参宮橋駅前歯科
歯科医師 約1〜3名
参宮橋駅より徒歩30秒
東京都渋谷区代々木4-5-7 参宮橋ビル102
| 診療時間 | 月 | 火 | 水 | 木 | 金 | 土 | 日 | 祝 |
|---|---|---|---|---|---|---|---|---|
| 09:00-13:30 | ||||||||
| 14:30-18:00 | ||||||||
| 15:00-19:00 | ||||||||
| 休診:火曜日・祝日 | ||||||||
- 虫歯
- 歯周病
- 知覚過敏
- 根管治療
- 抜歯
- 詰め物・被せ物
参宮橋駅徒歩30秒。土日も対応、痛みに配慮したやさしい治療で健やかな歯を守ります。
患者様が痛みをできるだけ感じないよう配慮したやさしい治療を徹底。3Dアニメーションを用いた分かりやすい説明で、納得して治療を受けられます。
治療室・設備
プライバシーを確保した個室も完備。徹底した感染対策と歯科用CT等の最新設備により、リラックスして精密な治療を受けられる環境です。
内覧・外観
明るく清潔感あふれる空間で、リラックスしてお待ちいただけます。駅至近の好立地ながら、通いやすさと快適さを大切にした医院づくりを心がけています。
歯科医師・スタッフ
「痛い・怖い」のイメージを変え、健康に美しく食事ができるよう貢献します。どんな些細なことでも、気軽にご相談ください。
事例


Before
After
インプラント治療
数ヶ月 / 基本料金(総額)400,000 〜 450,000円リスク・副作用:外科手術が必要です。術後のメンテナンスを怠ると周囲炎のリスクがあります。


Before
After
セラミック修復
55万+Tax(ジルコニアボンド2本:30万、ラミネートベニア2つ:20万+歯周外科5万)リスク・副作用:外科手術に伴う痛みや腫れ、歯を削ることによる知覚過敏、衝撃による破折のリスクがあります。


Before
After
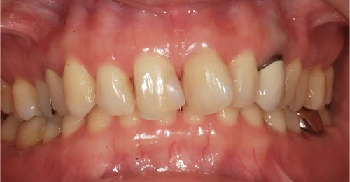
黒いラインが見えている左犬歯の古い被せ物をやり直したケース
ジルコニアボンド15万+Taxリスク・副作用:歯を削る必要があり、治療後に知覚過敏が生じる場合や、強い衝撃で被せ物が欠ける可能性があります。


Before
After
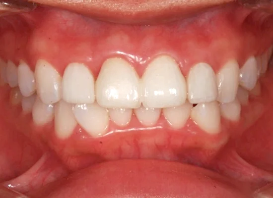
前歯二本の保険の被せ物をセラミックで修復したケース
ジルコニアボンド2本:30万+Taxリスク・副作用:歯を削る必要があり、治療後に知覚過敏が生じる場合や、強い衝撃で被せ物が欠ける可能性があります。


Before
After
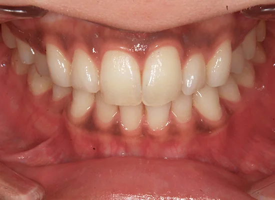
神経が死んでしまい変色してしまった歯をセラミック修復したケース
ジルコニアボンドクラウン:15万+Taxリスク・副作用:歯を削る必要があり、知覚過敏や破折のリスクがあります。また、周囲の歯との色の差が出る場合があります。


Before
After
奥歯の銀歯をセラミックインレーで直した症例
Emaxインレー4本:18万円+Taxリスク・副作用:歯を削る必要があり、知覚過敏のリスクがあります。極稀に強い噛み合わせで欠ける場合があります。


Before
After
薬液を用いたガムピーリングで歯茎の黒ずみを直したケース
1回5000円+Taxリスク・副作用:処置中や処置後に痛みやヒリヒリ感が出る場合があります。喫煙等により再着色する可能性があります。


Before
After
前歯の正中離開に対するダイレクトボンディング
約1時間 / ダイレクトボンディング2本 44,000円(税込)リスク・副作用:経年劣化による変色や欠けが生じる場合があります。大きな隙間の場合は適用できないことがあります。


Before
After
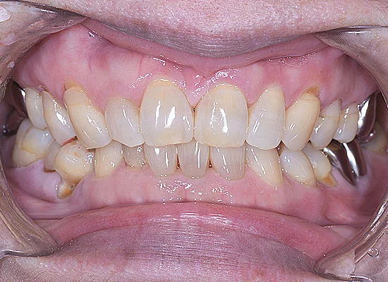
全ての銀歯をセラミック修復でメタルフリーにし、ホワイトニングしたケース
Emaxインレー4本 49,500円(税込)/本 フルジルコニアクラウン(無垢)1本 110,000円(税込)/本 ジルコニアクラウン(無垢)1本 77,000円(税込)/本 ジルコニアインレー7本 66,000円(税込)/本 ジルコニアボンドクラウン3本 165,000円(税込)/本 デュアルホワイトニング 38,500円(税込) Total:1,380,500円(税込) +その他保険治療リスク・副作用:知覚過敏、破折、変色のリスクがあります。白さの維持や装置の保護には継続的な管理が不可欠です。
対応治療・価格
詰め物・被せ物
料金目安(税込):35,000〜150,000円(税別)セラミック等の素材を使用し、自然な美しさと噛む機能を回復します。耐久性や費用は素材により異なります。リスク・副作用:歯を削る必要があり、強い衝撃で割れる可能性があります。治療後に一時的にしみる症状が出る場合があります。
インプラント(上部構造含む)
料金目安(税込):基本料金(総額)400,000 〜 450,000円(税別)、 CT撮影費用無料(インプラントを行う患者様限定)CTを用いた精密診断に基づき、認定医レベルの高度な補綴技術を提供します。 骨造成(骨を足す処置)+60,000 〜 200,000円 サージカルガイド+60,000円~ 静脈内鎮静法+70,000円 ※全て税別リスク・副作用:外科手術が必要です。術後のメンテナンスを怠ると周囲炎のリスクがあります。







.webp)



