阿佐ヶ谷ことぶき歯科・矯正歯科
歯科医師 約4〜10名
JR中央線・総武線「阿佐ケ谷駅」徒歩0分 / /東京メトロ丸ノ内線「南阿佐ケ谷駅」徒歩8分
東京都杉並区阿佐谷南3丁目37番14号 第二北原ビル3階
| 診療時間 | 月 | 火 | 水 | 木 | 金 | 土 | 日 | 祝 |
|---|---|---|---|---|---|---|---|---|
| 09:00-13:00 | ||||||||
| 09:00-15:00 | ||||||||
| 14:00-18:00 | ||||||||
| ※火曜日の診療:第2,第4のみ ※完全予約制 | ||||||||
- 虫歯
- 歯周病
- 知覚過敏
- 根管治療
- 抜歯
- 詰め物・被せ物
阿佐ヶ谷駅0分。自分の治療を「録画」で見れる、圧倒的な透明性と納得感を。
急患・新患も対応可能。治療風景を録画して「何をしたか」をお見せする透明性のある診療が特徴。画像や映像で納得してから治療を受けられる安心の歯医者です。
治療室・設備
プライバシーを守る半個室の診療室です。マイクロスコープ等の先進設備を完備し、治療のプロセスを記録・共有することで、精度の高さと深い納得感を提供します。
内覧・外観
病院らしさを抑えた、落ち着きのあるモダンで清潔な空間です。診療前の緊張を和らげ、どなたでもゆったりと心地よくお過ごしいただける環境を整えております。
歯科医師・スタッフ
急患・新患も対応可能。治療風景を録画して「何をしたか」をお見せする透明性のある診療が特徴。画像や映像で納得してから治療を受けられる安心の歯医者です。
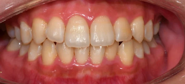
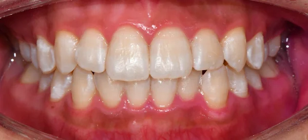
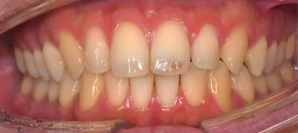
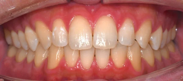
事例


Before
After
セラミッククラウン – 古くて合わない被せ物をきれいに修復(40代女性)
2回、2日 / セラミッククラウン(スタンダード) 110,000円

Before
After
ホワイトニング – 自然に歯を白くしたい(20代女性)
1回、1日 / 22,000円

Before
After
セラミックインレー – 銀の詰め物が入った歯の痛みを改善(40代男性)
2回、1週間 / 55,000円

Before
After
セラミックアンレー – 銀の詰め物が入っている歯が噛むと痛む(40代男性)
2回、1週間 / 55,000円

Before
After
セラミックオクルーザルベニア – 親知らずの手前の歯がしみる(30代男性)
3回、1週間 / 88,000円

Before
After
セラミックオクルーザルベニア – 割れている歯をしっかり治したい(40代女性)
2回、1週間 / 88,000円

Before
After
セラミックインレー – セラミックを用いたむし歯治療(20代男性)
2回、1週間 / 55,000円

Before
After
ホワイトニング – しみることなく自然な白さを実感(30代男性)
1回、1日 / 22,000円

Before
After
根管治療 – 他院で治療中も痛みがとれず、鼻の奥まで痛い気がする(20代女性)
3回、2ヶ月 / 176,000円

Before
After
"根管治療 – 他院で治療中も腫れが引かない(20代女性) "
3回、2ヶ月 / 176,000円
対応治療・価格
ホワイトニング(自由診療)
料金目安(税込):¥22,000〜¥33,000①ホームホワイトニング ¥22,000 ※ご自宅でご自身で行う(マウスピースを使用) ※薬剤2本(1クール1本、1週間計算 / 2回分) ②オフィスホワイトニング¥22,000 ※クリニックで施術 ※照射3回 ③デュアルホワイトニング ¥33,000 ※①+③(ホームホワイトニング+オフィスホワイトニング) ※①や②をバラバラに受けるよりも5,500円お得になっています。リスク・副作用:一時的に知覚過敏(歯がしみる症状)が出ることがあります。
小児予防矯正/マイオブレース(自由診療)
料金目安(税込):相談 :無料 検査、診断:¥44,000、マウスピース(初回時)¥55,000、 マウスピース(交換時)¥55,000、マウスピース紛失¥16,500、再診療¥5,500お子様の成長を利用し、顎の適切な発育を促すことで、将来的に抜歯を伴う矯正のリスクを減らす予防的な治療です。リスク・副作用:毎日決まった時間の装着が必要です。お子様の協力度により効果が左右されます。成長に伴い、成人矯正が必要になる場合があります。


.webp)
.webp)


.webp)
