中目黒カズデンタルクリニック
歯科医師 約1〜3名
中目黒駅、祐天寺駅 各駅から徒歩8分
東京都目黒区上目黒2-49-16 カーサプロスペリータ2
| 診療時間 | 月 | 火 | 水 | 木 | 金 | 土 | 日 | 祝 |
|---|---|---|---|---|---|---|---|---|
| 09:30-13:30 | ||||||||
| 09:30-16:00 | ||||||||
| 15:00-19:00 | ||||||||
| 平日の昼休み(13:30~15:00)は受付・電話対応不可、祝日がある週の木曜は診療日、GW、お盆、年末年始はお休み | ||||||||
- 虫歯
- 歯周病
- 知覚過敏
- 根管治療
- 抜歯
- 詰め物・被せ物
最短1日で白い歯へ。1時間に1人の診療枠で、忙しい方の毎日に寄り添う歯科治療を。
目先の痛みだけでなく、10年後を見据えた「一口腔単位」の総合治療を提案。精密な診断と丁寧なカウンセリングで、機能的かつ美しい歯を実現します。
治療室・設備
最新機器を完備した空間は、プライバシーが守られる安心の設計。周囲を気にすることなく、お口の悩みや治療への希望を心ゆくまでリラックスして相談できます。
内覧・外観
歯科特有の緊張感を感じさせない温かな空間です。受付は専任の衛生士が兼ねているため、お困りごとも気兼ねなく、アットホームな雰囲気で相談いただけます。
歯科医師・スタッフ
医師と専任衛生士がチームで寄り添います。アットホームな雰囲気の中、お一人ずつの状況を細やかに共有し、一貫した丁寧なケアを大切にしています。
事例


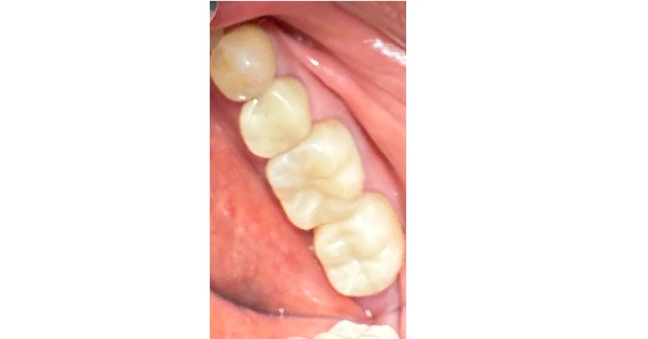
Before
After
1dayセレックインレー
1回 / 総額55,000円リスク・副作用:強い衝撃で割れる可能性があることや、症例(噛み合わせ等)によっては適応できない場合があります。


Before
After
咬筋ボツリヌス療法(食いしばり改善)
1回 / 総額38,500円リスク・副作用:注入部位に内出血や一時的な違和感が生じる場合があります。効果持続のためには定期的な施術が必要です。


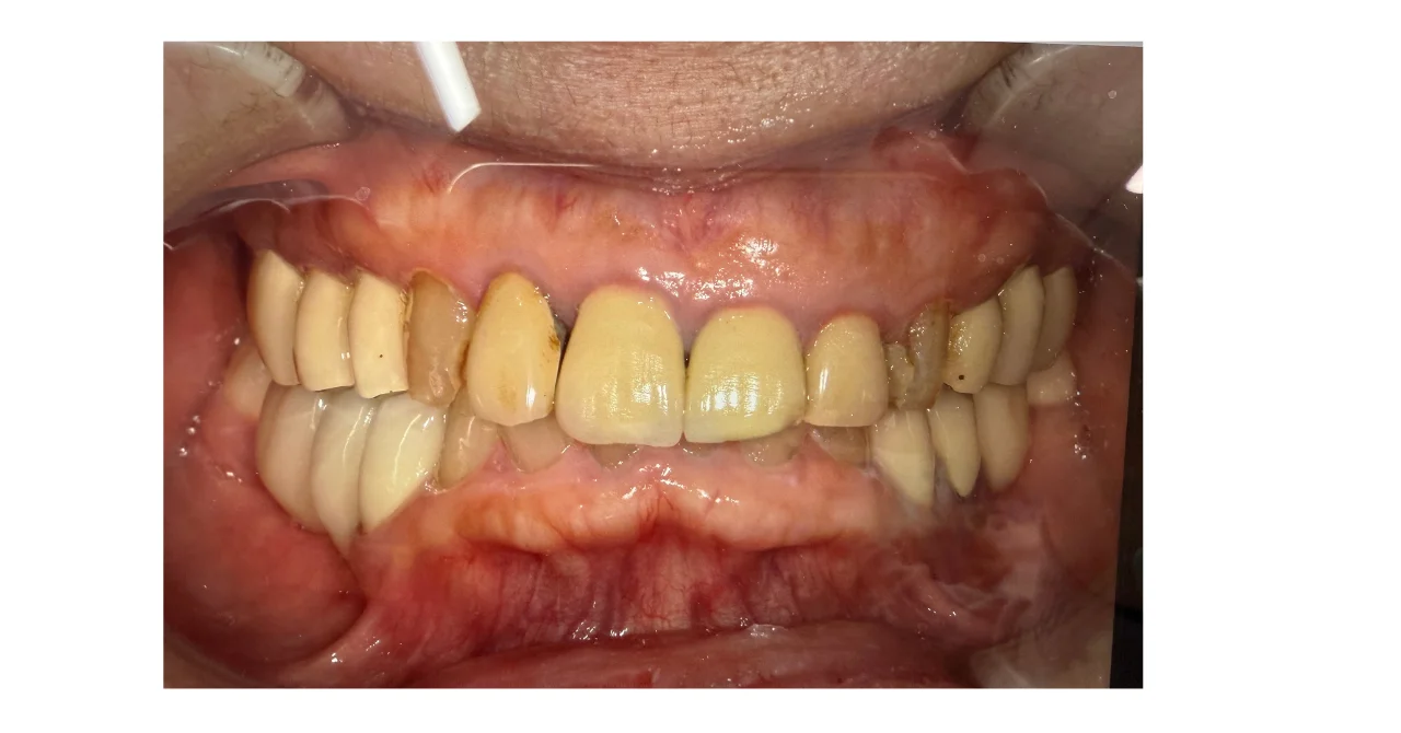
Before
After
ジルコニアクラウン
総額154,000円リスク・副作用:極度に強い力がかかると、稀に欠けたり割れたりすることがあります。また、健康な歯を削る必要があります。


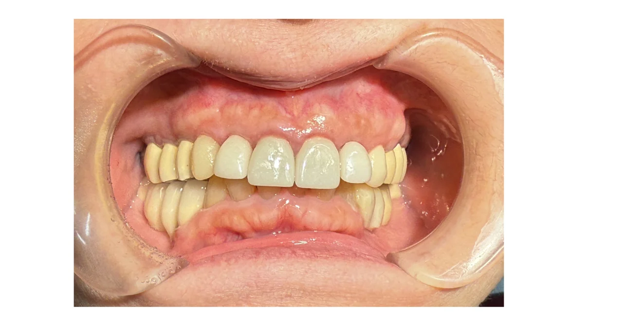
Before
After
セレック 1dayトリートメント
1回 / 総額55,000円リスク・副作用:強い衝撃で割れる可能性があることや、症例(噛み合わせ等)によっては適応できない場合があります。
対応治療・価格
ガムピーリング(歯茎のホワイトニング)
料金目安(税込):約33000円(片顎1回)メラニン色素沈着による歯茎の黒ずみを専用の薬剤で除去。健康的なピンク色の歯茎を取り戻し、お顔の印象を明るくします。 ※あくまで標準的な症例の場合の目安です。 歯の状態や治療内容により、費用が異なる場合がございます。 ※検査・診断後に、治療計画と併せて正確な金額をご案内いたします。リスク・副作用:施術後数日間は歯茎が白くなり、ヒリヒリとした痛みを感じることがあります。刺激物の摂取は控える必要があります。
オールセラミック(被せ物) ハイブリット
料金目安(税込):約66000円セラミックとプラスチックの混合素材です。見た目が良く安価ですが、変色や摩耗が起きやすいのが特徴です。 ※あくまで標準的な症例の場合の目安です。 歯の状態や治療内容により、費用が異なる場合がございます。 ※検査・診断後に、治療計画と併せて正確な金額をご案内いたします。リスク・副作用:歯肉に炎症がある場合、施術中や施術後に一時的な出血や痛みを感じることがあります。
アクセス
中目黒カズデンタルクリニック
歯科医師 約1〜3名
中目黒駅、祐天寺駅 各駅から徒歩8分
東京都目黒区上目黒2-49-16 カーサプロスペリータ2
| 診療時間 | 月 | 火 | 水 | 木 | 金 | 土 | 日 | 祝 |
|---|---|---|---|---|---|---|---|---|
| 09:30-13:30 | ||||||||
| 09:30-16:00 | ||||||||
| 15:00-19:00 | ||||||||
| 平日の昼休み(13:30~15:00)は受付・電話対応不可、祝日がある週の木曜は診療日、GW、お盆、年末年始はお休み | ||||||||

























