After
インプラント治療+矯正治療
2年 / 税込み200万リスク・副作用:治療期間が長期にわたり、歯根吸収や歯肉退縮、インプラント周囲炎のリスクが伴います。


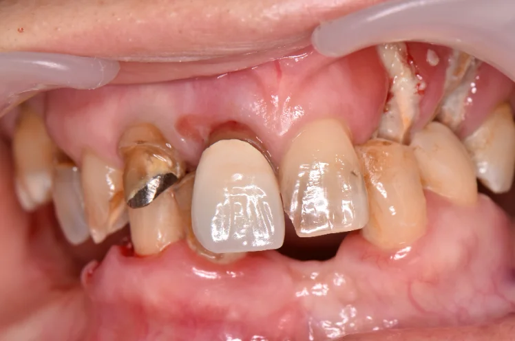
Before
After
インプラント審美治療
1年半 / 275万税込みリスク・副作用:高度な手術を要し、術後の歯肉形態の変化や、衝撃による被せ物の破損のリスクがあります。


Before
After
審美治療+インプラント(インプラント前歯、大臼歯2本、前歯2本ジルコニア)
8か月 / 110万税込みリスク・副作用:稀にインプラントが骨と結合しない場合や、被せ物の脱離、噛み合わせの違和感が生じることがあります。
対応治療・価格
床矯正/(スクリュー有)
料金目安(税込):約110,000円(税込)、検査/診断料33,000円、 調整料2,200円/来院毎治療期間目安:治療期間目安:6ヵ月~4年治療回数目安:回数目安:6回~48回拡大装置など一装置あたりの金額です。 ネジ付きの装置で、あごを広げて歯の並ぶスペースを作ります。取り外し可能で、お子様の矯正に有効です。リスク・副作用:装着時間を守らないと計画通りに動きません。装置の違和感や、一時的な発音のしにくさがあります。
床矯正/(スクリュー無)
料金目安(税込):約33,000円(税込)、検査/診断料33,000円 、調整料2,200円/来院毎治療期間目安:治療期間目安:6ヵ月~3年保定装置など、スクリューのない一装置あたりの金額です。 ネジのない装置で、主に治療後の後戻りを防ぐ保定などに使用します。取り外しができ、負担が少ない装置です。リスク・副作用:装着を怠ると後戻りするリスクがあります。装置による口腔内の違和感や、清掃不足による虫歯に注意です。
アクセス
医療法人社団竹友会 公園都市プラザわかば歯科
歯科医師 約1〜3名
東葉高速鉄道 八千代緑が丘駅より徒歩1分
千葉県八千代市緑ヶ丘1-1-1 公園都市プラザ1F
| 診療時間 | 月 | 火 | 水 | 木 | 金 | 土 | 日 | 祝 |
|---|---|---|---|---|---|---|---|---|
| 09:00-12:30 | ||||||||
| 14:00-17:00 | ||||||||
| 14:30-19:00 | ||||||||
| 【休診日】水・日・祝 | ||||||||









