ワイズデンタルオフィス
歯科医師 約1〜3名
「小田急線町田駅」から徒歩3分、「JR横浜線町田駅」から徒歩5分
東京都町田市森野1-24-13 ギャランフォトビル2
| 診療時間 | 月 | 火 | 水 | 木 | 金 | 土 | 日 | 祝 |
|---|---|---|---|---|---|---|---|---|
| 09:30-13:30 | ||||||||
| 15:00-18:00 | ||||||||
| 15:00-19:00 | ||||||||
| 休診日:水曜午後・木曜・日曜・祝日 | ||||||||
- 虫歯
- 歯周病
- 知覚過敏
- 根管治療
- 抜歯
- 詰め物・被せ物
自歯を活かし将来を見据えた根本治療。丁寧な対応と対話で、納得の安心を届けます。
一本の歯を長持ちさせるために、原因から向き合う情熱を大切にしています。患者様が将来後悔しないよう、現状と選択肢を誠実にお伝えし、納得の治療を届けます。
治療室・設備
セレック導入で精密な詰め物を院内でスピーディーに作製。マイクロスコープやCTも完備し、清潔な環境下で再発の少ない高度な精密治療を追求しています。
内覧・外観
町田駅から徒歩圏内にあり、通いやすさも大切にしています。落ち着いた雰囲気のロビーで、治療前の緊張を解きほぐし、リラックスして過ごせる空間を整えています。
歯科医師・スタッフ
患者様との対話を大切にし、一人ひとりの悩みや想いを汲み取る丁寧なカウンセリングを実施。納得できる医療を目指し、スタッフ一丸となって歩み寄ります。
事例


Before
After
受け口の矯正治療(メタルブラケット)
1年6ヶ月 / ¥825,000(税込)リスク・副作用:いままで反対咬合により噛んでいたため、正常咬合に慣れるようになるため時間がかかります。


Before
After
知覚過敏
1ヶ月 / ¥110,000(税込)リスク・副作用:治療範囲があまり大きくないため、歯肉を採取する範囲が最小限で済むが、口腔内の他の部位から供給するので、治療箇所が2部位になる。


Before
After
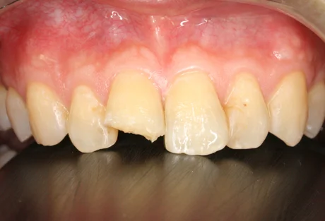
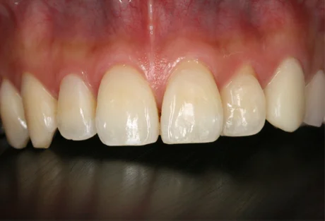
米国根管治療後に前歯をオールセラミックで修復した症例(オールジルコニア)
3ヶ月 / ¥143,000(税込)リスク・副作用:費用が比較的高額になる、割れたり、欠けたりする恐れがあります。


Before
After
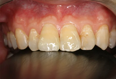
コンポジットレジンで修復した症例1(30代・男性)
症例によって異なります。リスク・副作用:変色したり、欠けたりする恐れがあります。


Before
After
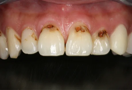
コンポジットレジンで修復した症例2(30代・男性)
症例によって異なります。リスク・副作用:変色したり、欠けたりする恐れがあります。


Before
After
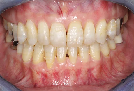
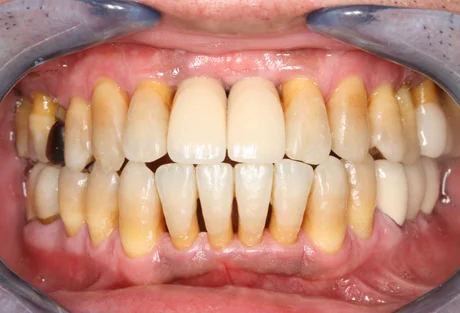
前歯欠損
1年6ヶ月 / インプラント330,000✖️2本、ジルコニアボンド¥143,000✖️2、矯正¥825,000リスク・副作用:外科処置が必要なため、腫れる可能性がある。※抜歯と同時にインプラントをすることで患者負担が減ります。


Before
After
複数欠損
5ヶ月 / インプラント¥330,000✖️2、被せ物 ¥143,000✖️2、歯肉移植 ¥220,000(税込)リスク・副作用:自費診療となるため、費用と期間がかかる。口腔内の他の部位から供給するので、治療箇所が2部位になる。


Before
After
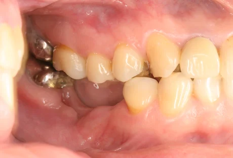
右上前歯1番 歯根破折 インプラント
6ヶ月 / ¥583,000(税込) 内訳:インプラント ¥330,000(税込)、骨移植 ¥55,000(税込)、歯肉移植 ¥110,000(税込)、被せもの ¥143,000(税込)リスク・副作用:外科手術による出血や腫れ、痛み、細菌感染のリスクがあります。また、稀に骨と結合しない場合があります。
対応治療・価格
成人(大人)歯科矯正料金
料金目安(税込):カウンセリング5,500円、 精密検査・診断:55,000円、 メタルブラケット:825,000円、 セラミックブラケット:935,000円、 マウスピース(部分):330,000円〜(全顎):990,000円 ※全て税込で記載見た目だけでなくお口全体の健康を考えた矯正です。一般歯科の強みを活かし、将来を見据えた「長く安定する噛み合わせ」を構築。大人の方の抜歯を抑えたプランなど、お一人おひとりに最適な治療をご提案します。 ※第1期(小児矯正)から受けられている患者様は、成人矯正を差額分の料金で受けていただけます。リスク・副作用:装置による違和感や一時的な痛みが出ることがあります。治療中は汚れが溜まりやすいため丁寧な歯磨きが大切です。整えた噛み合わせと歯並びを保つため、治療後も保定装置(リテーナー)を使用します。
子供(小児)の矯正料金
料金目安(税込):カウンセリング5,500円、 精密検査・診断:55,000円、 メタルブラケット:440,000円、 セラミックブラケット:550,000円 ※全て税込で記載お子様の顎の成長を利用し、将来の健康な噛み合わせの土台を作ります。一般歯科としての強みを活かし、虫歯予防を並行しながら、お子様の負担に配慮した最適な治療タイミングをご提案します。リスク・副作用:装置による違和感や一時的な痛みが出ることがあります。治療中は汚れが溜まりやすいため丁寧な歯磨きが大切です。整えた噛み合わせと歯並びを保つため、治療後も保定装置(リテーナー)を使用します。























