明大前歯科クリニック
歯科医師 約4〜10名
明大前駅、東松原駅より各徒歩7分、下高井戸駅より徒歩12分
東京都世田谷区松原5丁目40-9 セントポーリア1階
| 診療時間 | 月 | 火 | 水 | 木 | 金 | 土 | 日 | 祝 |
|---|---|---|---|---|---|---|---|---|
| 09:00-13:00 | ||||||||
| 09:00-15:00 | ||||||||
| 14:30-18:30 | ||||||||
| ※休診日:水・日・祝 | ||||||||
- 虫歯
- 歯周病
- 知覚過敏
- 根管治療
- 抜歯
- 詰め物・被せ物
一生自分の歯で笑えるように。精密な治療で「10年後の健康」を守ります。
「なぜ悪くなったのか」を徹底分析。痛みを取り除くだけでなく、お口全体のバランスを整えることで、再発を防ぎ、長く美味しく食べられる健康を守ります。
治療室・設備
プライバシーに配慮した個室もあり、周囲を気にせず安心して受診できます。マイクロスコープ等の先進設備を備え、精密で痛みの少ない治療を提供します。
内覧・外観
リラックスして過ごせる落ち着いた雰囲気の空間です。患者様の不安を和らげるよう、常に清潔感を保ち、温かなホスピタリティでお迎えいたします。
歯科医師・スタッフ
丁寧なカウンセリングを徹底し、悩みや希望を細部まで把握。納得と同意を得てから治療を開始するため、初めての方も安心してお任せいただけます。
事例


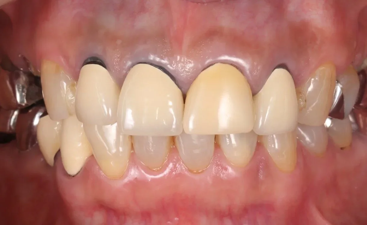
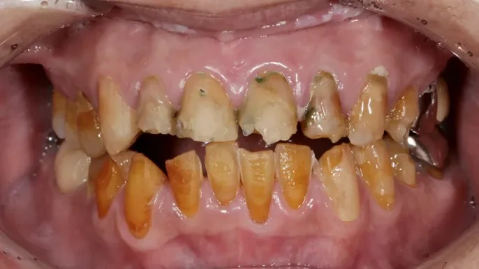
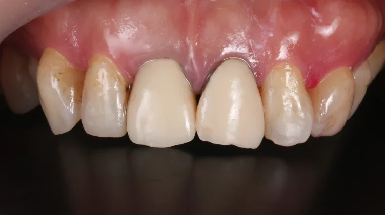
Before
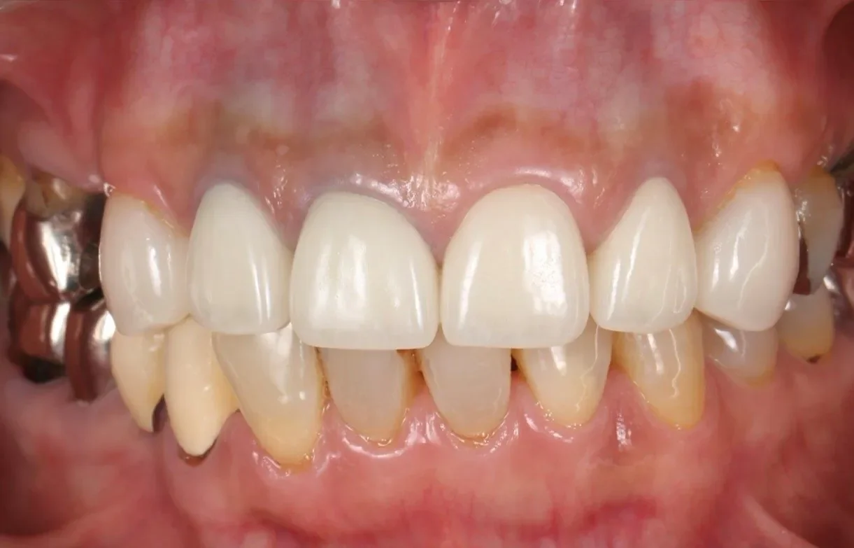
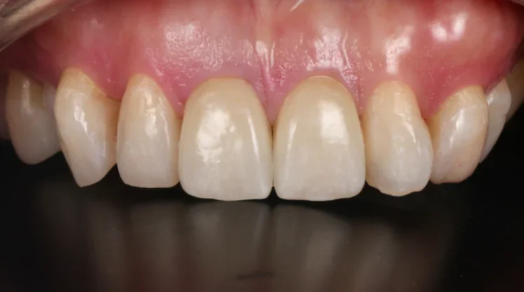
After
被せ物のやり変え根管治療(症例1:50代 女性)
3ヶ月、8回 / 約100万円リスク・副作用:歯根が折れるなどの際には、抜歯になる可能性がある


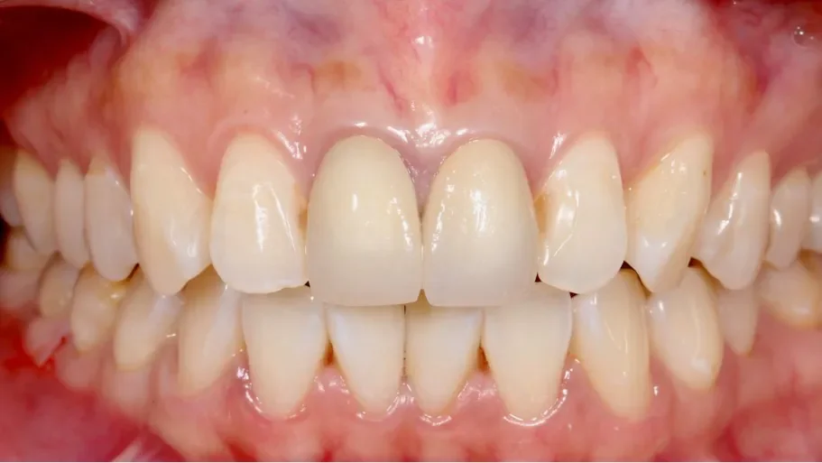
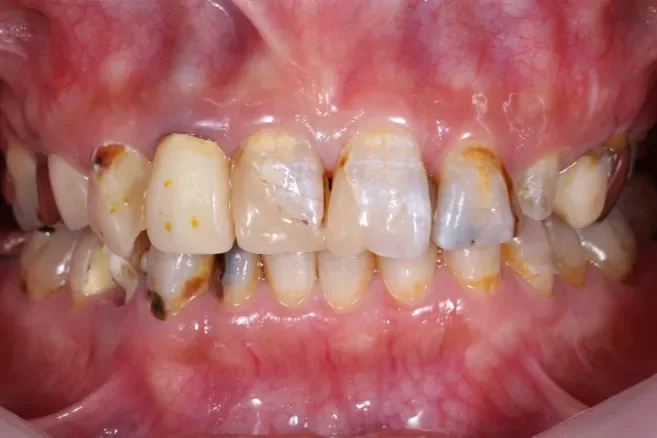
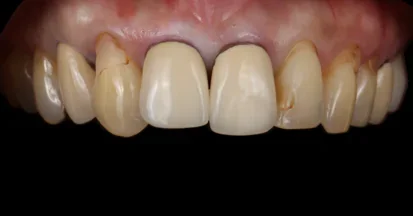
Before
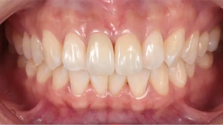
After
被せ物のやり変え根管治療(症例2:20代 女性)
2ヶ月、5回 / 約45万円リスク・副作用:歯根が折れるなどの際には、抜歯になる可能性がある


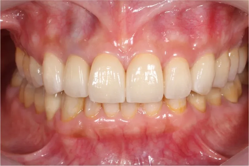
Before
After
全顎的な被せ物治療(症例3:50代 男性)
8ヶ月、20回 / 保険治療で約20万円リスク・副作用:被せ物の劣化、脱離、破損による再治療の可能性


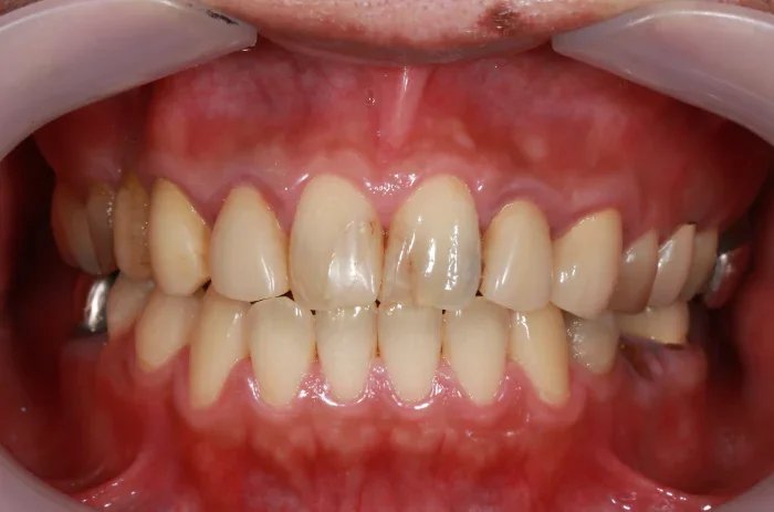
Before
After
全顎的な被せ物治療(症例4:50代 女性)
1年半、 40回 / 約300万円リスク・副作用:何本かは抜歯や、再治療になる可能性がある


Before
After
被せ物のやり変え、根管治療、インプラント治療(症例5)
1年半、20回 / 約250万円リスク・副作用:インプラント治療後、一時的に痛みや腫れが出ることがある


Before
After
セラミックの被せ物 根管治療(症例6)
1ヶ月、5回 / 40万円リスク・副作用:稀に被せ物が欠けることがあります


Before
After
被せ物やりかえ(症例7:60代 女性)
2ヶ月、 6回 / 約33万円(1本16万5千円)リスク・副作用:稀に被せ物が欠けることがあります
対応治療・価格
初回カウンセリング
料金目安(税込):無料ご不安・ご不明点をぜひお話しください。患者様に安心を届けられるように丁寧にカウンセリングさせていただきます。詰め物・被せ物/セラミックインレー
料金目安(税込):約110,000円(税込)虫歯を削った部分にセラミックの詰め物をします。透明感が高く、経年劣化による変色もほとんどありません。リスク・副作用:強い衝撃で欠けたり割れたりすることがあります。また、健康な歯を一定量削る必要があります。
アクセス
明大前歯科クリニック
歯科医師 約4〜10名
明大前駅、東松原駅より各徒歩7分、下高井戸駅より徒歩12分
東京都世田谷区松原5丁目40-9 セントポーリア1階
| 診療時間 | 月 | 火 | 水 | 木 | 金 | 土 | 日 | 祝 |
|---|---|---|---|---|---|---|---|---|
| 09:00-13:00 | ||||||||
| 09:00-15:00 | ||||||||
| 14:30-18:30 | ||||||||
| ※休診日:水・日・祝 | ||||||||























