名駅ナディア歯科
歯科医師 約4〜10名
名古屋駅地下から直結のスパイラルタワーズ内。徒歩1分程度。
愛知県名古屋市中村区名駅4-27-1 モード学園スパイラルタワーズB2階
| 診療時間 | 月 | 火 | 水 | 木 | 金 | 土 | 日 | 祝 |
|---|---|---|---|---|---|---|---|---|
| 10:00-13:00 | ||||||||
| 14:00-17:00 | ||||||||
| 14:00-18:00 | ||||||||
| 木・日・祝:休診 | ||||||||
- 虫歯
- 歯周病
- 知覚過敏
- 根管治療
- 抜歯
- 詰め物・被せ物
大学病院と同レベルの総合歯科体制。各分野の専門医が連携し、質の高い治療を追求。
名古屋駅徒歩1分。精密根管治療やインプラント、矯正など、各分野のスペシャリストによる高度な連携で、生涯健康なお口と輝く笑顔を叶えます。
治療室・設備
個室診療室や仕切りのある診察台を完備。CTやマイクロスコープ、クラスB滅菌器等の先端設備で、精密かつ安全な治療をプライバシーを守り提供します。
内覧・外観
名古屋駅直結のスパイラルタワーズ内に位置する、落ち着いた上質な空間。通院の負担を軽減する利便性と、リラックスできる環境づくりを大切にしています。
歯科医師・スタッフ
世界基準の研鑽を積む理事長をはじめ、女性歯科医師や常勤技工士も在籍。患者様の立場に立ち、温かな接遇と納得のいく説明で安心をお届けします。
事例


Before
After
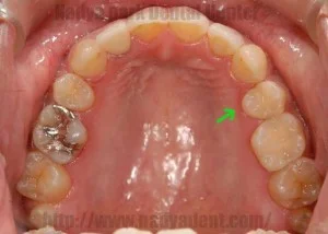
割れてしまった奥歯を抜歯し、インプラントで噛み合わせを回復した事例
治療回数:抜歯後より7~8回 (期間:抜歯後4~6ヶ月の骨治癒、埋入後の免荷期間を経て上部構造装着。その後6年間のメインテナンス継続中) / ¥740,000~(税抜き/インプラント治療一式)リスク・副作用:外科手術による腫れや痛み、内出血の可能性。術後の清掃不良によるインプラント周囲炎や脱落のリスク。


Before
After
歯が溶けてしまった箇所への、デジタル精密シミュレーションを用いたインプラント治療
埋入後、数ヶ月の骨結合期間を経て仮歯による機能診査を行い、最終的な上部構造を装着 / ¥740,000(税別) (内訳:埋入・諸費用込¥370,000、仮歯¥45,000、上部構造¥325,000)リスク・副作用:外科手術に伴う痛み、腫れ、出血の可能性。インプラント周囲炎の予防には定期的なメインテナンスが不可欠。


Before
After
割れた歯を抜き、自分の「親知らず」を移植して修復した事例
6回 / 231,000円(税込) (内訳:歯牙移植自体は保険適用。自費診療分として、土台 27,500円、型どり 16,500円、ジルコニア被せ物 187,000円)リスク・副作用:移植後の歯が骨と結合しない可能性や、将来的な歯根吸収のリスク。術後の腫れや痛み、定期的な管理が必須。


Before
After
歯の裏側の矯正と、薄いセラミック(ラミネートベニア)による前歯の総合美化
約2年半(矯正期間)、矯正20回程度(月1回来院)+ホワイトニング2回+型採り・セット各1回 / 1,525,000円(税別) (内訳:舌側矯正 130万円、ホームホワイトニング 4万円、ラミネートベニア型採り 1.5万円、セット 17万円)リスク・副作用:矯正中の痛みや装置への違和感、発音への影響。ラミネートベニア装着のための微細な削合、脱離や破損の可能性。


Before
After
上は裏側・下は表側の「ハーフリンガル矯正」とセラミックによる歯並び改善
3年(矯正開始から終了まで) / 約850,000円リスク・副作用:リテーナーを適切に使用しないと後戻りする可能性がある。ラミネートベニアは過度の衝撃で割れることがある。


Before
After
古い金属の詰め物をすべて除去し、セラミック等の白い材料でやりかえた事例
噛み合わせの調整後、金属除去、型採り、装着のステップで実施 / セラミック1本 ¥80,000~(税別) + 型取り ¥3,000(税別) (※本症例では右下6・左下6にセラミック、右下7・左下7に保険内CR、その他小金属に保険内修復を適用)リスク・副作用:治療後に一時的なしみや違和感が生じる可能性。過度な衝撃による破損や、経年劣化による変色・脱離のリスク。


Before
After
外れてしまった銀歯を、即日で白いプラスチック(レジン)で修復した事例
1回(即日で治療完了) / 保険適用リスク・副作用:材料の劣化による変色や摩耗、脱離の可能性。強い力がかかる部位では割れることがある。定期管理が必要。


Before
After
矯正治療とセラミックを組み合わせた、前歯の突出(出っ歯)と変色の総合的な改善事例
約900,000円(※矯正治療および前歯4本の審美治療を含む総額)リスク・副作用:矯正後に後戻りする可能性があるため、リテーナーの使用が必要です。被せ物や貼り付けたセラミックは、過度の衝撃で割れることがあります。


Before
After
リンガル(裏側)矯正とオールセラミック冠による、歯並びおよび既存の不自然な被せ物の改善事例
2年5ヶ月(矯正期間)その後、 ホワイトニング、オールセラミックの被せ物作成、および治療後3年以上の経過観察を実施。 / 約1,000,000円 (※裏側矯正、ホワイトニング、オールセラミック治療を含む総額)リスク・副作用:矯正後はリテーナー(保定装置)を使用しないと後戻りすることがあります。セラミックは、ぶつけたり無理な力がかかったりすると割れることがあります。


Before
After
深い虫歯でも神経を抜かずに保存する「バイタルパルプセラピー」の事例
治療1回 + 経過観察2~3回 / 50,000円(税別)リスク・副作用:処置後、一時的に痛みやしみる症状が出ることがあります。神経の状態によっては、後に神経をすべて抜く処置が必要になる可能性があります。
対応治療・価格
インプラント治療
料金目安(税込):丁寧にお話を聞き計画を立ててから料金をご案内します欠損部に人工歯根を埋め込み、天然歯に近い噛み心地と見た目を回復する高度な外科治療です。リスク・副作用:外科手術を伴うため、術後の腫れや痛み、細菌感染による周囲炎が起こる可能性があります。
ブルーラジカル(重度歯周病治療)
料金目安(税込):丁寧にお話を聞き計画を立ててから料金をご案内しますラジカル殺菌により、従来の治療では困難だった重度歯周病菌を効率的に除去する最新の治療法です。リスク・副作用:歯肉の状態により適応できない場合があり、術後に一時的な痛みを感じることがあります。
アクセス
名駅ナディア歯科
歯科医師 約4〜10名
名古屋駅地下から直結のスパイラルタワーズ内。徒歩1分程度。
愛知県名古屋市中村区名駅4-27-1 モード学園スパイラルタワーズB2階
| 診療時間 | 月 | 火 | 水 | 木 | 金 | 土 | 日 | 祝 |
|---|---|---|---|---|---|---|---|---|
| 10:00-13:00 | ||||||||
| 14:00-17:00 | ||||||||
| 14:00-18:00 | ||||||||
| 木・日・祝:休診 | ||||||||







