あらやしき歯科医院
歯科医師 約1〜3名
鵠沼駅東口から徒歩5分、湘南海岸公園駅から徒歩3分
神奈川県藤沢市片瀬5-5-3
| 診療時間 | 月 | 火 | 水 | 木 | 金 | 土 | 日 | 祝 |
|---|---|---|---|---|---|---|---|---|
| 09:00-12:00 | ||||||||
| 14:30-18:30 | ||||||||
| GW、お盆、年末年始はお休みです。 | ||||||||
- 義歯/入れ歯
- 噛み合わせ
- 全体矯正
- ホワイトニング
- 顎関節症
- 高齢者歯科治療
その場しのぎではない本質の治療を。一生の不安を安心に変える、噛み合わせの専門医。
「人生が一転した」との声も。単なる対症療法ではなく、姿勢や全身のバランスを考慮した精密な噛み合わせ治療で、食事の楽しみと健康な日々を取り戻します。
治療室・設備
常に清潔な個室で本質を貫く設備を整え、丁寧な処置を徹底。周囲を気にせず安心して相談でき、心身ともにリラックスして治療を受けられる環境です。
内覧・外観
受付の丁寧な対応で、来院時の不安を安心へ。リラックスできる落ち着いた空間作りを大切にしており、初めての方も心穏やかにお過ごしいただけます。
歯科医師・スタッフ
柔らかな雰囲気と、不安に寄り添う丁寧な説明を心かげています。 将来を見据えた最善の計画を誠実に提案し、患者様と歩む姿勢を大切にします。
事例


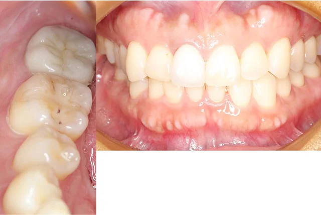
Before
After
調整・形態修正、歯冠長延長術
約4か月 / 約25万円リスク・副作用:調整により噛み合わせのバランスが変化し、一時的な違和感や痛みが生じる場合があります。


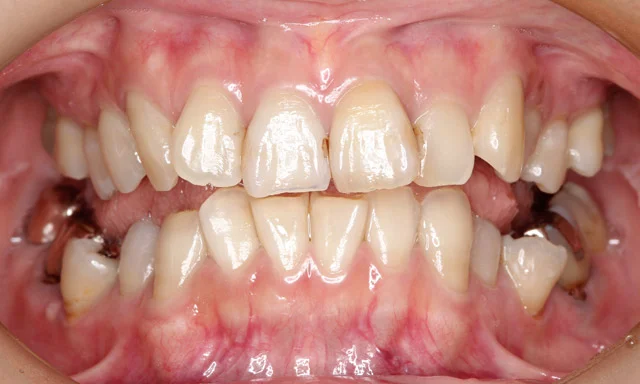
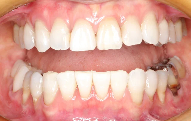
Before
After
矯正によるかみ合わせ治療
3年(矯正期間はそのうちの約2年) / ※詳細は診断の上、算出をいたします。リスク・副作用:歯根吸収や歯肉退縮、治療中の痛み、装置による口腔内の傷や虫歯のリスクがあります。


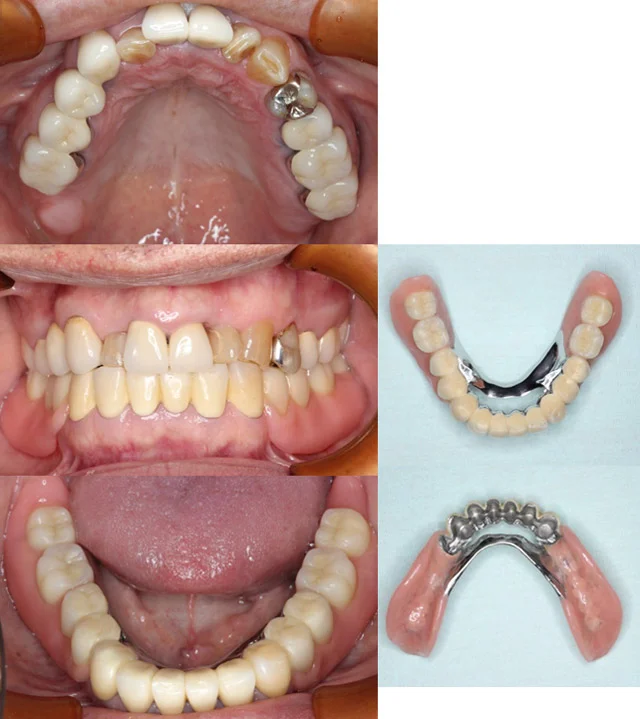
Before
After
入れ歯
約7か月 / 約250万円
対応治療・価格
初回相談無料
料金目安(税込):初回無料噛み合わせの疑問や相談はお気軽にご連絡ください。 歯科治療においては、患者さま一人ひとりの噛み合わせを計算することが非常に重要です。丁寧にご説明させていただきます。 ※検査・診断後に、治療計画と併せて正確な金額をご案内いたします。噛み合わせ検査〜治療計画
料金目安(税込):77,000円【説明】 流れ ①しっかり向き合い寄り添うカウンセリング ②お口の中をみる一般検査 ③かみ合わせのすべてがわかる細かい検査 ④最高で最適な治療計画 患者さまのかみ合わせの問題点から目指すべきゴールまで、わかりやすくご説明します。
アクセス
あらやしき歯科医院
歯科医師 約1〜3名
鵠沼駅東口から徒歩5分、湘南海岸公園駅から徒歩3分
神奈川県藤沢市片瀬5-5-3
| 診療時間 | 月 | 火 | 水 | 木 | 金 | 土 | 日 | 祝 |
|---|---|---|---|---|---|---|---|---|
| 09:00-12:00 | ||||||||
| 14:30-18:30 | ||||||||
| GW、お盆、年末年始はお休みです。 | ||||||||
























