• 会社概要
  • プライバシーポリシー
  • お問い合わせ
  • お役立ち記事

© 2025 株式会社Dental Prediction

医療法人社団 Precious あおぞら歯科

歯科医師 約10名〜

東京都江東区大島8-23-5 第2佐藤ビル1階

医療法人社団 Precious あおぞら歯科

03-3636-7819

診療時間月火水木金土日祝
情報なし
診療時間月火水木金土日祝
情報なし
  • 虫歯
  • 歯周病
  • 根管治療
  • 詰め物・被せ物
  • 差し歯/ブリッジ
  • 義歯/入れ歯

クリニック強み

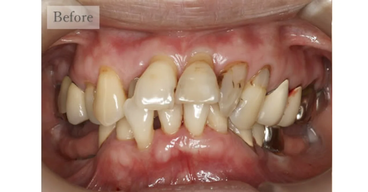
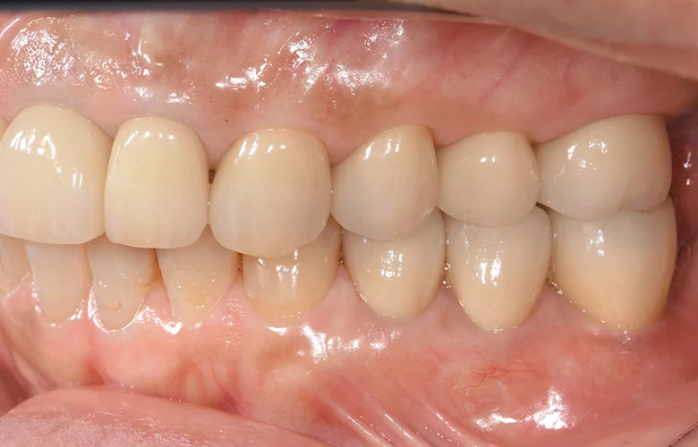
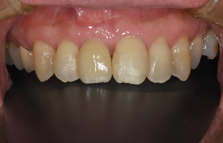
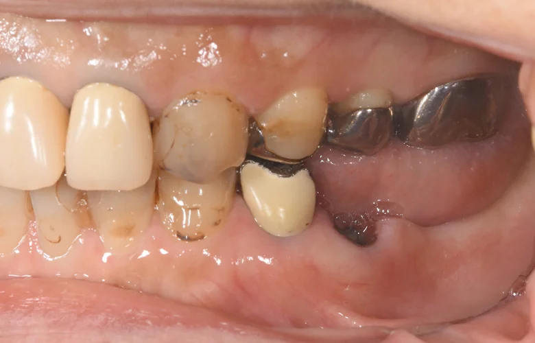
日本臨床歯周病学会認定医による高度な歯周病治療と、マイクロスコープやCTを活用した精密な診断・治療を提供。10年後、20年後を見据えた予防歯科に注力し、歯を残す治療を重視した総合的なアプローチを実践しています。

治療の方針

初診時の精密検査に基づき、患者様の状態や希望を考慮した治療計画を立案。応急処置から長期的な予防まで、段階的な治療アプローチを実施。定期的なメインテナンスで治療効果の維持を図ります。

院内の環境・設備

マイクロスコープや歯科用CTなどの最新設備を導入し、精密な診断・治療を実現。清潔で快適な診療環境を整備し、感染対策も徹底しています。

主な対応治療

一般歯科治療から歯周病、インプラント、矯正歯科まで幅広く対応。特に歯周病治療では、歯周組織再生療法などの高度な治療を実施。また予防歯科として定期的なメインテナンスプログラムを提供し、長期的な歯の健康維持を支援しています。

スタッフ

院長は日本臨床歯周病学会認定医・歯周インプラント認定医の資格を持ち、歯科医師、歯科衛生士、歯科技工士によるチーム医療を実践。スタッフ全員が定期的な研修で最新の知識・技術を習得しています。

アクセス

大島駅より徒歩5分

エリアの雰囲気

街の雰囲気と利便性

大通りから一本入った通りに面しており、車通りは程よく抑えられているため、ゆったりとした雰囲気があります。近隣には都営住宅や集合住宅が立ち並び、生活感のある街並みが広がっています。バス停も近く、公共交通機関へのアクセスも良好で、地域住民の日常生活の動線上に位置しています。

建物と周辺クリニックの傾向

第2佐藤ビルは低層の商業ビルで、1階に医療施設が入居しやすい造りとなっています。周辺には個人医院や歯科医院が点在しており、それぞれが特色を持って営業しています。建物は比較的古いものから新しいものまで混在していますが、維持管理が行き届いており、清潔感のある外観を保っています。

周辺のお店や施設

徒歩圏内にスーパーマーケットや個人商店が揃い、日常の買い物に便利です。また、大島小学校や第二大島中学校といった教育施設も近く、子育て世代にも安心な環境です。銀行のATMや郵便局もあり、生活インフラが充実しています。商店街には昔ながらの飲食店も残っており、地域の味を守り続けています。

エリアの人々

街に多い人達

平日の日中は主婦層の買い物客や高齢者の往来が目立ち、夕方になると学校帰りの学生や仕事帰りのサラリーマンで賑わいを見せます。週末は家族連れの姿も多く見られ、終日安定した人通りがあります。特に近隣のスーパーマーケットへの買い物客の往来が活発です。

人の集まり具合

地域に長く住む高齢者から、新築マンションに入居した若いファミリー層まで、幅広い年齢層が暮らしています。特に、都営住宅があることから、安定した生活基盤を持つ方々が多く、地域コミュニティの繋がりも強いエリアです。平日の昼間は主婦層や高齢者が目立ち、夕方以降は会社帰りの30-40代も増えます。

本ページのコンテンツは、人工知能(AI)技術を用して生成・編集されたものが含まれています。内容については正確性を担保するものではなく、誤り・最新でない情報が含まれている可能性があります。参考としてご利用ください。

近くの歯科クリニック

  • 医療法人社団 デルタ 西大島ハーヴェスト歯科・矯正歯科
  • 総武歯科医院
  • 大島いずみ歯科
  • おおじま駅前歯科・大島駅前矯正歯科
  • 桂歯科医院
  • 医療法人社団 拓育会 栗林歯科クリニック
  • ekoデンタルクリニック
  • 医療法人社団 池田会 池田歯科クリニック
  • たまよせ歯科医院
  • 西大島駅前歯科クリニック
  • とう矯正歯科
  • 医療法人社団 明享会 西大島ハートフル歯科
  • ことぶき歯科医院
  • 八ッ繁歯科医院
  • スマイル歯科クリニック
  • 医療法人社団 徳智会 コアシティ歯科クリニック
  • ささき矯正歯科医院
  • 中の橋デンタルクリニック
  • 室伏歯科診療所
  • しみず歯科医院
  • TOP
  • 東京都
  • 江東区
  • 東大島駅
  • 医療法人社団 Precious あおぞら歯科