ナチュラルデンタルオフィス南大沢
歯科医師 約1〜3名
東京都八王子市南大沢二丁目2番地 パオレ低層棟5階
| 診療時間 | 月 | 火 | 水 | 木 | 金 | 土 | 日 | 祝 |
|---|---|---|---|---|---|---|---|---|
| 09:30-12:30 | ||||||||
| 14:00-17:00 | ||||||||
| 14:00-18:00 | ||||||||
| お盆、年末年始は休み | ||||||||
- 虫歯
- 歯周病
- 知覚過敏
- 根管治療
- 抜歯
- 詰め物・被せ物
お口の悩みから一生の健康まで。精密な治療と予防で支える地域の健康管理パートナー
精密な機器を用いて「見て納得できる治療」を実践。高度な感染対策と専門的な外科処置を両立し、誠実な姿勢で地域の皆様の健康管理をサポートします。
治療室・設備
ゆとりある広いスペースを確保し、圧迫感のない快適な診療環境を整えています。徹底した衛生管理のもと、リラックスして精密な治療を受けられる空間です。
内覧・外観
温かみのある照明と落ち着いたインテリアで、診療前後の緊張を解きほぐします。清潔感溢れる広々とした空間で、ゆったりとリラックスしてお過ごしください。
歯科医師・スタッフ
専門研修を積んだ医師による高度な外科処置が可能。スタッフ一同、研鑽を怠らず、患者様一人ひとりに寄り添った誠実でホスピタリティ溢れる対応を徹底。
事例


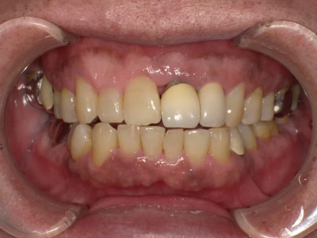
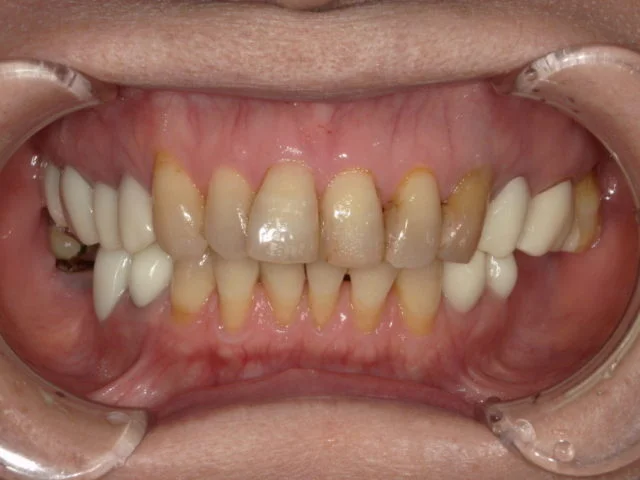
Before
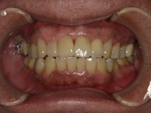
After
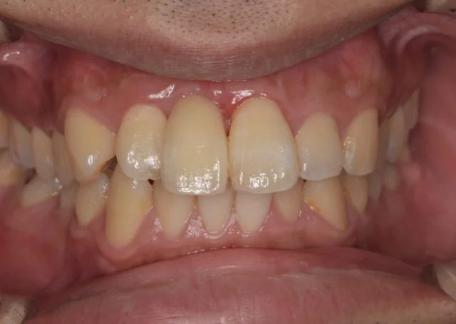
部分矯正によって歯を保存した症例
6ヶ月 / 総額210,000円リスク・副作用:治療中は仮歯や矯正器具が装着されるため、お口の中の違和感が出やすいです。 装置が外れたり壊れたりするのを防ぐために、お食事や歯磨きに注意していただく必要があります。 ひび割れを起こした全ての歯がエクストルージョンの適応となるわけではありません。 メインテナンスを継続し、再度ひび割れを起こさないように経過観察する必要があります。 かみ合わせの力のコントロールのために、マウスピースの装着をお願いする場合があります。


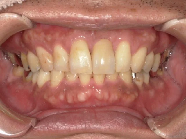
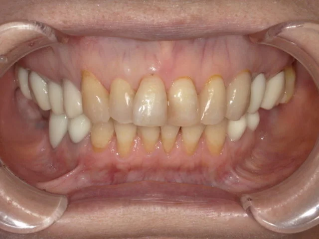
Before
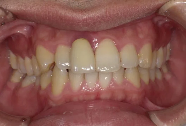
After
前歯のインプラント治療
10ヶ月 / 総額480,000円リスク・副作用:・手術後に痛みや腫れを伴うことがあります。 ・インプラント周囲炎の予防のため、定期的なメインテナンスが必須です。


Before
After
ダイレクトボンディングによる治療
1回 / 総額55,000円リスク・副作用:・強い力がかかると割れることがあります。 ・経年的に変色することがあります。


Before
After
折れた前歯のインプラント治療
約1年 / 総額610,000円リスク・副作用:・手術後に痛みや腫れを伴うことがあります。 ・インプラント周囲炎の予防のため、定期的なメインテナンスが必要です。


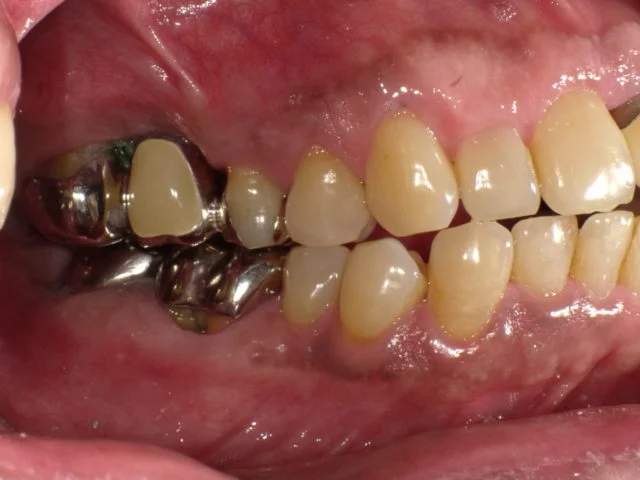
Before
After
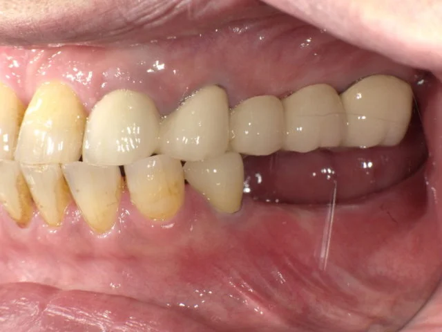
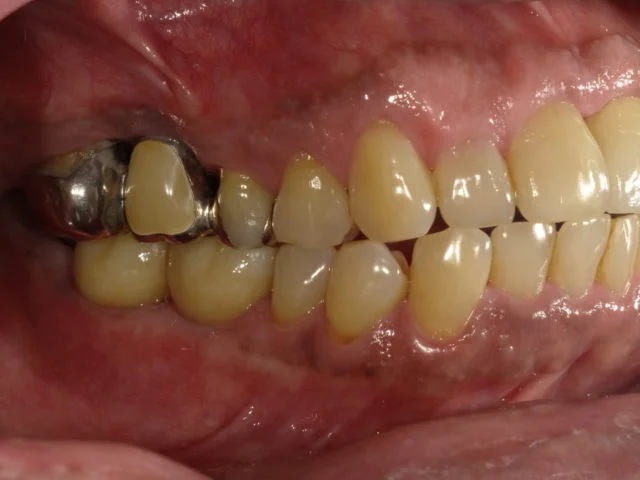
奥歯をインプラントで治療した症例
3ヶ月程度 / 総額950,000円リスク・副作用:・外科的治療であるため、手術後に痛みや腫れを伴うことがあります。 ・定期的なメインテナンスを怠ると、インプラント周囲炎等になる場合があります。 ・お口やお体の状態によっては、インプラント治療ができない場合があります。


Before
After
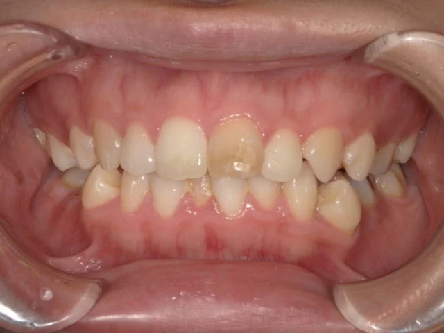
前歯の変色の審美的治療
約1ヶ月半 / 総額140,000円リスク・副作用:・極端に強い力がかかると、セラミックの一部が欠けることがあります。 ・歯と歯の隙間の詰め物は、経年的に劣化や変色が起こる可能性があります。


Before
After
前歯をセラミックで治療した症例
約2ヶ月 / 総額140,000円リスク・副作用:・極端に強い力がかかると、セラミックの一部が欠けることがあります。 ・歯と歯の隙間の詰め物は、経年的に劣化や変色が起こる可能性があります。


Before
After
奥歯のダイレクトボンディング
総額55,000円リスク・副作用:・強い力がかかると割れることがあります。 ・経年的に変色することがあります。


Before
After
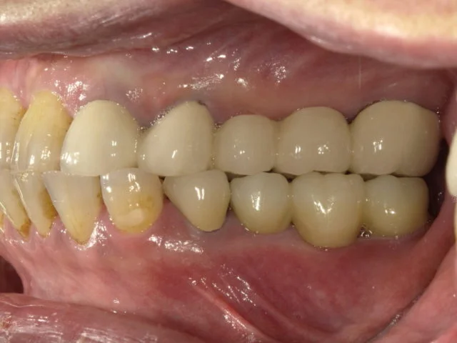
骨を増やしてインプラントをした症例
8ヶ月 / 総額900,000円リスク・副作用:・手術後に痛みや腫れを伴うことがあります。 ・インプラント周囲炎の予防のため、定期的なメインテナンスが必須です。
対応治療・価格
骨造成(サイナスリフト等)
料金目安(税込):165,000円〜インプラントのために足りない骨を補う手術。 ※あくまで標準的な症例の場合の目安です。 歯の状態や治療内容により、費用が異なる場合がございます。 ※検査・診断後に、治療計画と併せて正確な金額をご案内いたします。オールセラミック インレー(e-max)
料金目安(税込):約66,000円CT撮影・診断料24,200円、透明感のあるセラミックの詰め物です。周囲の歯とよくなじみ、二次虫歯になりにくいのが特徴です。 ※あくまで標準的な症例の場合の目安です。 歯の状態や治療内容により、費用が異なる場合がございます。 ※検査・診断後に、治療計画と併せて正確な金額をご案内いたします。リスク・副作用:金属に比べ歯を削る量が多くなる場合があります。強い衝撃や食いしばりにより欠ける恐れがあります。
アクセス
ナチュラルデンタルオフィス南大沢
歯科医師 約1〜3名
東京都八王子市南大沢二丁目2番地 パオレ低層棟5階
| 診療時間 | 月 | 火 | 水 | 木 | 金 | 土 | 日 | 祝 |
|---|---|---|---|---|---|---|---|---|
| 09:30-12:30 | ||||||||
| 14:00-17:00 | ||||||||
| 14:00-18:00 | ||||||||
| お盆、年末年始は休み | ||||||||
















.webp)

