MI総合歯科クリニック
歯科医師 約1〜3名
東海道本線 三島駅より徒歩10分、下土狩駅より徒歩13分、駐車場10台分完備※駐輪場もあり
静岡県駿東郡長泉町下土狩181-4
| 診療時間 | 月 | 火 | 水 | 木 | 金 | 土 | 日 | 祝 |
|---|---|---|---|---|---|---|---|---|
| 09:00-13:00 | ||||||||
| 14:00-17:30 | ||||||||
| 14:00-18:00 | ||||||||
| 14:30-18:00 | ||||||||
| 休診日:日曜・祝日 | ||||||||
- 虫歯
- 歯周病
- 知覚過敏
- 根管治療
- 抜歯
- 詰め物・被せ物
できるだけ削らない・抜かない。一生自分の歯で笑うための「守る」歯科治療を。
生まれ持った歯で生涯過ごせるよう、QOLの維持・向上を追求。マイナス1歳から家族全員の健康を支える、地域に根ざした信頼のパートナーです。
治療室・設備
クラスB規格の滅菌器や洗浄機を完備した、世界基準の衛生環境です。プライバシーに配慮した完全個室の診療室で、リラックスして精密な治療を受けられます。
内覧・外観
清潔感あふれる温かな空間で、待ち時間もリラックス。バリアフリーやキッズスペースも完備し、ご家族皆さまが心地よく過ごせる環境を整えています。
歯科医師・スタッフ
日本口腔インプラント学会指導医の院長を筆頭に、プロの歯科衛生士が在籍。ホスピタリティ精神を大切に、温かい対応と確かな技術で患者様をお迎えします。
事例


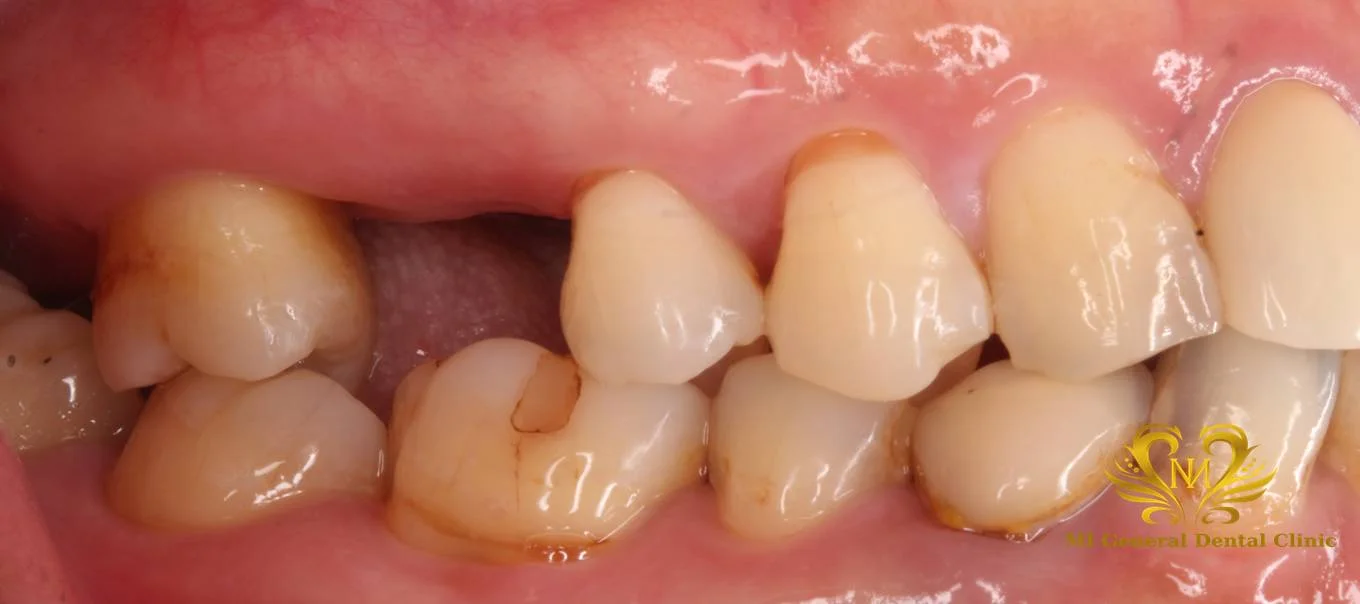
Before
After
右上奥歯のインプラント治療
7ヵ月、7回 / 総額50万円+税リスク・副作用:外科手術に伴う感染等のリスクや、装着後のインプラント周囲炎を防ぐための継続的なメンテナンスも不可欠です。


Before
After
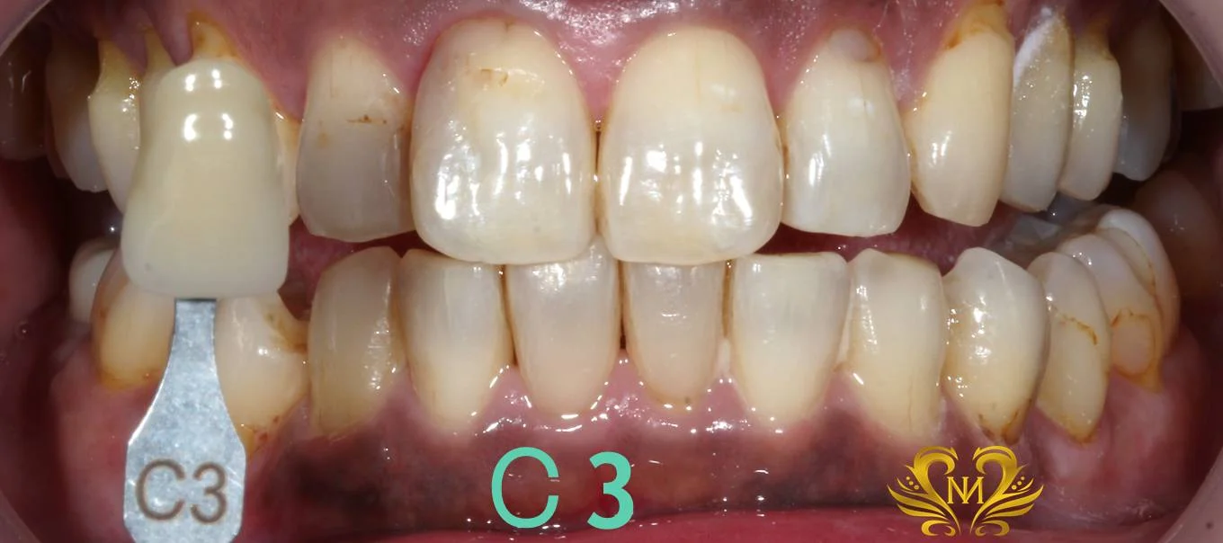
ホワイトニング3ヵ月コース
3ヵ月、オフィスホワイトニング6回+ホームホワイトニング / 総額144.400円+税リスク・副作用:一時的な知覚過敏や歯肉の刺激が生じる場合があり、効果にも個人差があります。効果は永久ではなく時間の経過とともに色戻りします。また、詰め物などの人工歯は白くできない点に注意が必要です。


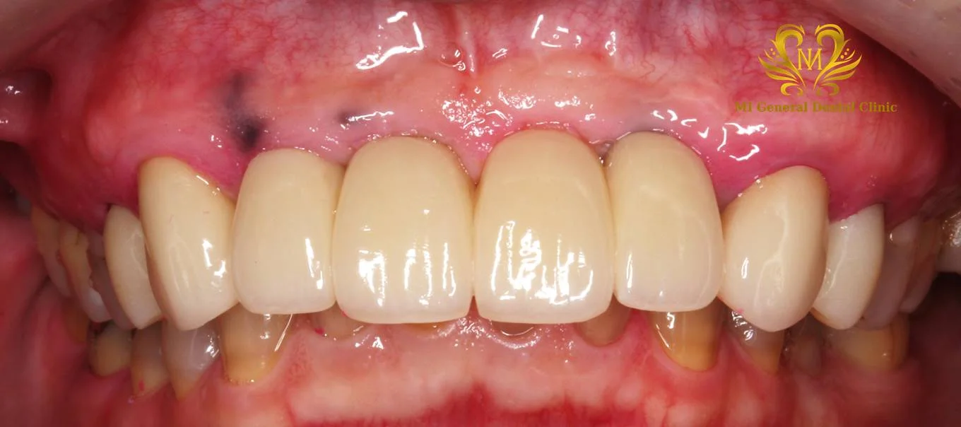
Before
After
上顎前歯部のインプラント治療
2年、11回 / 総額44万円+税リスク・副作用:外科手術に伴う感染等のリスクや、装着後のインプラント周囲炎を防ぐための継続的なメンテナンスも不可欠です。


Before
After
ホームホワイトニング2週間後オフィスホワイトニング1回
2週間、2回(カウンセリング1回+施術1回) / 金額 ホーム29.000円+税 オフィス1回14.000+税リスク・副作用:一時的な知覚過敏や歯肉の刺激が生じる場合があり、効果にも個人差があります。効果は永久ではなく時間の経過とともに色戻りします。また、詰め物などの人工歯は白くできない点に注意が必要です。


Before
After
右上奥歯のインプラント治療
1年、12回 / 総額95万円+税リスク・副作用:外科手術に伴う感染等のリスクや、装着後のインプラント周囲炎を防ぐための継続的なメンテナンスも不可欠です。
対応治療・価格
インプラント
料金目安(税込):CT、パノラマ検査費(※外部持ち出しの場合は22,000円):11,000円 、インプラント体(手術費、投薬込み) 1本:308,000円 、上部構造(オールセラミックスクラウン、オールジルコニアクラウン):110,000円欠損部に人工歯根を埋め込み、セラミック等の被せ物で歯の機能を再建します。 骨造成(サイナスリフト、ソケットリフト、GBR):110,000円 仮歯 1本:11,000円 追加の投薬:5,500円 磁性アタッチメント(1個):110,000円 マグネットデンチャー(磁性アタッチメント2個まで):385,000円 インプラント定期検診:5,500円 2回目以降のカウンセリング・セカンドオピニオン30分 :5,500円 ※記載の価格は、全て税込となります。リスク・副作用:外科手術を伴うため、術後の腫れや出血の可能性、神経損傷のリスク、インプラント周囲炎の恐れがあります。(分割でのお支払いも可能です)
矯正/乳歯列期までの治療/0期治療
料金目安(税込):精密検査料 :33,000円、基本料:約110,000円、調整料:3,300円/回(税込)乳歯列期に行う早期治療。顎の健やかな成長を促し、将来の歯並びが悪くなる原因を根本から改善します。リスク・副作用:装置の装着による不快感や痛み、一時的な発音のしにくさ、適切な装着時間を守らないと効果が出ない点です。 (分割でのお支払いも可能です)
アクセス
MI総合歯科クリニック
歯科医師 約1〜3名
東海道本線 三島駅より徒歩10分、下土狩駅より徒歩13分、駐車場10台分完備※駐輪場もあり
静岡県駿東郡長泉町下土狩181-4
| 診療時間 | 月 | 火 | 水 | 木 | 金 | 土 | 日 | 祝 |
|---|---|---|---|---|---|---|---|---|
| 09:00-13:00 | ||||||||
| 14:00-17:30 | ||||||||
| 14:00-18:00 | ||||||||
| 14:30-18:00 | ||||||||
| 休診日:日曜・祝日 | ||||||||



















