大崎オーバルコート歯科・矯正室
歯科医師 約4〜10名
JR「大崎」駅 北口より徒歩4分, JR「五反田」駅より徒歩10分
東京都品川区東五反田二丁目16番1号 ザ・パークタワー101号室
| 診療時間 | 月 | 火 | 水 | 木 | 金 | 土 | 日 | 祝 |
|---|---|---|---|---|---|---|---|---|
| 09:30-13:30 | ||||||||
| 09:30-14:00 | ||||||||
| 14:00-16:30 | ||||||||
| 14:30-17:30 | ||||||||
| 休診日:日曜・祝日。昼も通しで診療(随時新患・急患対応),GW、お盆、年末年始はお休みです。 | ||||||||
- 虫歯
- 歯周病
- 知覚過敏
- 根管治療
- 抜歯
- 詰め物・被せ物
不安に寄り添う「痛くない・削らない」診療で、ご家族の温かな交流で笑顔を作ります。
専門カウンセラーがとことん不安に向き合い、納得の治療を提案。**将来を見据えた小児矯正(予防矯正)**にも注力し、家族全員の笑顔あふれる健康な毎日を支えます。
治療室・設備
器具毎の滅菌を徹底した衛生管理。笑気麻酔・静脈内鎮静法等の導入により、痛みや恐怖心を取り除いたリラックスできる環境で、安全・清潔な治療を約束します。
内覧・外観
キッズスペースやガチャガチャを完備し「また行きたい」場所へ。専任カウンセラーが不安をとことん伺い、親御様もリラックスして過ごせる空間づくりを徹底しています。
歯科医師・スタッフ
認定医や、患者様の不安を汲み取るカウンセラーが在籍。季節のイベントを共に楽しむアットホームな雰囲気で、心から安心できる安全な治療を心掛けています。
事例


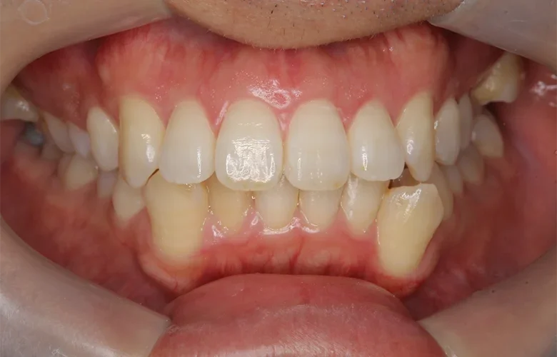
Before
After
下顎前歯の叢生をインビザラインで改善した症例
約11か月(追加アライナーあり)・12〜18回(チェック頻度に基づく想定) / 総額800,000円リスク・副作用:装着時間が不十分な場合、計画通りに歯が移動せず、治療期間が延長する可能性があります。矯正中に一時的な痛みが出ることがあります。矯正後のリテーナー使用を怠ると、後戻りの可能性があります。


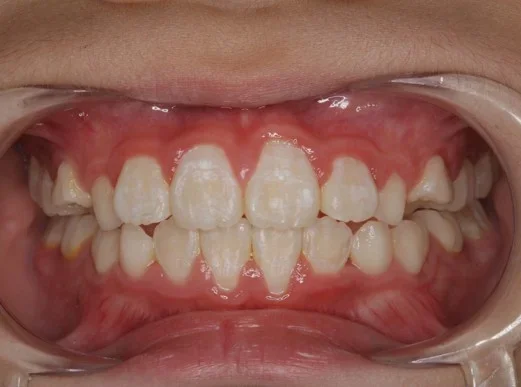
Before
After
上下前歯の叢生をインビザラインで改善した症例
約8か月(追加アライナー1回作成)・10〜14回(経過チェック含む) / 総額500,000円リスク・副作用:アライナーの装着時間が不足すると、計画通りに歯が移動しない可能性があります。 歯の移動に伴い一時的な違和感や痛みが生じることがあります。保定装置の使用を怠ると後戻りの可能性があります。


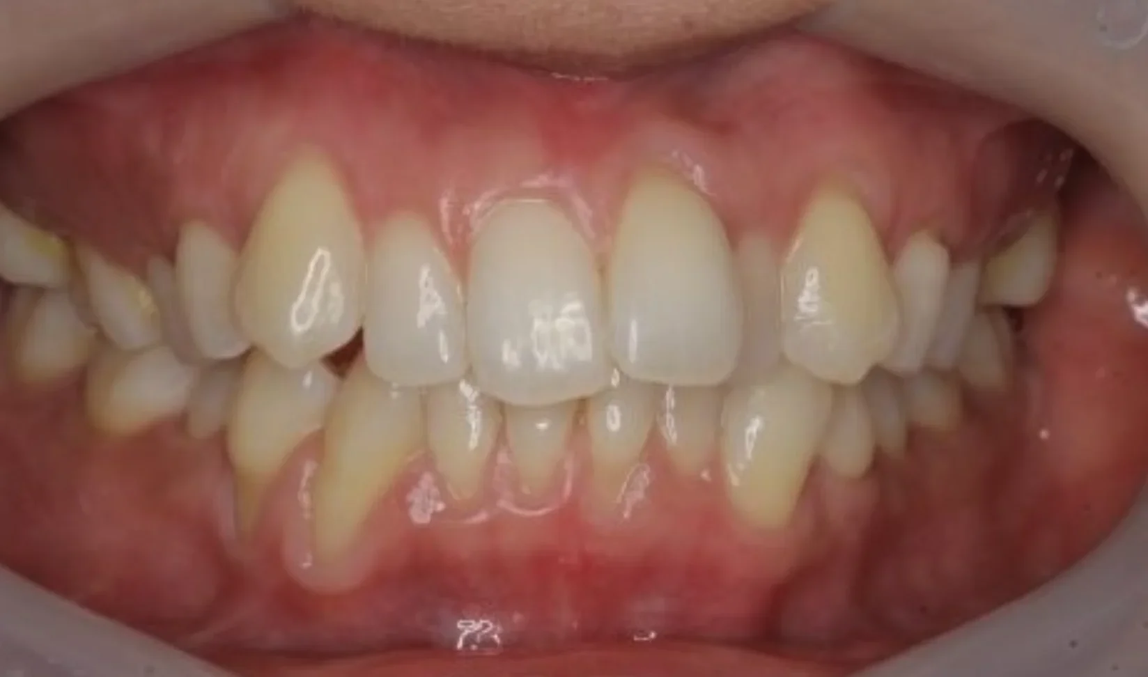
Before
After
6歳男子「前歯のガタガタが気になる」小児矯正で歯並びを改善
2年間・24回 / 総額430,000円リスク・副作用:I期治療のみで改善しない可能性があります。その際はII期治療を継続して行います。 後戻りが多少起こる可能性があります。子供の矯正治療は、装置の使用状況によって、大きく治療進度、結果に影響が出てまいります。 お子様の協力はもちろんのこと、親御さんのご協力、管理が重要になることをご理解のうえ治療を開始することをおすすめいたします。


Before
After
前歯のねじれ・出っ歯感をインビザラインで改善
約12か月・12〜16回 / 総額800,000円リスク・副作用:アライナーの装着時間が不足すると、計画通りに歯が移動しない可能性があります。 矯正中は一時的な痛みや違和感が生じることがあります。 また、矯正後はリテーナーを適切に使用しない場合、後戻りする可能性があります。


Before
After
メタルによる審美障害と金属アレルギーへの不安をジルコニアインレーで改善した症例
約2〜3週間・2回(形成・装着) / 総額239,400円リスク・副作用:強い歯ぎしり・食いしばりがある場合、修復物に過度な力がかかる可能性があります。咬合状態により、ナイトガードの併用をおすすめする場合があります。


Before
After
20代女性「奥歯の銀歯を白くしたい」ジルコニアで白くした症例
2週間・2回 / 総額175,560円リスク・副作用:セラミックインレーに比べると、若干透明感が劣ります。 極端に強い力、かみ合わせが悪い場合、破折することがあります。


Before
After
ホワイトスポットの審美的改善(MI治療)
1日・1回 / 総額35,000円リスク・副作用:症状の程度によっては1回で改善しない場合があります。生活習慣・歯面清掃状態によって再発する可能性があります。強い知覚過敏を伴うケースでは別の治療法を検討する場合があります。


Before
After
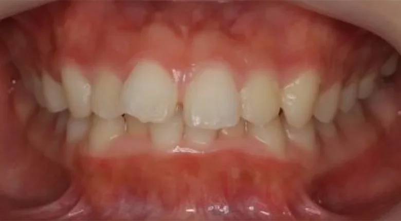
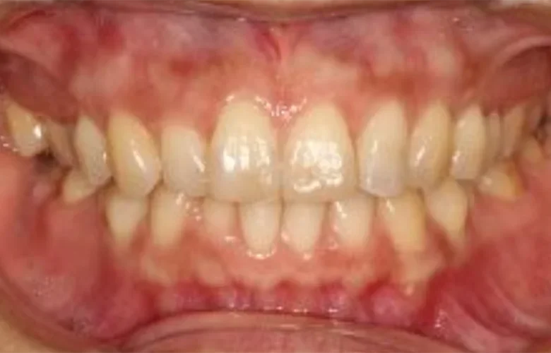
軽度叢生をインビザラインで改善した症例(10代女性)
約1年(追加アライナーあり)・12〜16回 / 総額800,000円リスク・副作用:アライナーの装着時間が不足すると計画通りに歯が移動しない可能性があります。 歯の移動に伴い一時的な痛みが出る場合があります。 矯正終了後にリテーナーを適切に使用しないと後戻りが生じる可能性があります。


Before
After
上下顎の叢生をインビザラインで改善した症例
約6か月(追加アライナー1回作成)・8〜12回(経過チェック含む) / 総額500,000円リスク・副作用:アライナーの装着時間が不足すると、計画通りに歯が移動しない可能性があります。歯の移動に伴い一時的な違和感や痛みが出ることがあります。治療後にリテーナーを適切に使用しない場合、後戻りが生じる可能性があります。
対応治療・価格
ジルコニアインレー(被せ物)
料金目安(税込):約87,780円人工ダイヤモンドを原料にした最も硬い材質リスク・副作用:極端に強い力、かみ合わせが悪い場合、破折することがあります。
ボツリヌス注射(歯ぎしり・顎関節治療)
料金目安(税込):約60,500円(両顎2回分目安)咬筋に注射し、過度な食いしばりや歯ぎしりを緩和。歯の破折防止や小顔効果も期待できます。リスク・副作用:注射部位の内出血や、一時的に噛む力が弱まったような違和感が出ることがあります。







































