エンドウナチュラルデンタルオフィス
歯科医師 約1〜3名
神奈川県相模原市緑区橋本3-12-6
| 診療時間 | 月 | 火 | 水 | 木 | 金 | 土 | 日 | 祝 |
|---|---|---|---|---|---|---|---|---|
| 09:30-12:30 | ||||||||
| 14:00-17:00 | ||||||||
| 14:00-18:00 | ||||||||
| 日・祝休診 、お盆・年末年始は休み、GWも休みあり | ||||||||
- 虫歯
- 歯周病
- 知覚過敏
- 根管治療
- 抜歯
- 詰め物・被せ物
家族を想うような温かい対話を。削らない・抜かない治療で地域の未来を創る歯科医院。
「地域の方の歯を守りたい」という熱い想いのもと、精密な根管治療により天然歯を最大限残します。患者様に深く寄り添うオーダーメイド治療が当院の強みです。
治療室・設備
開放感のある清潔な診察スペースで、先進設備による精密治療を行います。常に患者様の状況に目が行き届く環境で、安全かつスムーズな診療を心がけています。
内覧・外観
自然光が差し込む明るい空間は、地域の方々がリラックスできる場所。スタッフが笑顔でお迎えし、診察前の不安を和らげる温かな雰囲気づくりを大切にしています。
歯科医師・スタッフ
院長を筆頭に、地域への貢献と対話を大切にするチームです。患者様を家族のように想い、密なコミュニケーションを通じて不安を安心に変える対応を徹底します。
事例


Before
After
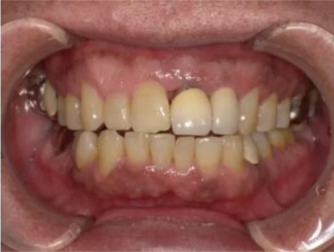
セラミック治療により見た目と歯茎の炎症を改善(40代女性)
5回 / 総額115,000円リスク・副作用:歯軋りが強い場合破損する場合がある 歯の神経が生きている場合一時的にしみることがある


Before
After
インプラント周囲炎に対応(80代女性)
2ヶ月 / 総額40,000円リスク・副作用:インプラント周囲炎はご自分の歯の歯周病と同じで、一度落ち着いてもケアを怠ると再発してしまいます。 いい状態を維持できるように、しっかりメンテナンスが必要です。


Before
After
口蓋隆起を避けた設計で金属床義歯を製作(60代男性)
約1年 / 総額350,000円リスク・副作用:・残存歯、義歯ともに定期的なメンテナンスが必要です ・義歯を清潔にご使用いただくため、毎日の義歯洗浄剤の使用を推奨します


Before
After
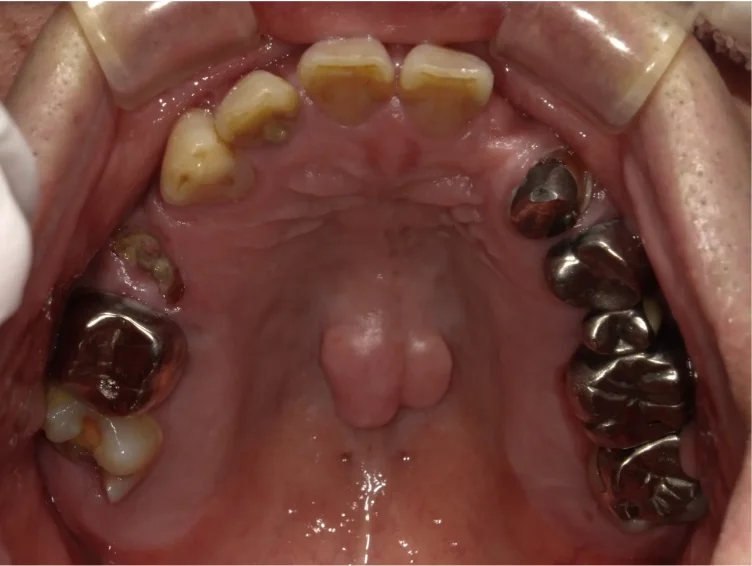
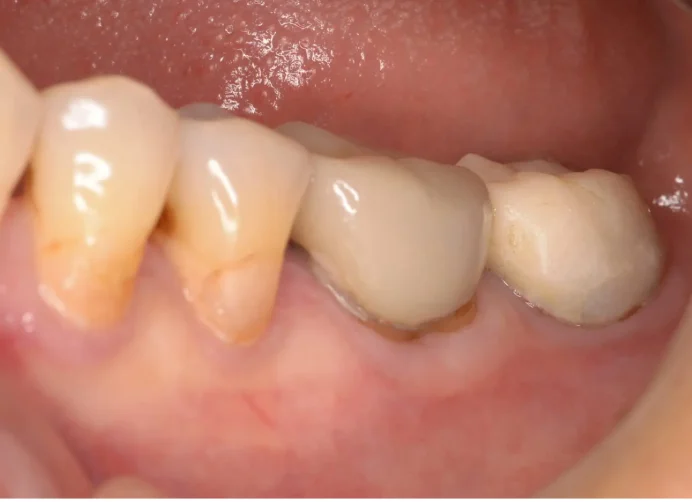
ひどい歯周病で治すのが難しい、と言われた歯に歯周組織再生療法を行い改善(70代女性)
約1年 / 総額150,000円リスク・副作用:歯周病は一度改善しても、患者さんの心身の健康状態や歯磨き状況によって再発することがあるため、定期的なメンテナンスで維持できるようにしてくことが大切です。


Before
After
むし歯をダイレクトボンディングで改善(30代女性)
1回 / 総額66,000円リスク・副作用:噛み合わせの変化で欠けたり、樹脂が水分を吸収して色が付いたりしてくるので定期的にケアを行いながら長く保たせる必要があります。


Before
After
抜歯適応の歯を部分矯正治療で保存(60代男性)
6ヶ月 / 総額157,500円リスク・副作用:治療中は装置による違和感や、食事・清掃に注意が必要です。全ての歯が適応ではなく、治療後も再破折防止のため定期的なメンテナンスが不可欠です。噛み合わせの管理としてマウスピースの装着が必要な場合もあります。


Before
After
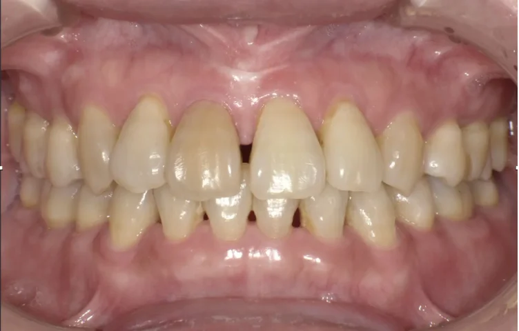
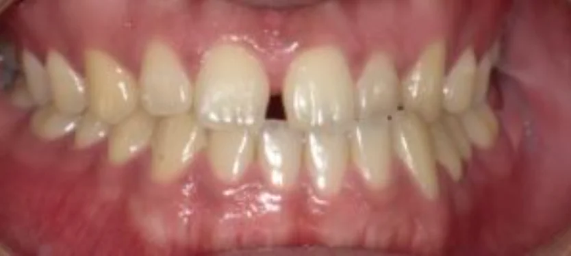
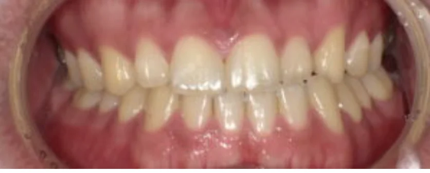
正中離開(すきっ歯)(50代女性)
即日 / 総額110,000円リスク・副作用:噛み合わせの変化や歯ぎしりで、樹脂が欠けてしまうことがあるため、ナイトガードの継続的使用と定期検診での噛み合わせの確認をしっかり行う必要があります。


Before
After
銀歯の詰め直し(e-max)(50代女性)
約1ヶ月 3回 / 総額120,000円リスク・副作用:噛み合わせや歯ぎしりが強すぎる場合、セラミックが割れてしまう可能性があります。


Before
After
前歯の隙間をダイレクトボンディングで閉じた症例(20代男性)
2回 / 総額50,000円リスク・副作用:長期的には色調に変化が出てくる可能性があります。また舌で前歯を押す癖や歯軋り、口呼吸などあったり、歯周病に罹患してしまうとまた隙間ができてしまったり、プラスチックが剥がれてしまう事がある。


Before
After
セラミック治療により冷水痛と審美障害を改善(20代男性)
2回 / 総額50,000円リスク・副作用:セラミックの硬度は天然歯と同程度なので咬む力が強い方、夜間歯ぎしりをされる癖がある方はかけたり割れたりする事がある為、それらに対しても対応していく必要がある。
対応治療・価格
コバルトクロム床義歯
料金目安(税込):総入れ歯 約605,000円土台にチタンを用いた入れ歯です。薄くて丈夫なため違和感が少なく、食べ物の温度も伝わりやすいです。 ※あくまで標準的な症例の場合の目安です。 歯の状態や治療内容により、費用が異なる場合がございます。 ※検査・診断後に、治療計画と併せて正確な金額をご案内いたします。リスク・副作用:金属アレルギー(稀)や、修理が難しい場合があります。慣れるまで発音に違和感が出ることがあります。
インプラント
料金目安(税込):約275,000円上記明細(インプラント・アバットメント275,000円、上部構造165,000円)、外科処置が必要な場合は別途、歯を失った部分の顎の骨に人工歯根を埋め込み、その上に人工歯を装着して噛む機能を回復させる治療です。 ※あくまで標準的な症例の場合の目安です。 歯の状態や治療内容により、費用が異なる場合がございます。 ※検査・診断後に、治療計画と併せて正確な金額をご案内いたします。リスク・副作用:外科手術が必要です。術後の腫れや細菌感染のリスクがあるほか、毎日の清掃と定期健診が欠かせません。
アクセス
エンドウナチュラルデンタルオフィス
歯科医師 約1〜3名
神奈川県相模原市緑区橋本3-12-6
| 診療時間 | 月 | 火 | 水 | 木 | 金 | 土 | 日 | 祝 |
|---|---|---|---|---|---|---|---|---|
| 09:30-12:30 | ||||||||
| 14:00-17:00 | ||||||||
| 14:00-18:00 | ||||||||
| 日・祝休診 、お盆・年末年始は休み、GWも休みあり | ||||||||




































