のへじ矯正小児歯科
歯科医師 約4〜10名
青い森鉄道 野辺地駅から徒歩9分
青森県上北郡野辺地町字鳴沢36-1
| 診療時間 | 月 | 火 | 水 | 木 | 金 | 土 | 日 | 祝 |
|---|---|---|---|---|---|---|---|---|
| 09:00-13:00 | ||||||||
| 14:30-18:00 | ||||||||
| GW、お盆、年末年始はお休みです。 | ||||||||
- 虫歯
- 歯周病
- 知覚過敏
- 根管治療
- 抜歯
- 詰め物・被せ物
お子様から大人の矯正まで、歯並びの育成をご家族で通える歯科医院
小児の口腔育成から、成人のインビザラインやワイヤー矯正まで対応。専門医による質の高い矯正治療をご提供します。
治療室・設備
CTや3Dスキャナーを完備し、お子様から成人まで、安全で質の高い精密な矯正治療を行います。
内覧・外観
お子様から大人までリラックスできる温かい雰囲気。ご家族皆様が安心して治療を受けられる空間です。
歯科医師・スタッフ
すべての世代の患者様に寄り添い、不安を解消しながら治療を進めるていきます。 子どもの口腔機能の発達をサポートする専門家も在籍。
事例


Before
After
ワイヤー矯正
1年10ヶ月、23回 / 総額984,500円リスク・副作用:調整直後の違和感や清掃への配慮が必要ですが、抜歯を避けつつ医師と協力して理想の歯並びを目指せます。


Before
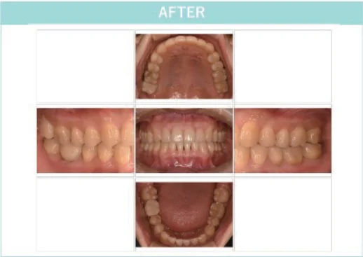
After
マウスピース矯正
1年6ヶ月、21回 / 総額804,100円リスク・副作用:決められた装着時間を守る必要がありますが、痛みや違和感が少なく、衛生的に歯周病リスクも管理できます。
対応治療・価格
ホームホワイトニング(キット)
料金目安(税込):33,000円(税込)在宅で薬剤を塗布したマウストレイを装着し、表面を削ることなく持続的に歯を白くするホワイトニングです 。歯科医院で専用のマウスピースを作製し、毎日2時間ほど装着することで2週間ほどで白さを実感できます 。リスク・副作用:オフィスホワイトニングに比べて濃度の低い薬剤を使用するため、効果を実感するまでに時間がかかります。
インプラント
料金目安(税込):咬合診断+(CT撮影込み):60,500円(税込) ケンテックインプラントベーシック:330,000円(税込) +1 バイコンインプラントベーシック:473,000円(税込) 内容:CT撮影料金+サージカルステント、OAMインプラント法、フィクスチャー埋入、ジンジバルカフ、アバットメント(土台)、仮歯(TEC)、上部構造まで含む ※上部構造はオールセラミックとなります。 ※仮歯(TeC)が破損した場合、再製作料として:6,050円(税込)/本 ※メンテナンス(3ヶ月に一度):5,500円(税込)/30分につき ※インプラント10年保証(任意加入):24,926円/1本あたり人工歯根を顎の骨に埋め込み、人工の歯を固定する治療です。ベーシックプランには、CT撮影からインプラント体、土台、オールセラミックの被せ物まで含まれます。骨が不足する場合は、ソケットリフトなどの追加手術が必要です 。リスク・副作用:術後に痛みや腫れ、内出血を伴うことがあります。






