山内歯科多治見おとなこども矯正
歯科医師 約4〜10名
多治見駅より徒歩10分
岐阜県多治見市弁天町2-29
| 診療時間 | 月 | 火 | 水 | 木 | 金 | 土 | 日 | 祝 |
|---|---|---|---|---|---|---|---|---|
| 09:00-12:30 | ||||||||
| 14:00-17:30 | ||||||||
| 14:00-18:30 | ||||||||
| 休診日:木・日・祝日(祝日がある週の木曜日は診療)。最終受付は診療終了30分前。 GW、お盆、年末年始はお休み | ||||||||
- 虫歯
- 歯周病
- 知覚過敏
- 根管治療
- 抜歯
- 詰め物・被せ物
徹底した診断で根本治療を実現。予防と計画的な治療で、全世代の健康な歯を守ります。
精密な検査に基づき、お一人おひとりに最適な予防法と治療計画をご提案。徹底したカウンセリングで、納得・安心の根本治療を幅広い世代へ提供します。
治療室・設備
プライバシーを守る完全個室を完備。徹底した検査に基づく精密な根本治療を、周囲を気にせずリラックスした清潔な環境で安心して受けられます。
内覧・外観
全世代が気兼ねなく通えるよう、バリアフリーで開放的な空間を。治療前の不安を和らげるカウンセリング体制を整え、お名前を呼ぶまで快適に過ごせます。
歯科医師・スタッフ
丁寧なカウンセリングを大切にし、皆様のお悩みに寄り添います。お子様からシニア世代まで、誰もが気兼ねなく相談できる温かい対応を徹底しています。
事例


Before
After
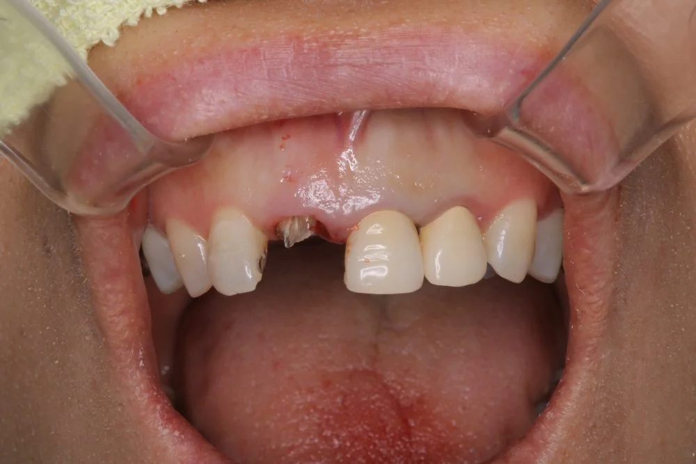
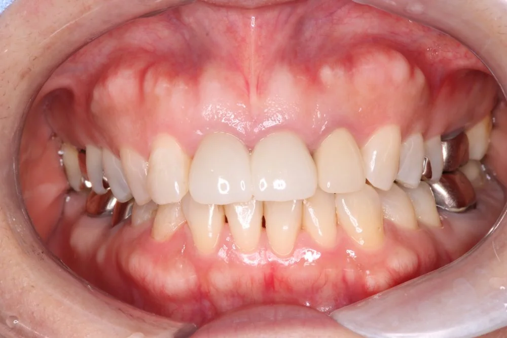
折れた前歯を矯正で、抜歯から救う
4ヶ月 12回 / 総額110,000円リスク・副作用:疼痛、咬合痛、冷水痛、外科処置を伴う場合は腫脹や出血などを生じる事があります。


Before
After
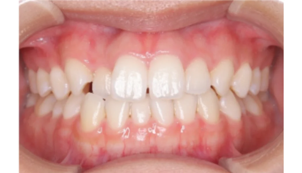
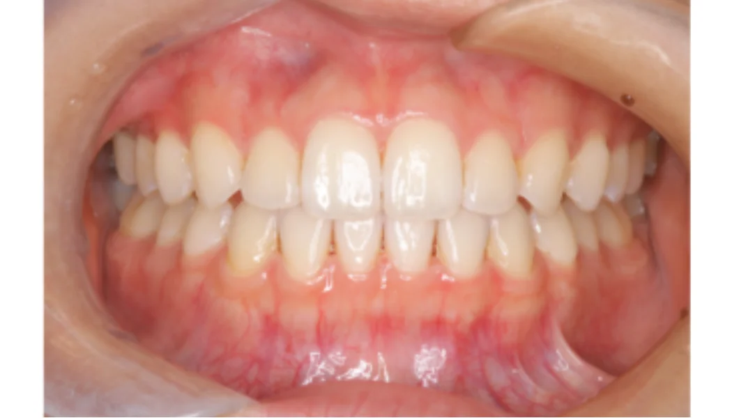
インビザラインGOで”素敵な笑顔”になった女性
総額0円

Before
After
事故で折れた前歯を「セラミック」で治しました
3ヶ月 6回 / 総額165,000円リスク・副作用:疼痛、咬合痛、冷水痛、外科処置を伴う場合は腫脹や出血などを生じる事があります。


Before
After
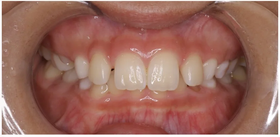
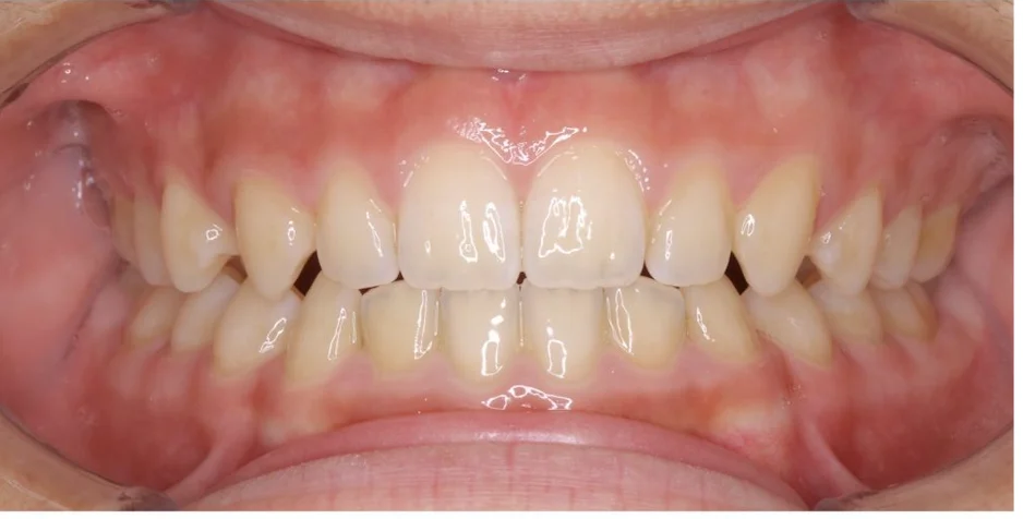
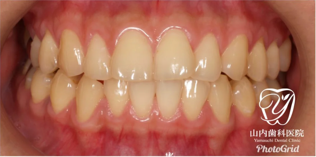
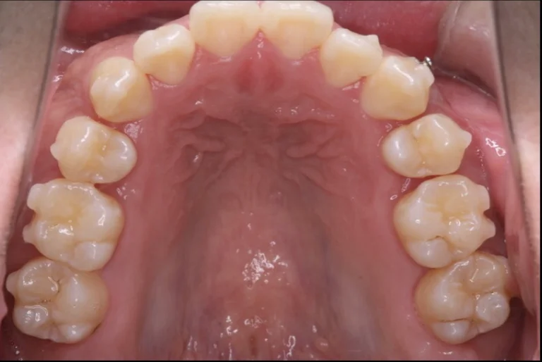
内側に重なった前歯のインビザライン矯正
12ヵ月 12回 / 総額670,000円リスク・副作用:疼痛、咬合痛、冷水痛、外科処置を伴う場合は腫脹や出血などを生じる事があります。


Before
After
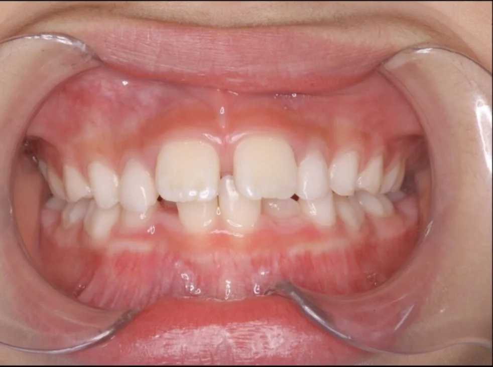
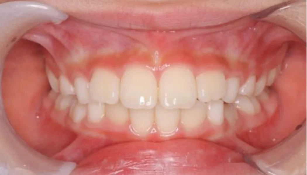
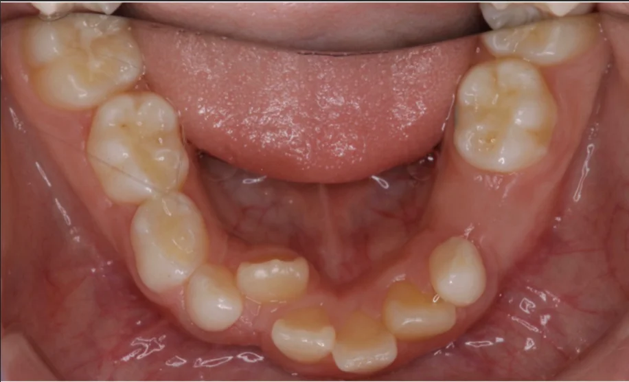
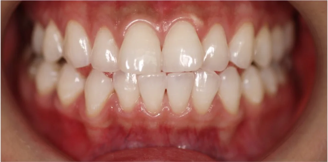
前歯のすきっ歯を小児矯正
18ヶ月 18回 / 総額66,000円リスク・副作用:疼痛、咬合痛、冷水痛、外科処置を伴う場合は腫脹や出血などを生じる事があります。


Before
After
「マウスピース矯正」で子供の低位舌を治療
12ヶ月 12回 / 総額55,000円リスク・副作用:疼痛、咬合痛、冷水痛、外科処置を伴う場合は腫脹や出血などを生じる事があります。


Before
After
7歳の男の子 マウスピース矯正
1年6ヵ月 18回 / 総額55,000円リスク・副作用:毎日就寝時と日中1時間の使用が必要です。


Before
After
入れ歯をインプラントで、再び噛めるように!
6ヶ月 10回 / 総額770,000円リスク・副作用:疼痛、咬合痛、冷水痛、外科処置を伴う場合は腫脹や出血などを生じる事があります。


Before
After
歯を白く!!ホワイトニング♪
1ヶ月 2回 / 総額11,000円リスク・副作用:知覚過敏(歯がしみる症状)が起こる場合があります。効果には個人差があり、飲食習慣により色戻りします。


Before
After
インビザライン+抜歯治療
15ヶ月 15回 / 総額737,000円リスク・副作用:疼痛、咬合痛、冷水痛、外科処置を伴う場合は腫脹や出血などを生じる事があります。
対応治療・価格
All on 4
料金目安(税込):約2,530,000~3,300,000円無歯顎の場合で使用します。4本のインプラントを使い全歯を固定します。 ※あくまで標準的な症例の場合の目安です。 歯の状態や治療内容により、費用が異なる場合がございます。 ※検査・診断後に、治療計画と併せて正確な金額をご案内いたします。リスク・副作用:外科手術を伴い、持病により適応外の場合があります。清掃性が低下しやすいため、徹底した定期検診が必須です。
オールセラミッククラウン(前歯被せ物)
料金目安(税込):約165,000円オールセラミッククラウン 明るく透明感のある自然歯に近い色調のオールセラミックの被せ物です。金属を使用していないので、金属による歯肉の変色がありません。 ※あくまで標準的な症例の場合の目安です。 歯の状態や治療内容により、費用が異なる場合がございます。 ※検査・診断後に、治療計画と併せて正確な金額をご案内いたします。リスク・副作用:強い力(歯ぎしり等)により欠ける場合があります。周囲の天然歯との色調調整に限界があることがあります。
アクセス
山内歯科多治見おとなこども矯正
歯科医師 約4〜10名
多治見駅より徒歩10分
岐阜県多治見市弁天町2-29
| 診療時間 | 月 | 火 | 水 | 木 | 金 | 土 | 日 | 祝 |
|---|---|---|---|---|---|---|---|---|
| 09:00-12:30 | ||||||||
| 14:00-17:30 | ||||||||
| 14:00-18:30 | ||||||||
| 休診日:木・日・祝日(祝日がある週の木曜日は診療)。最終受付は診療終了30分前。 GW、お盆、年末年始はお休み | ||||||||
































