みずた歯科医院
歯科医師 約1〜3名
JR中央線武蔵境駅北口から「ひばりがヶ丘行き至誠学舎東京前」バス停下車 徒歩1分、 西武新宿線田無駅から「武蔵境駅行き至誠学舎東京前」バス停下車 徒歩1分
東京都西東京市新町2-2-2ドムス武蔵野1階
| 診療時間 | 月 | 火 | 水 | 木 | 金 | 土 | 日 | 祝 |
|---|---|---|---|---|---|---|---|---|
| 10:00-13:00 | ||||||||
| 15:00-18:00 | ||||||||
| 15:00-19:00 | ||||||||
| 休診日:水午後・木・日・祝日 | ||||||||
- 虫歯
- 歯周病
- 知覚過敏
- 根管治療
- 抜歯
- 詰め物・被せ物
お口全体を診るトータルケア。納得のいく治療を共に選べる西東京市の歯科医院。
原因を追究するトータルな治療を重視。保険から自費まで幅広い選択肢を提示し、患者様のご希望に寄り添いながら納得感のある治療計画を立案します。
治療室・設備
高水準の滅菌器や口腔外バキュームを完備。除菌水供給システムによる衛生的な環境で、院内感染防止を徹底し、安全性を追求した精密な治療を提供します。
内覧・外観
雑誌や絵本をご用意したリラックス空間です。衛生管理を徹底しており、診療までのお時間を安心してお過ごしいただけます。
歯科医師・スタッフ
「歯医者を好きになってほしい」という想いを持つ院長が、温かくお迎えします。研鑽を積んだスタッフが、些細な悩みも話しやすい雰囲気づくりを大切にしています。
事例


Before
After
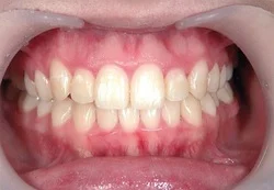
すきっ歯/アソアライナー単独のマウスピース矯正
歯型取り11回 治療期間(歯の移動期間)1年7か月 / 805,000円リスク・副作用:マウスピースは、1日17時間以上入れていただく必要があります。装着時間が短いと想定通り動きません。 長時間入れてくださるほど歯はよく動き、治療時間が短くなります。


Before
After
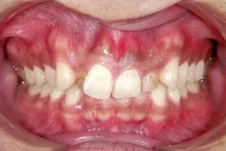
八重歯・デコボコがある歯/アソアライナー単独のマウスピース矯正
非抜歯で 歯型取り14回 治療期間(歯の移動期間)2年6か月 / 910,000円リスク・副作用:マウスピースは、1日17時間以上入れていただく必要があります。装着時間が短いと想定通り動きません。 長時間入れてくださるほど歯はよく動き、治療時間が短くなります。


Before
After
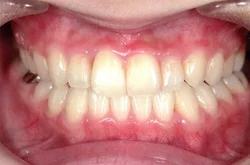
抜歯しアソアライナー単独でのマウスピース矯正した症例
歯型取りを10回し、治療期間(歯の移動期間)1年4か月 / 770,000円リスク・副作用:マウスピースは、1日17時間以上入れていただく必要があります。装着時間が短いと想定通り動きません。 長時間入れてくださるほど歯はよく動き、治療時間が短くなります。


Before
After
受け口(反対咬合)/アソアライナー単独でのマウスピース矯正
歯型取り15回、 治療期間は2年4か月 / 945,000円リスク・副作用:マウスピースは、1日17時間以上入れていただく必要があります。装着時間が短いと想定通り動きません。 長時間入れてくださるほど歯はよく動き、治療時間が短くなります。


Before
After
開咬で受け口/アソアライナー単独のマウスピース矯正のみ
非抜歯、歯型取り10回、治療期間(歯の移動期間)1年8か月で終了 / 770,000円リスク・副作用:マウスピースは、1日17時間以上入れていただく必要があります。装着時間が短いと想定通り動きません。 長時間入れてくださるほど歯はよく動き、治療時間が短くなります。


Before
After
前歯のねじれ/アソアライナー単独のマウスピース矯正
非抜歯、歯型取り6回、治療期間(歯の移動期間)1年2カ月 / 630,000円リスク・副作用:マウスピースは、1日17時間以上入れていただく必要があります。装着時間が短いと想定通り動きません。 長時間入れてくださるほど歯はよく動き、治療時間が短くなります。


Before
After
過蓋咬合(ディープバイト:咬み合わせが深い、窮屈)/アソアライナー単独のマウスピース矯正
非抜歯、歯型取り8回 、治療期間は1年1ヵ月 / 660,000円リスク・副作用:マウスピースは、1日17時間以上入れていただく必要があります。装着時間が短いと想定通り動きません。 長時間入れてくださるほど歯はよく動き、治療時間が短くなります。


Before
After
受け口と小さい歯がある/被せ物(セラミックス)+アソアライナー単独のマウスピース矯正
非抜歯 歯型取り10回 、治療期間1年6か月 / 870,000円(セラミックス代金を含む)リスク・副作用:マウスピースは、1日17時間以上入れていただく必要があります。装着時間が短いと想定通り動きません。 長時間入れてくださるほど歯はよく動き、治療時間が短くなります。


Before
After
ワイヤー矯正からの移行/アソアライナー単独のマウスピース矯正
非抜歯、歯型取り13回 、治療期間は1年9か月 / 725,000円リスク・副作用:マウスピースは、1日17時間以上入れていただく必要があります。装着時間が短いと想定通り動きません。 長時間入れてくださるほど歯はよく動き、治療時間が短くなります。


Before
After
ねじれてデコボコのある歯/アソアライナー単独のマウスピース矯正
非抜歯 歯型取り8回、治療期間(歯の移動期間)1年3か月 / 700,000円リスク・副作用:マウスピースは、1日17時間以上入れていただく必要があります。装着時間が短いと想定通り動きません。 長時間入れてくださるほど歯はよく動き、治療時間が短くなります。
対応治療・価格
マウスピース矯正 上下(アソアライナー)/成人矯正
料金目安(税込):相談料無料、検査料11,000円、矯正基本料金:約440,000円、再診料(歯型をとったとき) 5,500円、再診料(マウスピース装着時)33,000円(税込)透明で目立ちにくいマウスピース型の矯正治療です。段階に合わせて装置を交換し、歯並びを整えます。 後戻り防止マウスピース上下 22,000円、再診療は別途かかります。 [片方のみ] 全て税込 相談料無料、検査料11,000円 矯正基本料金約275,000円 再診料(歯型をとったとき)3,300円 再診料(マウスピース装着時)16,500円 記載の価格は、全て税込になります。リスク・副作用:装着時間を守らないと効果が出ません。また、治療開始直後に違和感や痛みを感じる場合があります。
ワイヤー矯正/成人矯正
料金目安(税込):相談料 無料、検査料 11,000円、 再診料3,300円/来院毎、基本料金 約660,000円、 ワイヤー交換1本につき1,100円、 部分矯正(倒れた歯を起こすなど)約165,000円(税込)歯にブラケットとワイヤーを固定し、歯を精密に動かす一般的な治療です。幅広い症例に対応可能です。リスク・副作用:装置による痛みや口内炎、歯磨きがしにくくなることによる虫歯・歯周病のリスクがあります。











