いとう歯科医院
歯科医師 約1〜3名
JR南武線「津田山」駅 徒歩1分、東急田園都市線「溝の口」駅より徒歩13分
神奈川県川崎市高津区下作延6-4-10 YSビル1F
| 診療時間 | 月 | 火 | 水 | 木 | 金 | 土 | 日 | 祝 |
|---|---|---|---|---|---|---|---|---|
| 09:00-13:00 | ||||||||
| 10:00-14:00 | ||||||||
| 14:30-18:00 | ||||||||
| 15:30-19:00 | ||||||||
| 完全予約制、年末年始はお休み | ||||||||
- 虫歯
- 歯周病
- 知覚過敏
- 根管治療
- 抜歯
- 詰め物・被せ物
歯をできる限り残し、わかりやすい説明で、患者と術者がともに納得できる治療を行う歯科医院
医学的根拠を大切にし、患者さんの気持ちや希望を丁寧に伺いながら、一口腔単位の治療を視覚的資料でわかりやすく説明します。
治療室・設備
徹底した滅菌対策と次世代マイクロスコープを完備。全室に大型モニターを備え、ベビーカーのまま入室できる清潔で機能的な空間で、安全な精密治療を行います。
内覧・外観
地域の皆様が末長く安心して通える、優しく開放的な待合空間です。歯科医師の家系として受け継がれた勲章も展示し、ご家族で通いやすい医院を目指しています。
歯科医師・スタッフ
患者さんのお話を丁寧に伺うことを大切に、子どもに慣れた女性スタッフや女性ドクターが在籍。インプラント・歯周病の専門医による安心の診療を提供します。
事例


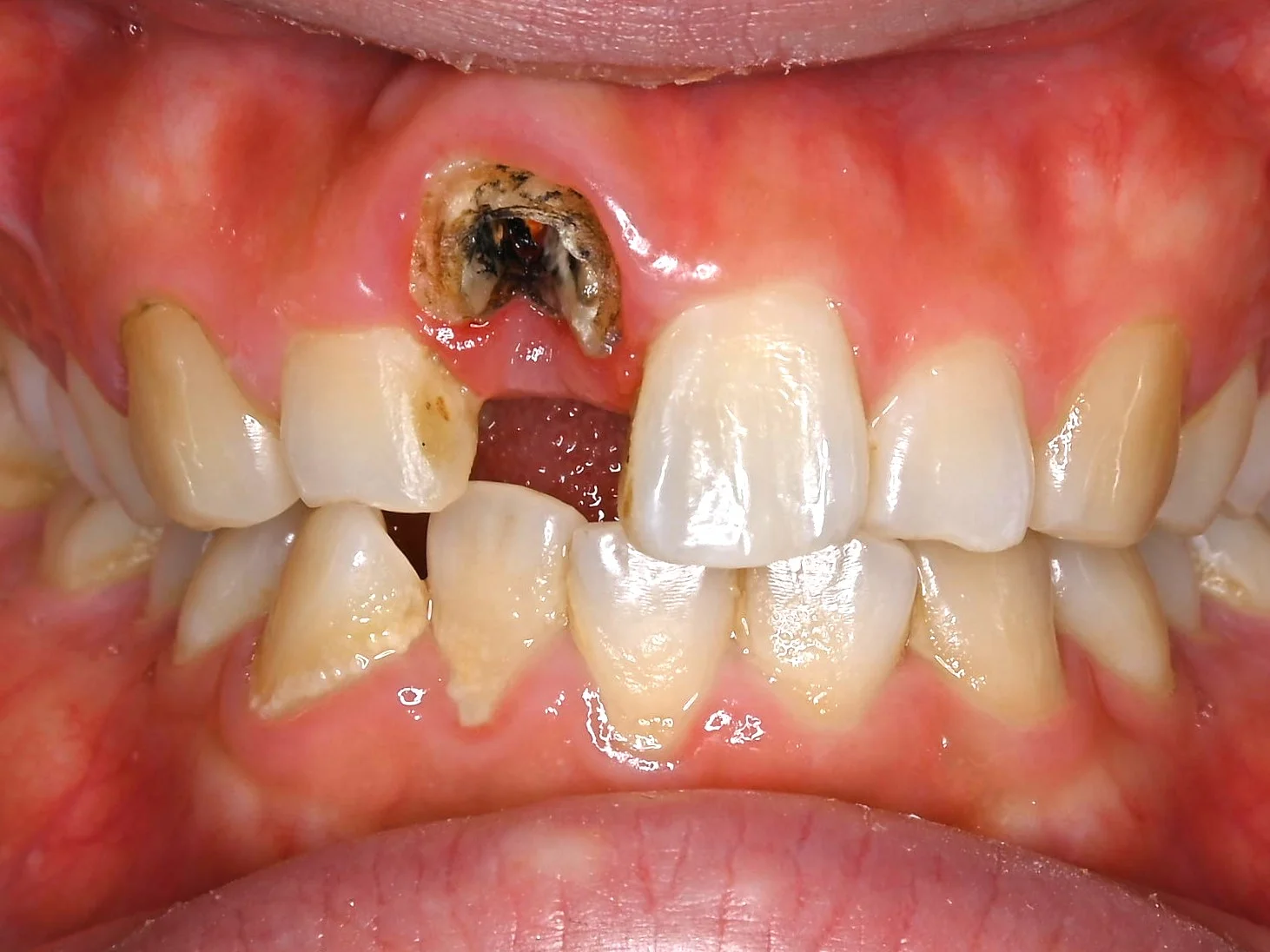
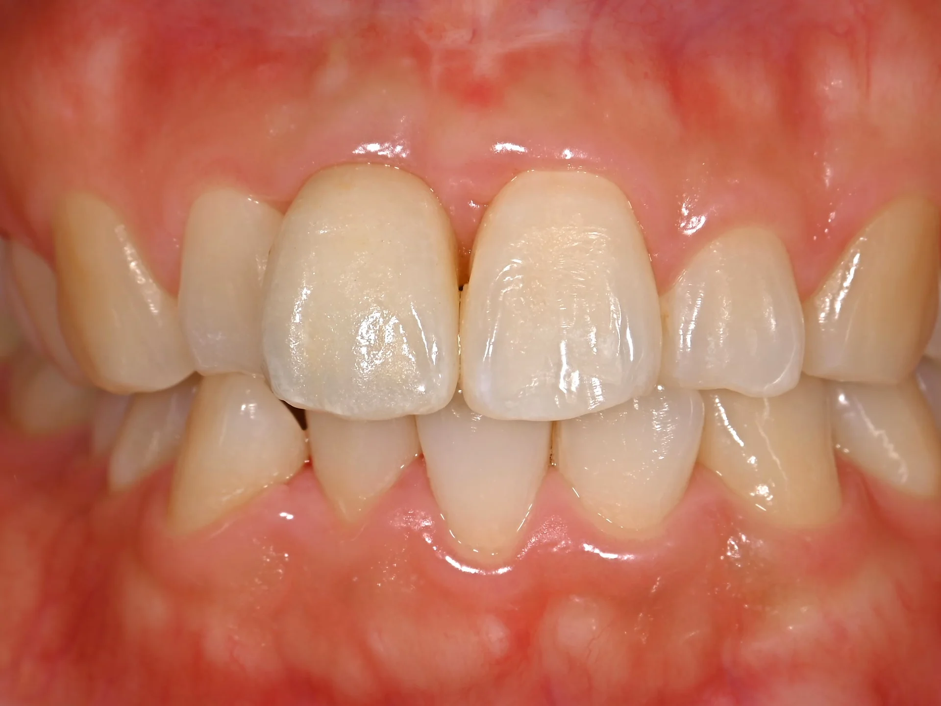
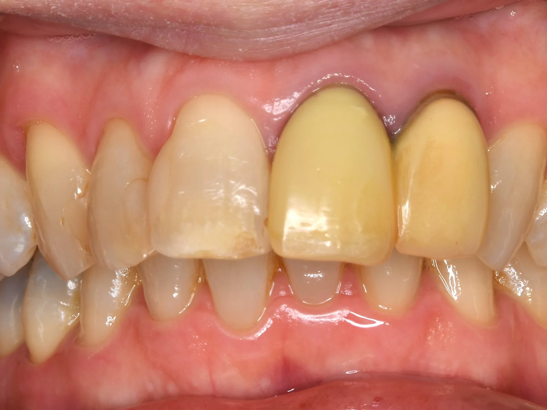
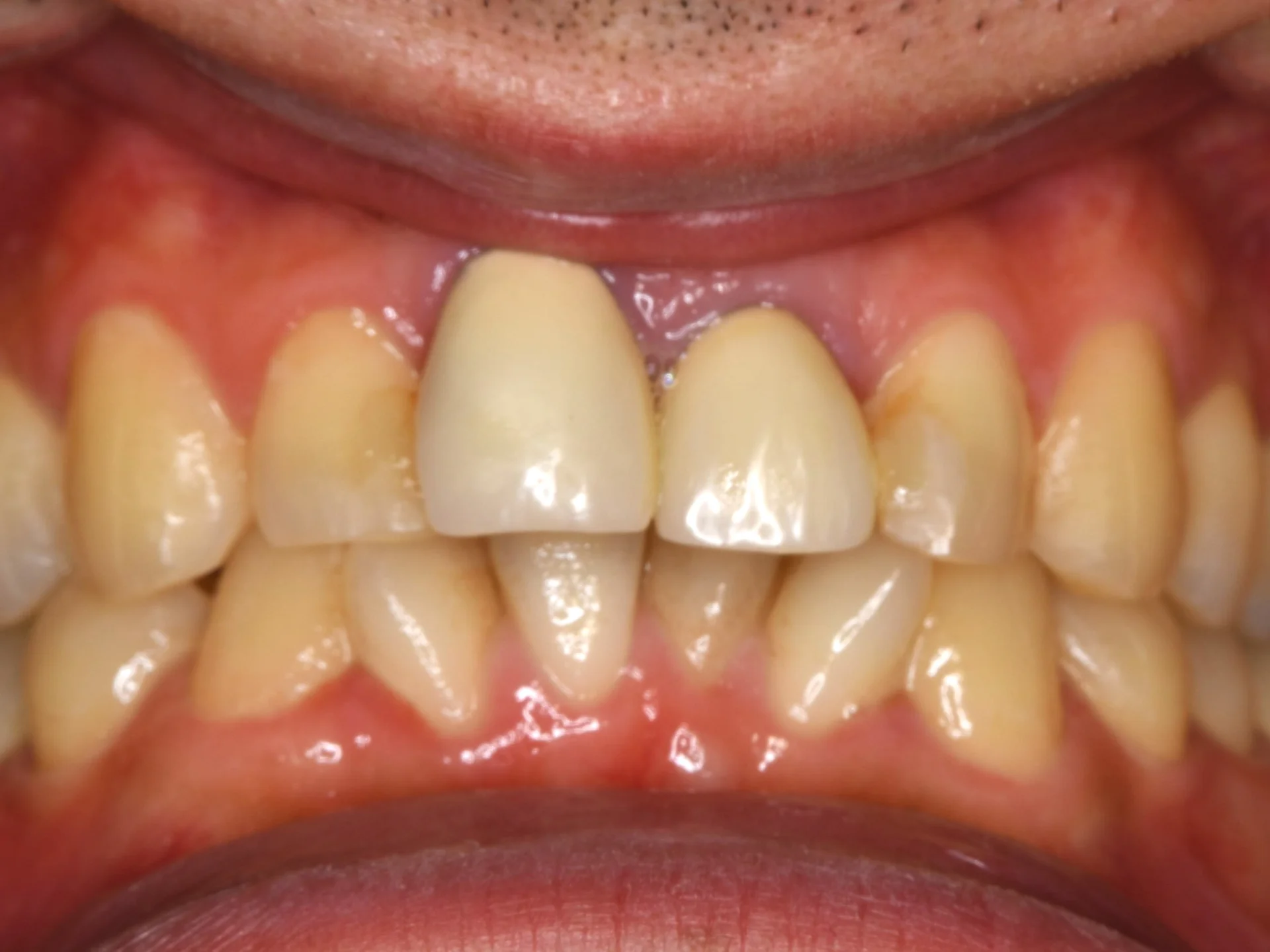
Before
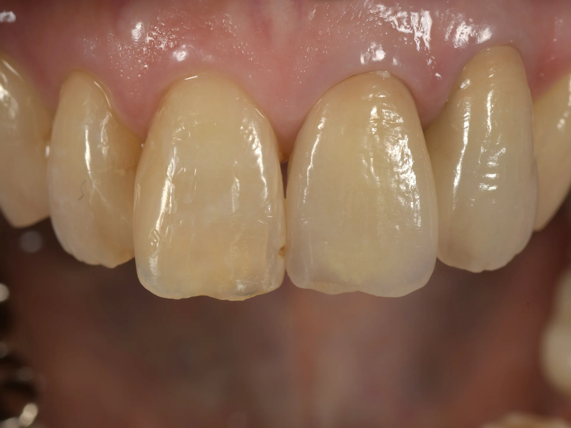
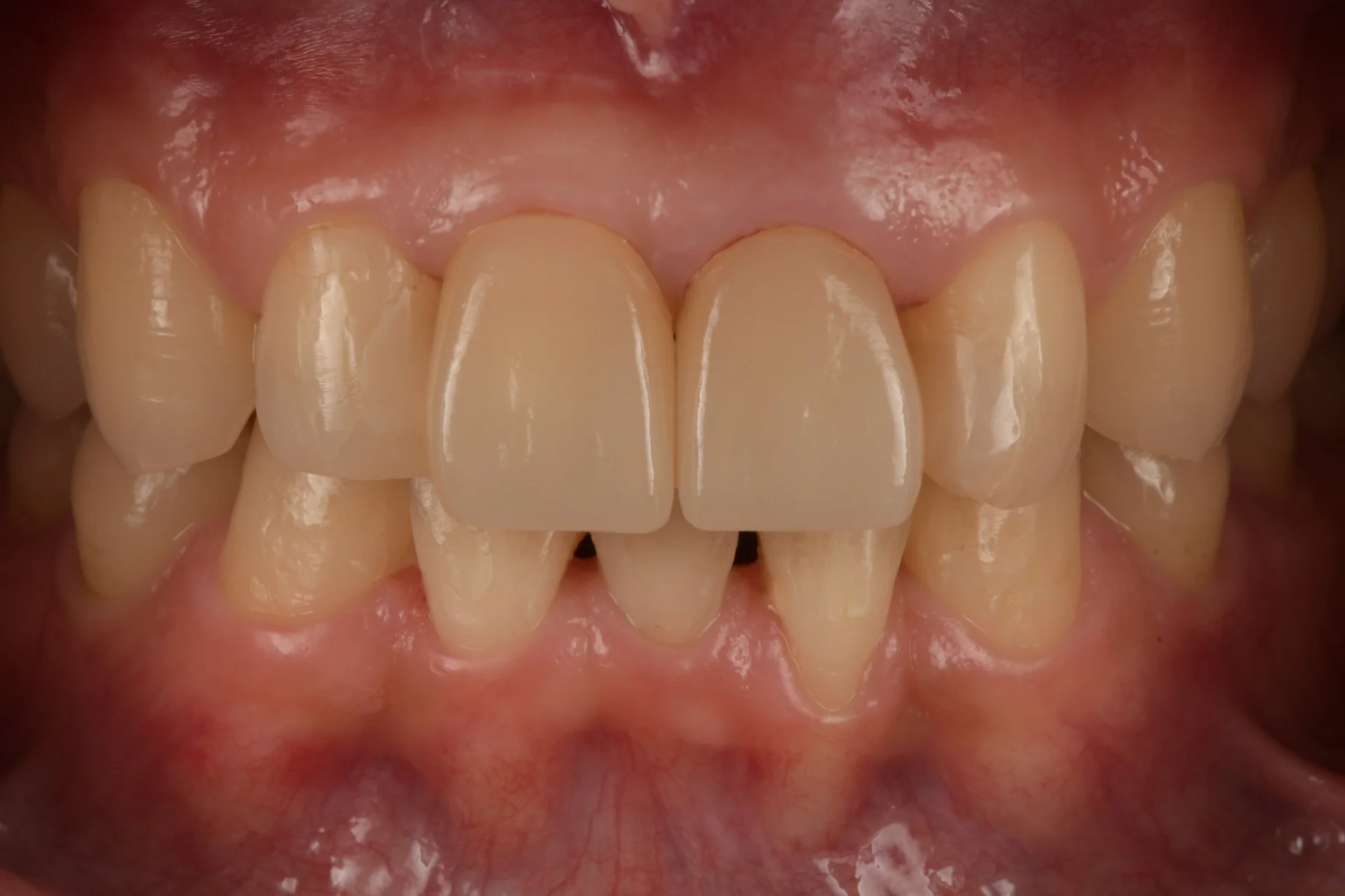
After
ジルコニアレイヤリング1本
回数5回 / 総額150,000円リスク・副作用:再度、根の治療が必要な場合が多いです。仮歯は二段階で必要であったり、歯茎の位置を整える治療も併せて補助的に行いより審美的に仕上げます。


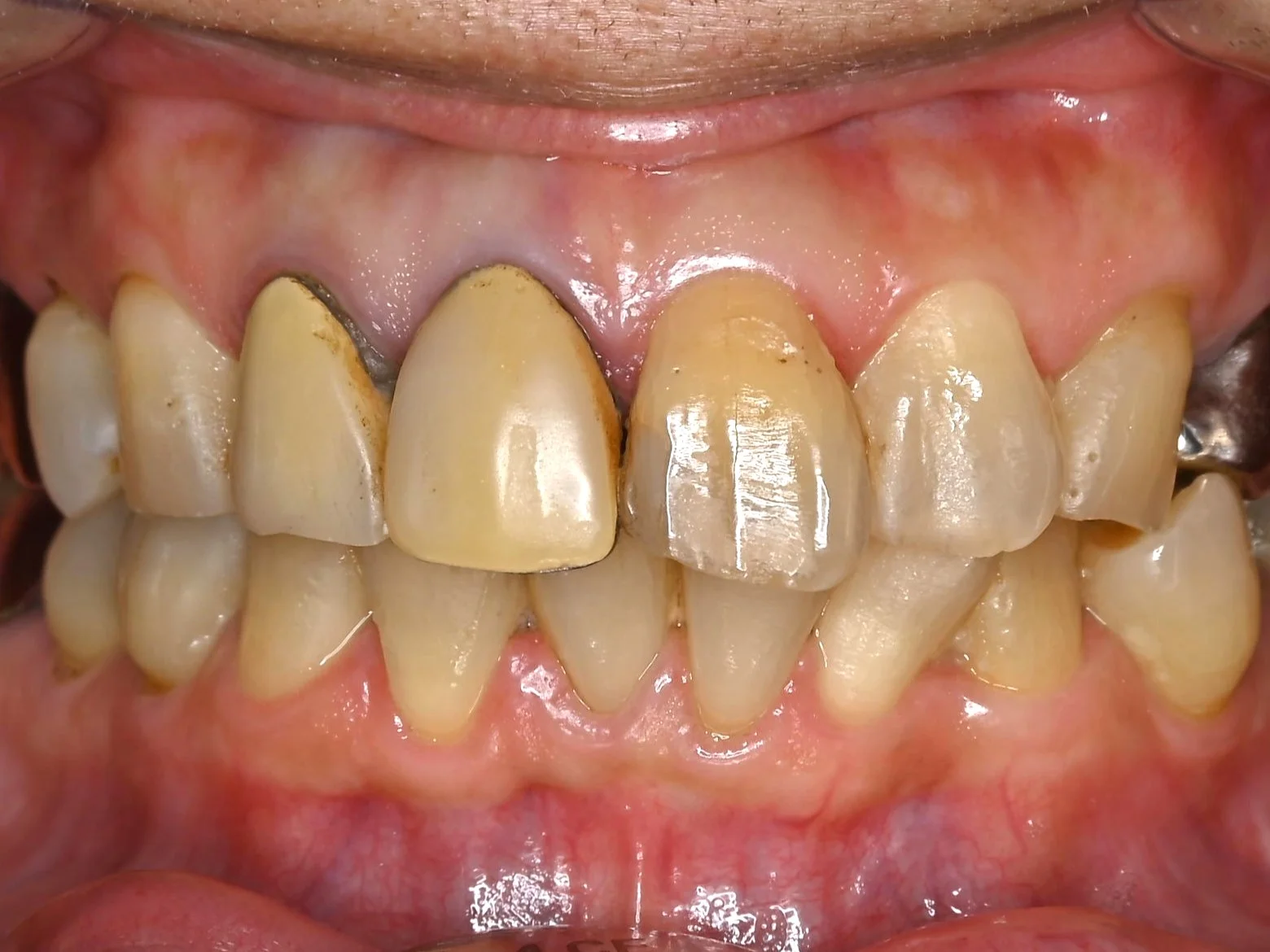
Before
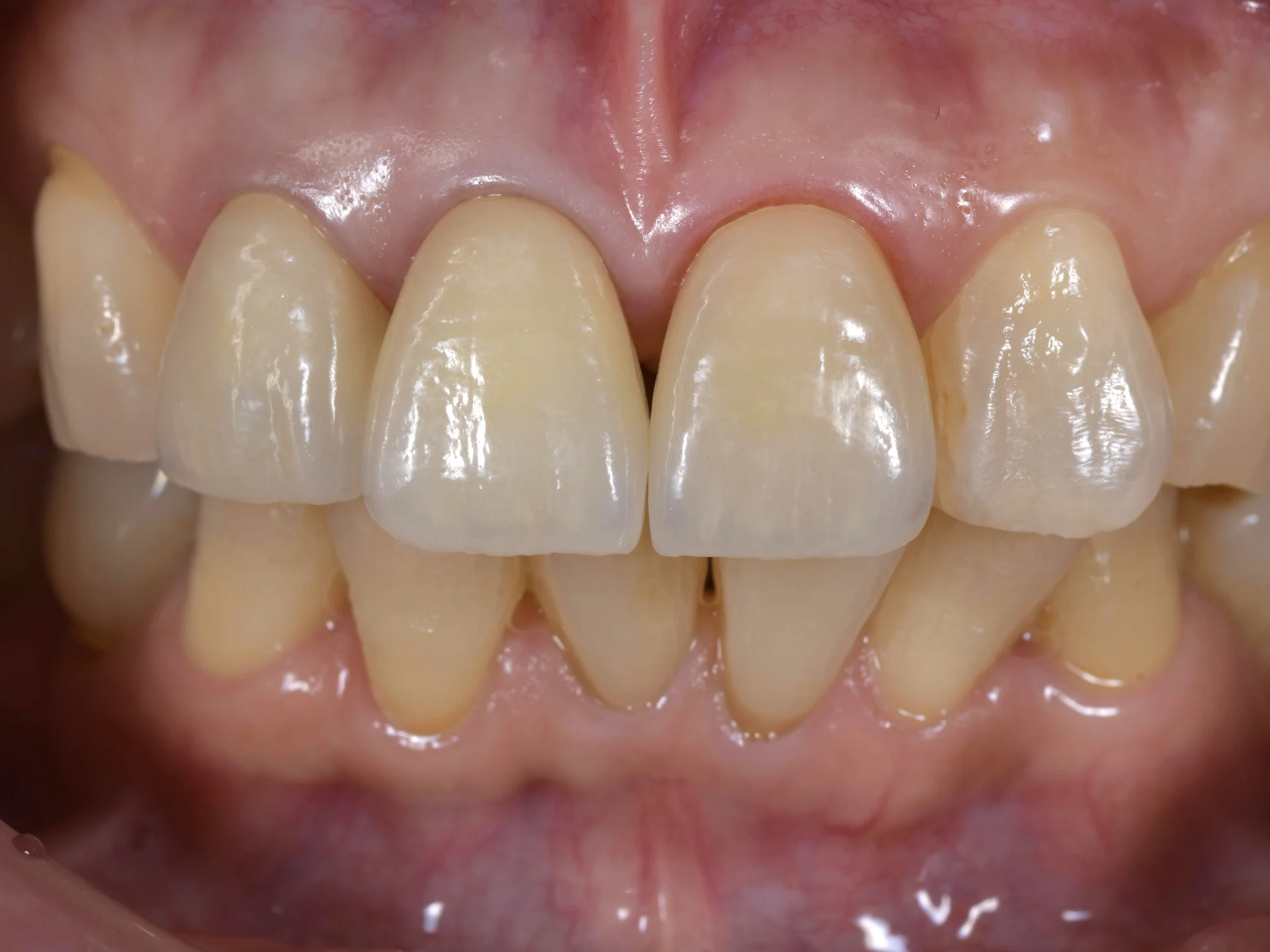
After
インプラント前歯奥歯併せて5本➕ジルコニア14本の全顎治療
回数50回 / 総額4,500,000円リスク・副作用:最初のお口の状態も悪く歯を失っている本数が多かったので1年以上の時間がかかる治療です。慎重に丁寧に行う事が大切になります。


Before
After
インプラント前歯1本
回数15回 / 総額700,000円リスク・副作用:幼い頃の転倒により、歯が悪い位置で癒着してしまった。骨も少なければ、軟組織(歯茎)も少ないので、そう言ったところを補う治療が必要となり期間も回数もかかる治療となる。


Before
After
インプラント奥歯4本➕ジルコニアレイヤリングブリッジ3本➕ジルコニアクラウン3本➕歯周再生療法
回数70回 / 総額3,000,000円リスク・副作用:ステージⅣに及ぶ重度歯周病であった為、歯周基本治療で残せる歯、抜歯が必要な歯を判断していく必要がある。中度以上の歯周病に罹患している方は相対的に期間がかかり、年単位の期間を有する。また、歯周病は再発率も高いので定期検診が必須となる。


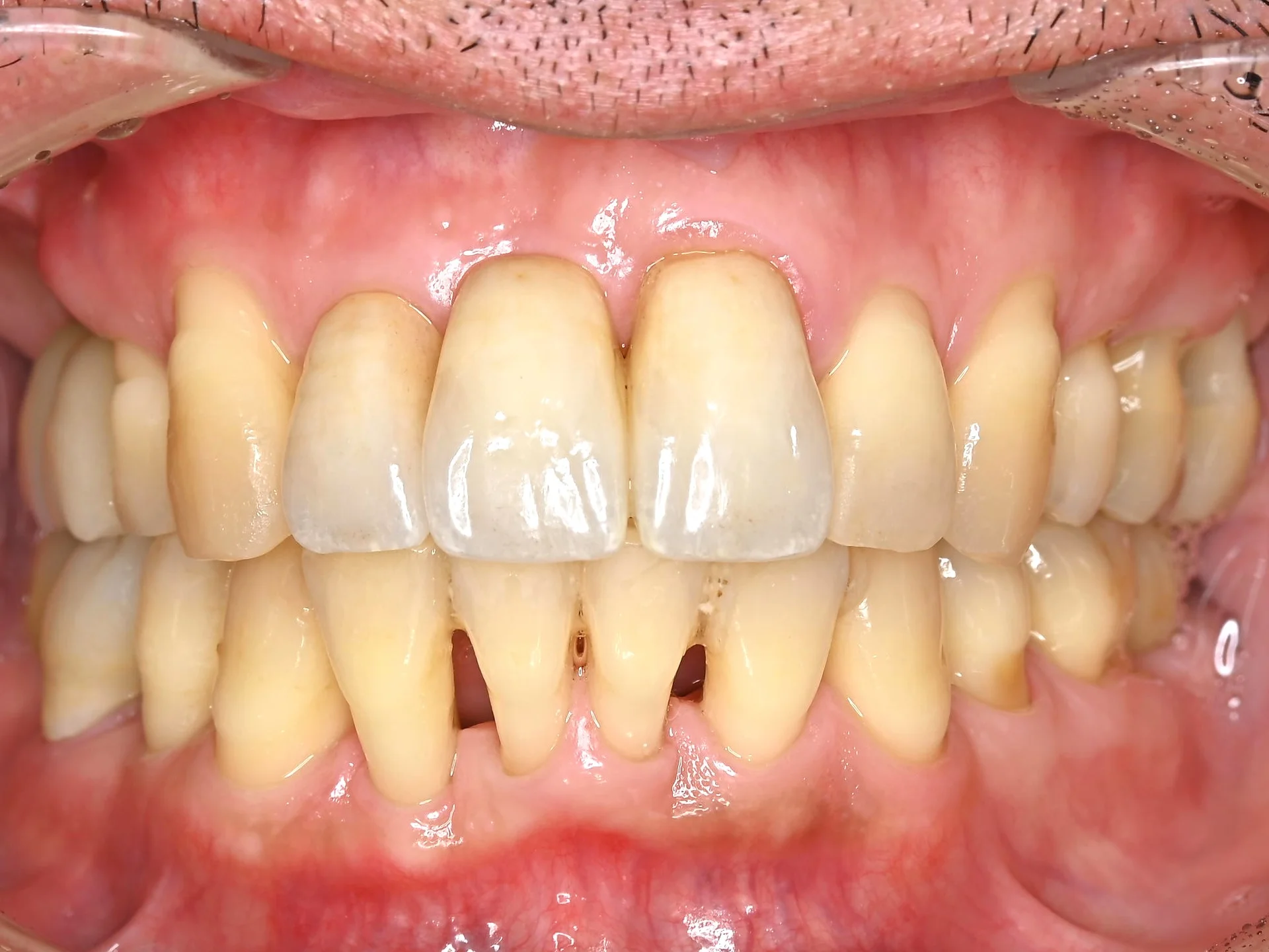
Before
After
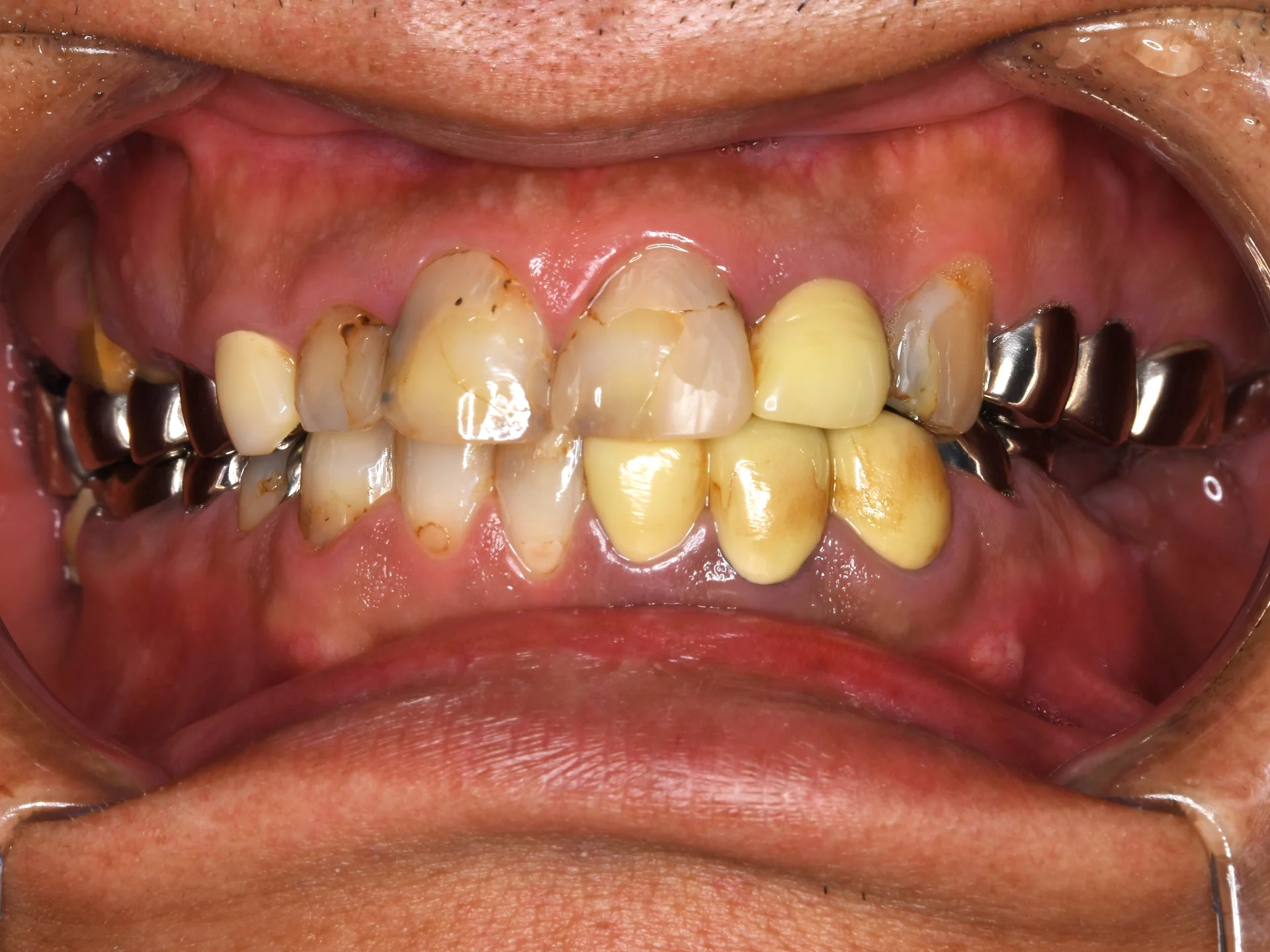
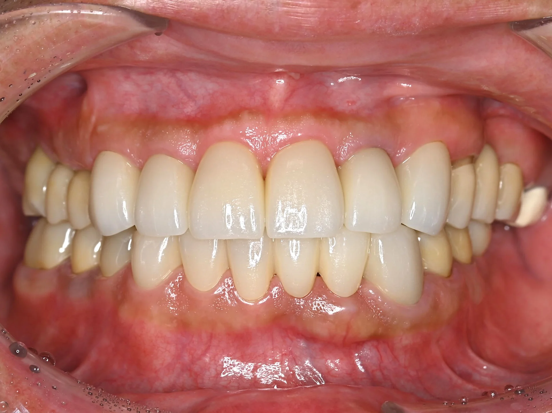
インプラント奥歯3本➕ジルコニアクラウン20本
回数40回 / 総額3,500,000円リスク・副作用:再度、被せ物のやりかえは根の治療が必要な場合が多いです。仮歯は二段階で必要であったり、歯茎の位置を整える治療も併せて補助的に行いより審美的に仕上げます。


Before
After
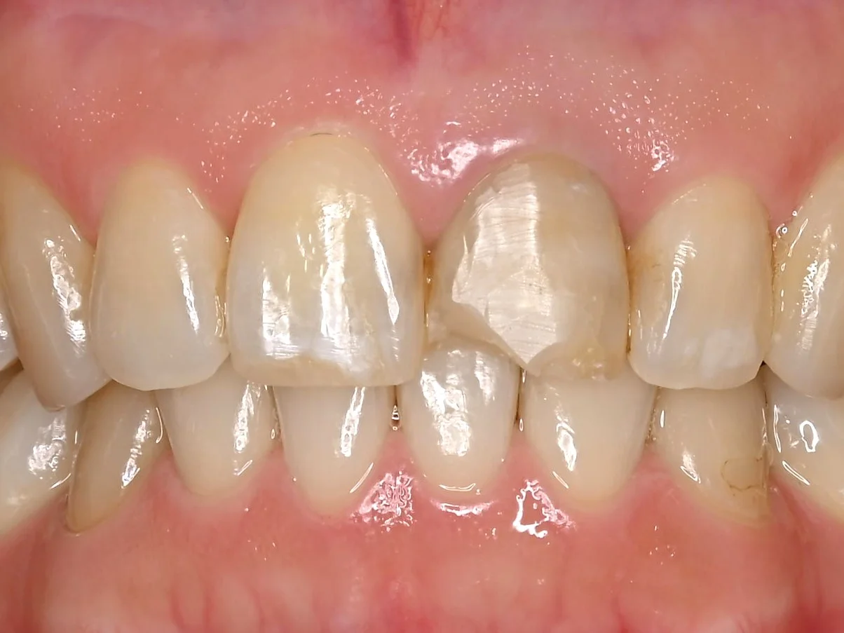
ジルコニアレイヤリング 1本
回数5回 / 総額150,000円リスク・副作用:再度、根の治療が必要な場合が多いです。仮歯は二段階で必要であったり、歯茎の位置を整える治療も併せて補助的に行います。


Before
After
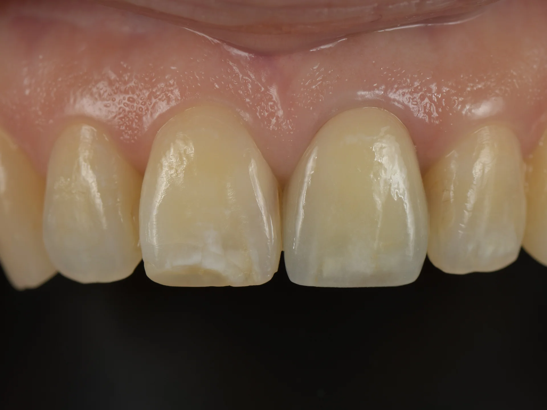
ジルコニアレイヤリング 2本
回数6回 / 総額300,000円リスク・副作用:リスク・副作用 再度、根の治療が必要な場合が多いです。仮歯は二段階で必要であったり、歯茎の位置を整える治療も併せて補助的に行い、より審美的に仕上げます。


Before
After
ジルコニアレイヤリング 3本
回数10回 / 総額450,000円リスク・副作用:再度、根の治療が必要な場合が多いです。仮歯は二段階で必要であったり、歯茎の位置を整える治療も併せて補助的に行いより審美的に仕上げます。


Before
After
移植➕小矯正➕ジルコニアレイヤリング2本
回数20回 / 総額750,000円リスク・副作用:上記被せ物の治療に加え、移植は個人の影響を特に受けやすいので生着しない場合もあります。喫煙者は特にリスクとなるのでインプラント等の他の治療も視野に入れる必要があります。小矯正は気になるところのみを矯正する方法です。
対応治療・価格
歯周外科および歯周組織再生療法
料金目安(税込):約50,000円重度の歯周病に対し、外科的な清掃や薬剤を用いて失われた骨などの組織を再生させ、歯の保存を試みます。リスク・副作用:術後の腫れや出血、歯肉が下がる場合があります。再生の程度には個人差があり、厳格な口腔衛生管理が必要です。
ホワイトニング
料金目安(税込):約15000円~40000円専用の薬剤を使用して、歯を削らずに色素を分解し白くします。本来の歯の明るさを引き出し、口元を整えます。リスク・副作用:治一時的に歯がしみる(知覚過敏)場合があります。効果には個人差があり、色の後戻りを防ぐ継続が必要です。
アクセス
いとう歯科医院
歯科医師 約1〜3名
JR南武線「津田山」駅 徒歩1分、東急田園都市線「溝の口」駅より徒歩13分
神奈川県川崎市高津区下作延6-4-10 YSビル1F
| 診療時間 | 月 | 火 | 水 | 木 | 金 | 土 | 日 | 祝 |
|---|---|---|---|---|---|---|---|---|
| 09:00-13:00 | ||||||||
| 10:00-14:00 | ||||||||
| 14:30-18:00 | ||||||||
| 15:30-19:00 | ||||||||
| 完全予約制、年末年始はお休み | ||||||||






















