赤羽橋歯科・矯正歯科
歯科医師 約4〜10名
赤羽橋駅より徒歩3分 / 麻布十番駅より徒歩6分
東京都港区東麻布2-29-8麻布尾又ビル1F
| 診療時間 | 月 | 火 | 水 | 木 | 金 | 土 | 日 | 祝 |
|---|---|---|---|---|---|---|---|---|
| 09:30-13:00 | ||||||||
| 14:00-17:00 | ||||||||
| 14:00-18:30 | ||||||||
| 14:30-18:30 | ||||||||
| ※第1、2水曜日…9:30-13:00/14:00-16:00 、休診日…第3、4、5水・日・祝日 | ||||||||
- 虫歯
- 歯周病
- 知覚過敏
- 根管治療
- 抜歯
- 詰め物・被せ物
赤羽橋駅3分。対話を通じ「患者様に取って何がベストか」を真剣に考える歯科医院
皆様ときちんとコミュニケーションを図り、『患者さんに取って何がベストか』を いつも真剣に考え、美味しい=幸せを守るのが我々の使命と考えています。
治療室・設備
リラックスして過ごせる完全個室を完備。CT診断や口腔内スキャナー等の高度な設備により、精度の高い診査・診断と精密な治療を行います。
内覧・外観
待ち時間の不安を和らげる、明るく開放的なロビー。なるべくお待たせしない予約体制を整え、お仕事や家事でお忙しい方の貴重な時間を大切にします。
歯科医師・スタッフ
院長をはじめ全スタッフが、患者様の幸せを第一に考え行動します。専門医としての高い技術と、おもてなしの心で、安心の医療体験をお届けします。
事例


Before
After
ボトックス治療の症例① 50代女性
6ヶ月、20回(うちボトックス処置 3回) / 66,000円リスク・副作用:注射後の紅斑や内出血、一過性の局所的筋疲労・脱力感・突っ張り感等の自覚的違和感、いずれも経過とともに消退


Before
After
ボトックス治療の症例② 30代女性
2回 / 66,000円リスク・副作用:注射後の紅斑や内出血、一過性の局所的筋疲労・脱力感・突っ張り感等の自覚的違和感、いずれも経過とともに消退


Before
After
ボトックス治療の症例③ 30代男性
2ヶ月、2回 / 66,000円リスク・副作用:注射後の紅斑や内出血、一過性の局所的筋疲労・脱力感・突っ張り感等の自覚的違和感、いずれも経過とともに消退


Before
After
ボトックス治療の症例④
6ヶ月、3回 / 77,000円リスク・副作用:注射後の紅斑や内出血、一過性の局所的筋疲労・脱力感・突っ張り感等の自覚的違和感、いずれも経過とともに消退


Before
After
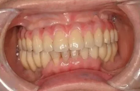
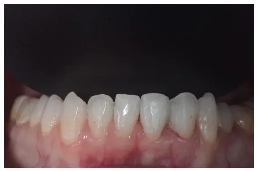
上下左右側における歯が多数なくなったところへのインプラント治療(虫歯・歯周病における多数歯欠損)
1年、20回 / 7,700,000円リスク・副作用:多数歯インプラントケースとなり、治療期間の長期化およびインプラント周囲炎のリスク


Before
After
虫歯によって欠損してしまった箇所へのインプラント治療
5ヶ月、8回 / 420,000円リスク・副作用:インプラント粘膜炎およびインプラント周囲炎


Before
After
ダイレクトボンディングの症例1
2週間、3回 / 88,000円リスク・副作用:経年的に歯間が開いてくる可能性及び接着低下によりレジン脱離、レジン周囲変色


Before
After
ダイレクトボンディングの症例2
2週間、3回 / 88,000円リスク・副作用:経年的に歯間が開いてくる可能性及び接着低下によりレジン脱離、レジン周囲変色


Before
After
ダイレクトボンディングの症例3
2週間、3回 / 66,000円リスク・副作用:経年的に歯間が開いてくる可能性及び接着低下によりレジン脱離、レジン周囲変色
対応治療・価格
インプラント
料金目安(税込):約680,000円〜(内訳は下記記載)1. 検査・診断: ・CT撮影 + 診断料:22,000円 ・ガイデッドサージェリー:55,000円〜 2. 手術費用(インプラント体) ・一次手術(埋入手術):275,000円 ・二次手術(頭出し):55,000円 ・インプラント仮歯(IP TEK):33,000円〜 3. 被せ物・仕上げ(上部構造) ・アバットメント(接続パーツ):55,000円 ・インプラント上部構造(歯本体):165,000円〜 ・型取り・試適料(1〜2歯):8,800円 ※あくまで標準的な症例の場合 欠損部に人工歯根を埋め込み、天然歯に近い噛み心地と見た目を回復する治療です。リスク・副作用:外科手術を伴うため、術後の腫れや出血、痛み、細菌感染、インプラント周囲炎の恐れがあります。
乳歯・混合歯列期の矯正(1期治療)
料金目安(税込):下記に詳細記載初診相談 :無料 検査診断料:33,000円 ①プレオルソ単体:55,000円~77,000円 ②小学生の矯正治療(プレオルソ分引く)(すべての装置代金を含む1期):495,000円 ③2期治療に進む場合の追加費用:495,000円 顎の成長を利用し、永久歯がきれいに並ぶ土台を整える治療です。 ※トータルフィーシステム(総額固定料金制)を採用しています。事前に治療費用の総額を提示いたしますので、途中で料金がかかるということがなく安心です。リスク・副作用:装置装着時の違和感や痛みを感じることがあります。






