ナチュラルデンタルオフィス橋本
歯科医師 約4〜10名
神奈中バス 「日本板硝子前」徒歩30秒、橋本駅より徒歩25分
神奈川県相模原市緑区西橋本4-8-40
| 診療時間 | 月 | 火 | 水 | 木 | 金 | 土 | 日 | 祝 |
|---|---|---|---|---|---|---|---|---|
| 09:30-12:30 | ||||||||
| 14:00-17:00 | ||||||||
| 14:00-18:00 | ||||||||
| お盆、年末年始、研修時はお休みです。 | ||||||||
- 虫歯
- 歯周病
- 知覚過敏
- 根管治療
- 抜歯
- 詰め物・被せ物
お子様専用の空間とチームの和で、苦手を安心に。家族みんなで通える、優しい歯医者。
「家族を診る想い」で顕微鏡による精密治療を実践。キッズクラブ運営など予防にも注力し、地域の皆様が一生自分の歯で笑えるためのサポートを徹底しています。
治療室・設備
大人と小児で待合室を分け、全世代が心地よい空間を実現。和の趣あるロビーでリラックスでき、お子様も楽しく通える工夫が詰まった、地域に開かれた医院です。
内覧・外観
お子様がリラックスできるよう、専用の診療室や受付を完備。優しい声掛けや服装にも工夫を凝らし、苦手意識を安心に変える環境づくりに努めています。
歯科医師・スタッフ
認定医や専門医、技工士に加え、保育士や管理栄養士も活躍。各分野のプロが連携し、お口の健康から食事、お子様の成長まで、高い専門性で寄り添います。
事例


Before
After
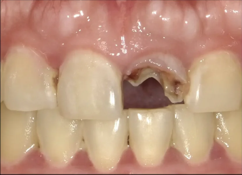
前歯の隙間、被せ物をセラミック、ダイレクトボンディングにて審美性を回復(40代女性)
8回 / 総額700,000円リスク・副作用:・強い噛み締めや食いしばり、歯軋りなどで欠けたり割れたりすることがあります。 ただし、ダイレクトボンディングは接着材料のため口の中での修理が可能です。 ・ダイレクトボンディングは経年的に変色するリスクがあります。 ・メンテナンスを怠ると、虫歯になることがあります。


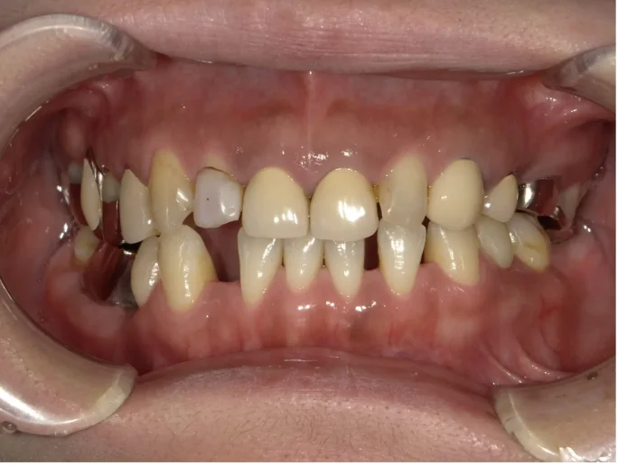
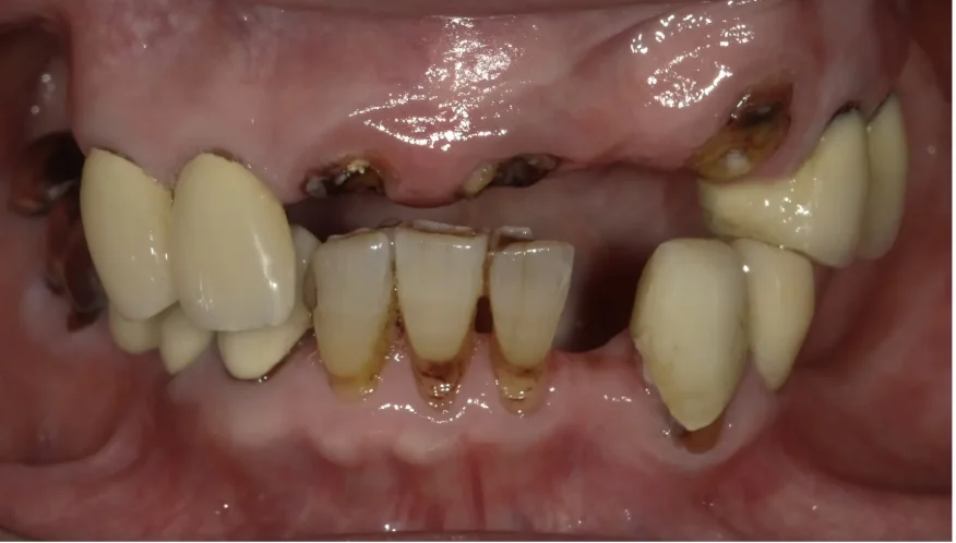
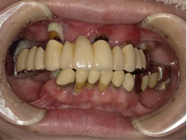
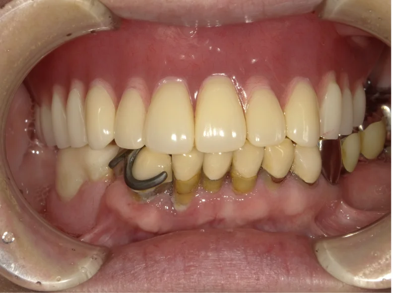
Before
After
セラミックブリッジと金属床義歯を用いて、見た目と噛みやすさを追求(75歳女性)
1年半 / 総額2,000,000円リスク・副作用:・残存歯、義歯ともに定期的なメンテナンスが必要です ・清潔に義歯をご使用いただくため、毎日の義歯洗浄剤の使用を推奨しています


Before
After
虫歯をセラミックの被せ物で治療(70代女性)
総額120,000円リスク・副作用:・歯ぎしりや食いしばり、ぶつけたり硬いものを誤って咬んでしまうと欠けてしまう可能性があります。 ・セラミックも十分なメンテナンスを行わないと虫歯になることがあります。


Before
After
見た目を綺麗に。セラミッククラウンを用いて治療(50代女性)
約1年半 / 総額1,900,000円リスク・副作用:噛み合わせや歯軋りが強すぎる場合、セラミックが割れてしまう可能性がありま


Before
After
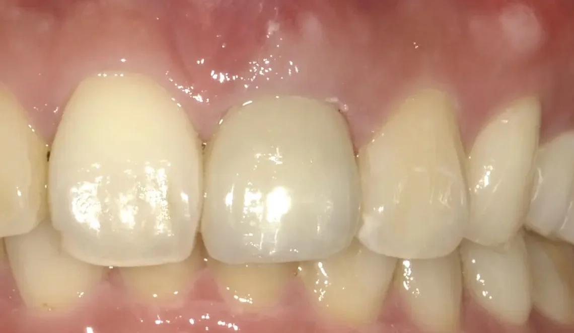
変色した前歯をセラミックで治療(20代女性)
約1ヶ月半 / 総額140,000円リスク・副作用:セラミックも十分なメンテナンスを行わないと、周辺の歯から虫歯になることがあります。 強い食いしばりや硬度の高いものを誤って噛んだりぶつけたりするとかけてしまうことがあります。


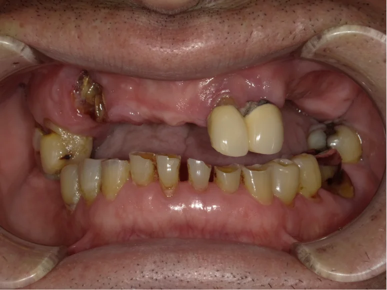
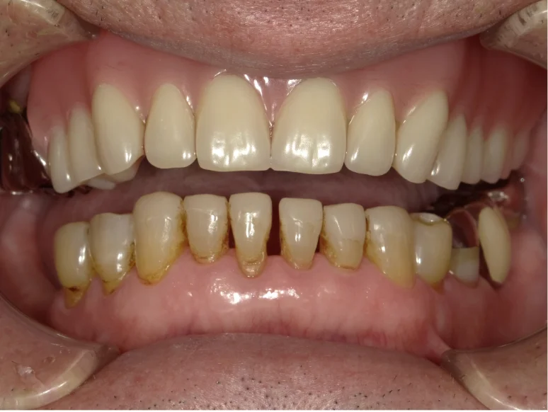
Before
After
クラウンと義歯で咬合回復(70代女性)
約1年 / 総額1,460,000円リスク・副作用:・残存歯、義歯ともに定期的なメンテナンスが必要です ・清潔に義歯をご使用いただくため、毎日の義歯洗浄剤の使用を推奨しています


Before
After
折れた前歯をセラミックで治療(30代男性)
約3週間 / 総額140,000円リスク・副作用:・歯ぎしりや食いしばり、ぶつけたり硬いものを誤って咬んでしまうと欠けてしまう可能性があります。 ・セラミックも十分なメンテナンスを行わないと虫歯になることがあります。


Before
After
1日で入れ歯を製作/即日義歯(65歳女性)
1日 / 総額200,000円リスク・副作用:・口腔内の状況により、即日義歯が対応できない場合もあります ・初診日に対応は致しかねます。あらためて日程を調整して施術となります ・入れ歯、残存歯ともに定期的なメンテナンスが必要です


Before
After
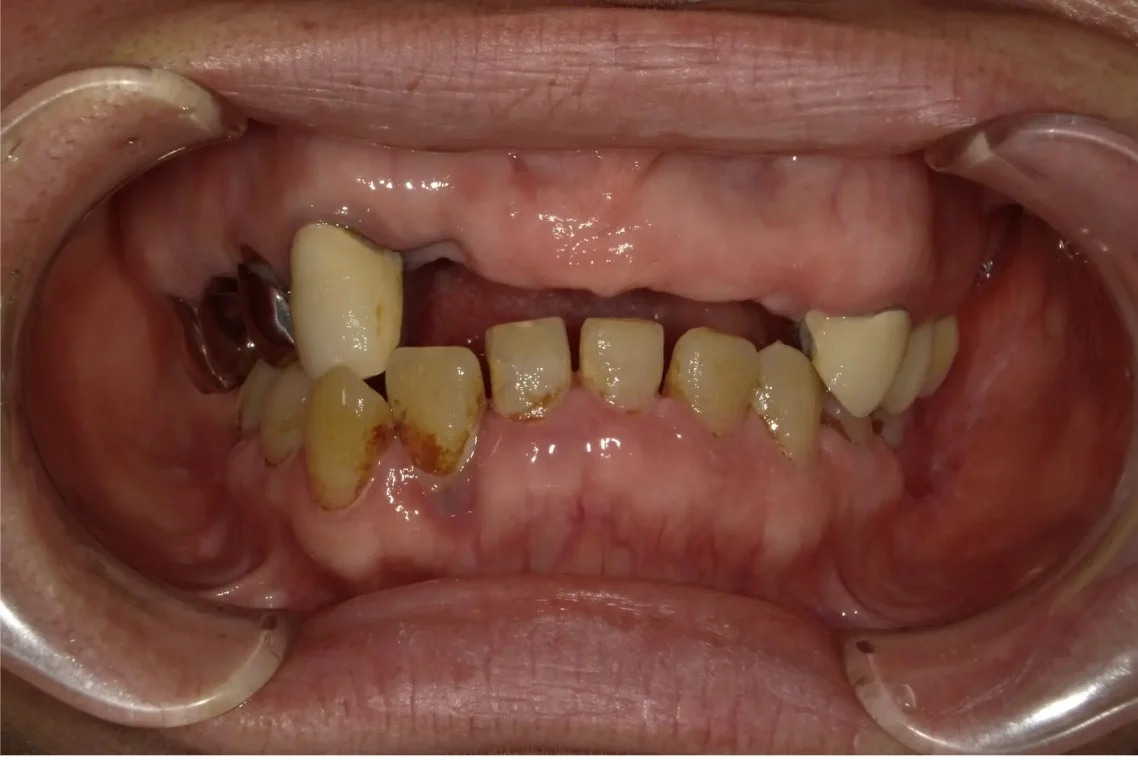
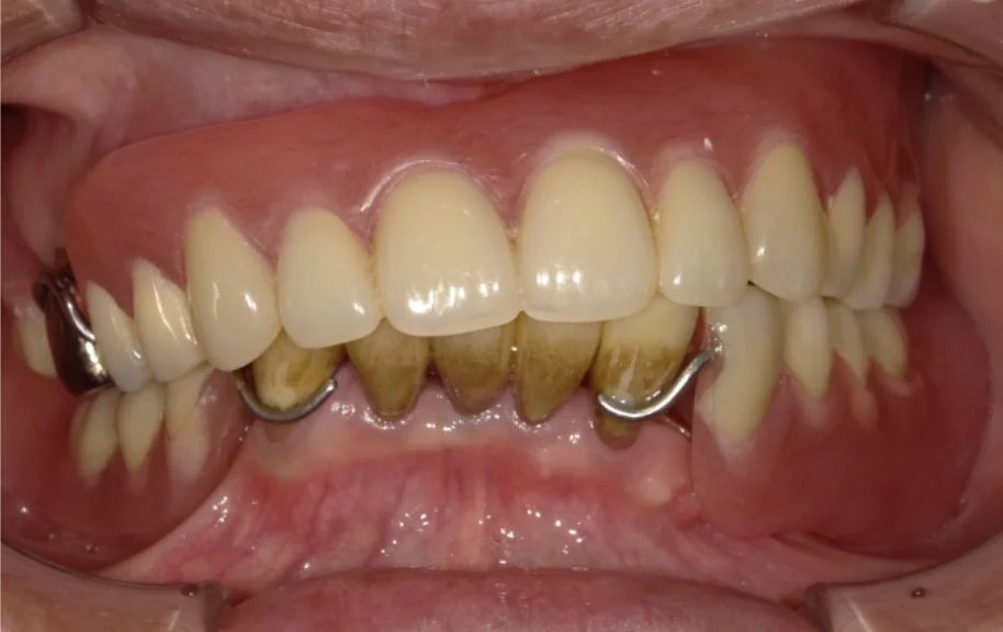
部分入れ歯にて対応した臼歯崩壊(60代男性)
3ヶ月 / 総額400,000円リスク・副作用:残存歯、義歯ともに定期的なメンテナンスが必要です。


Before
After
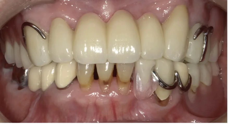
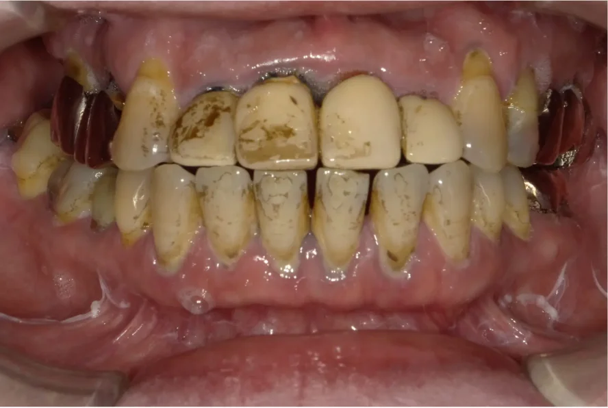
バネを使わない入れ歯、インプラントオーバーデンチャーで治療(70代女性)
総額1,300,000円リスク・副作用:・入れ歯は着脱式のため、食後の清掃が必要です。 ・使用時に粘膜に傷ができることがあります。 ・インプラントの状態を診るために定期的にレントゲン検査が必要です
対応治療・価格
オールセラミックアンレー(e-max)
料金目安(税込):約88,000円CT撮影・診断料24,200円、インレーより広範囲な虫歯に適した詰め物です。適合性が高く、見た目も美しく健康的な歯を保ちます。 ※あくまで標準的な症例の場合の目安です。 歯の状態や治療内容により、費用が異なる場合がございます。 ※検査・診断後に、治療計画と併せて正確な金額をご案内いたします。リスク・副作用:噛み合わせの状況により破折する可能性があります。治療後は定期的なメンテナンスが不可欠です。
根管治療(前歯、小臼歯、大臼歯)
料金目安(税込):約55,000円~220,000円CT撮影・診断料24,200円 顕微鏡等を用い、歯の神経の通り道を清掃する精密治療です。抜歯を避け、ご自身の歯を残すことを目指します。 ※あくまで標準的な症例の場合の目安です。 歯の状態や治療内容により、費用が異なる場合がございます。 ※検査・診断後に、治療計画と併せて正確な金額をご案内いたします。リスク・副作用:術後に痛みや腫れが出る場合や、再発の可能性があります。治療中に歯が割れるリスクも伴います。
アクセス
ナチュラルデンタルオフィス橋本
歯科医師 約4〜10名
神奈中バス 「日本板硝子前」徒歩30秒、橋本駅より徒歩25分
神奈川県相模原市緑区西橋本4-8-40
| 診療時間 | 月 | 火 | 水 | 木 | 金 | 土 | 日 | 祝 |
|---|---|---|---|---|---|---|---|---|
| 09:30-12:30 | ||||||||
| 14:00-17:00 | ||||||||
| 14:00-18:00 | ||||||||
| お盆、年末年始、研修時はお休みです。 | ||||||||















