医療法人山羽歯科医院 とうかえでの道デンタルクリニック
歯科医師 約1〜3名
京阪本線樟葉駅より車で10分
大阪府枚方市西招提町1243 2F
| 診療時間 | 月 | 火 | 水 | 木 | 金 | 土 | 日 | 祝 |
|---|---|---|---|---|---|---|---|---|
| 09:00-12:00 | ||||||||
| 09:00-12:30 | ||||||||
| 13:30-18:00 | ||||||||
| GW・お盆・年末年始はお休み | ||||||||
- 虫歯
- 歯周病
- 知覚過敏
- 根管治療
- 抜歯
- 詰め物・被せ物
専門医と最先端技術による充実医療。地域密着80年の信頼と実績の歯科医院
「治療する」から「守り育てる」へ。 ずっとご自身の歯で美味しく食べられるよう、専門知識と温かい心で美しく健康な歯をサポートします。
治療室・設備
痛みが苦手な方もご安心ください。完全個室の落ち着いた空間で、デジタル技術を駆使した精密かつ、負担の少ない治療をお届けします。
内覧・外観
緊張を和らげる、ゆったりとした上質な待合空間。個別の椅子で、ご自宅のようにくつろいでいただけるよう、温かな雰囲気づくりを心がけています。
歯科医師・スタッフ
不安やお悩みを一緒に解決できるよう、温かいおもてなしでサポートいたします。治療するだけではなく、患者様の笑顔を「守る歯医者」として生涯にわたる健康をサポートします。
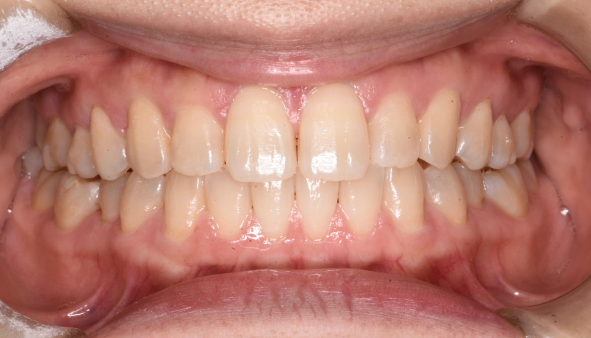
事例


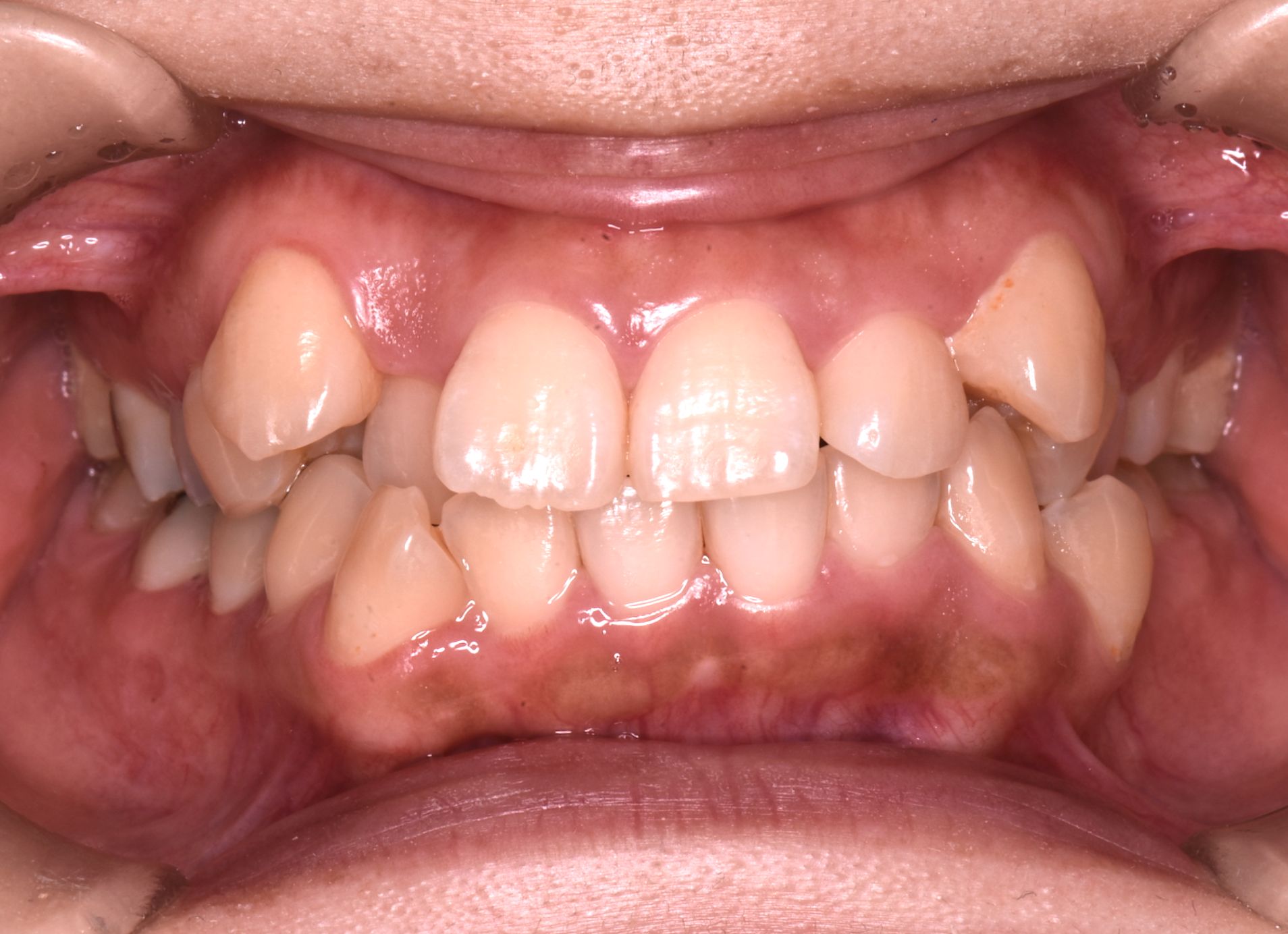
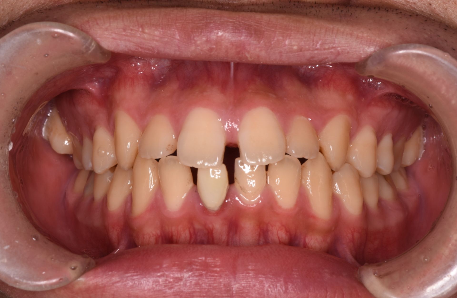
Before
After
マウスピース矯正全顎+ホワイトニング
11ヶ月、52回 / 総額935,000円リスク・副作用:歯の痛みや圧迫感、アレルギー、治療期間の延長、歯根吸収、後戻り、知覚過敏などのリスクがあります。


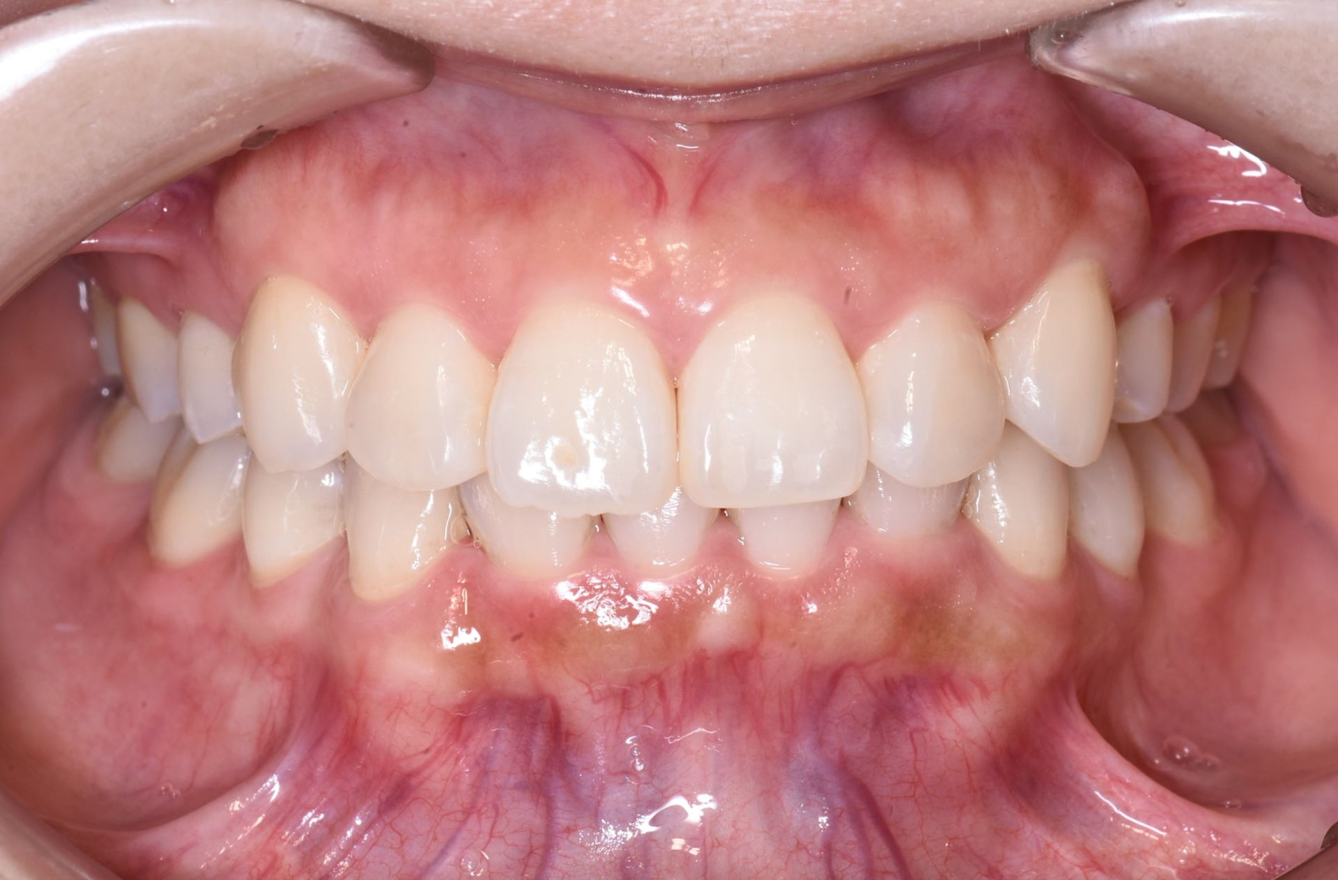
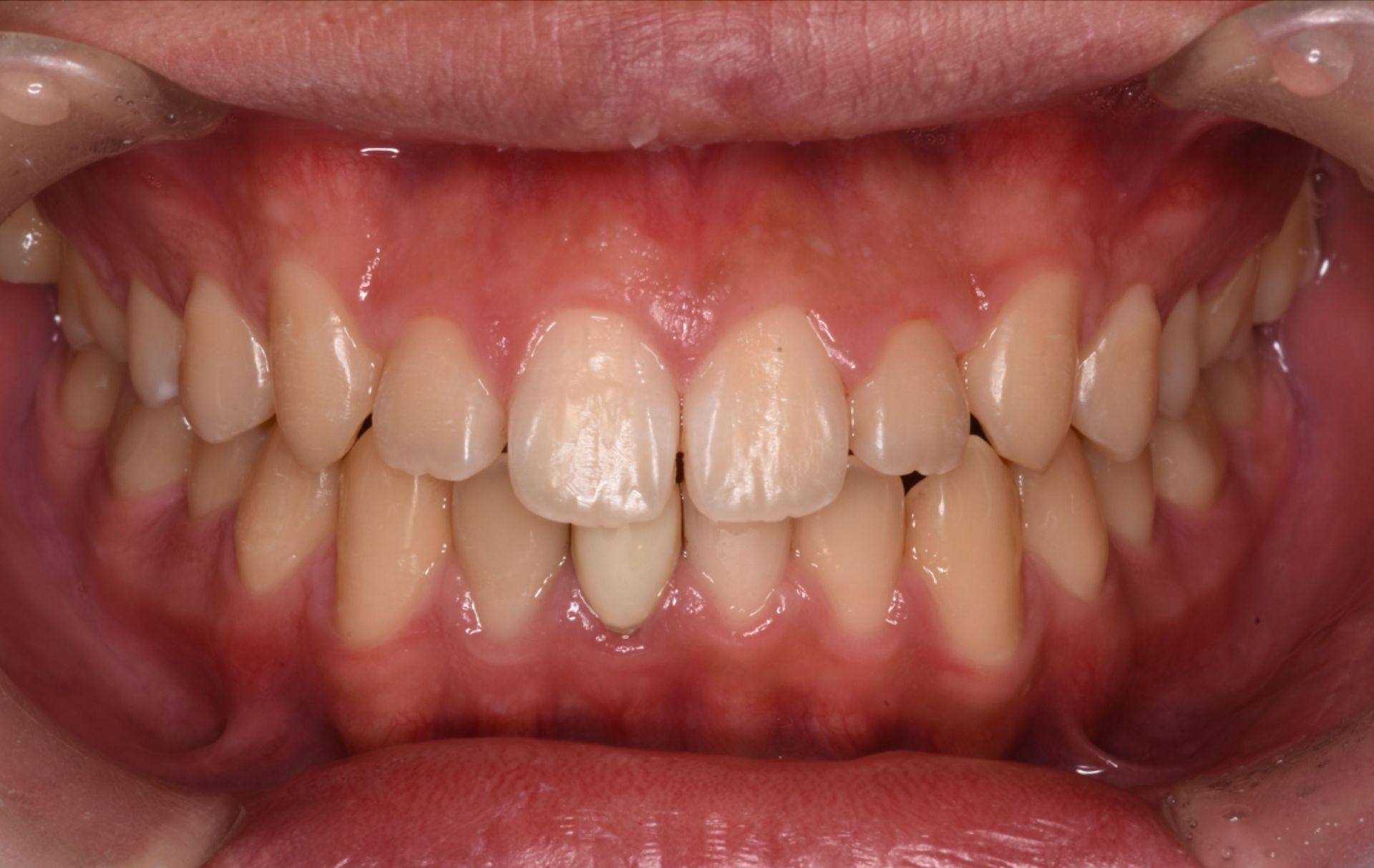
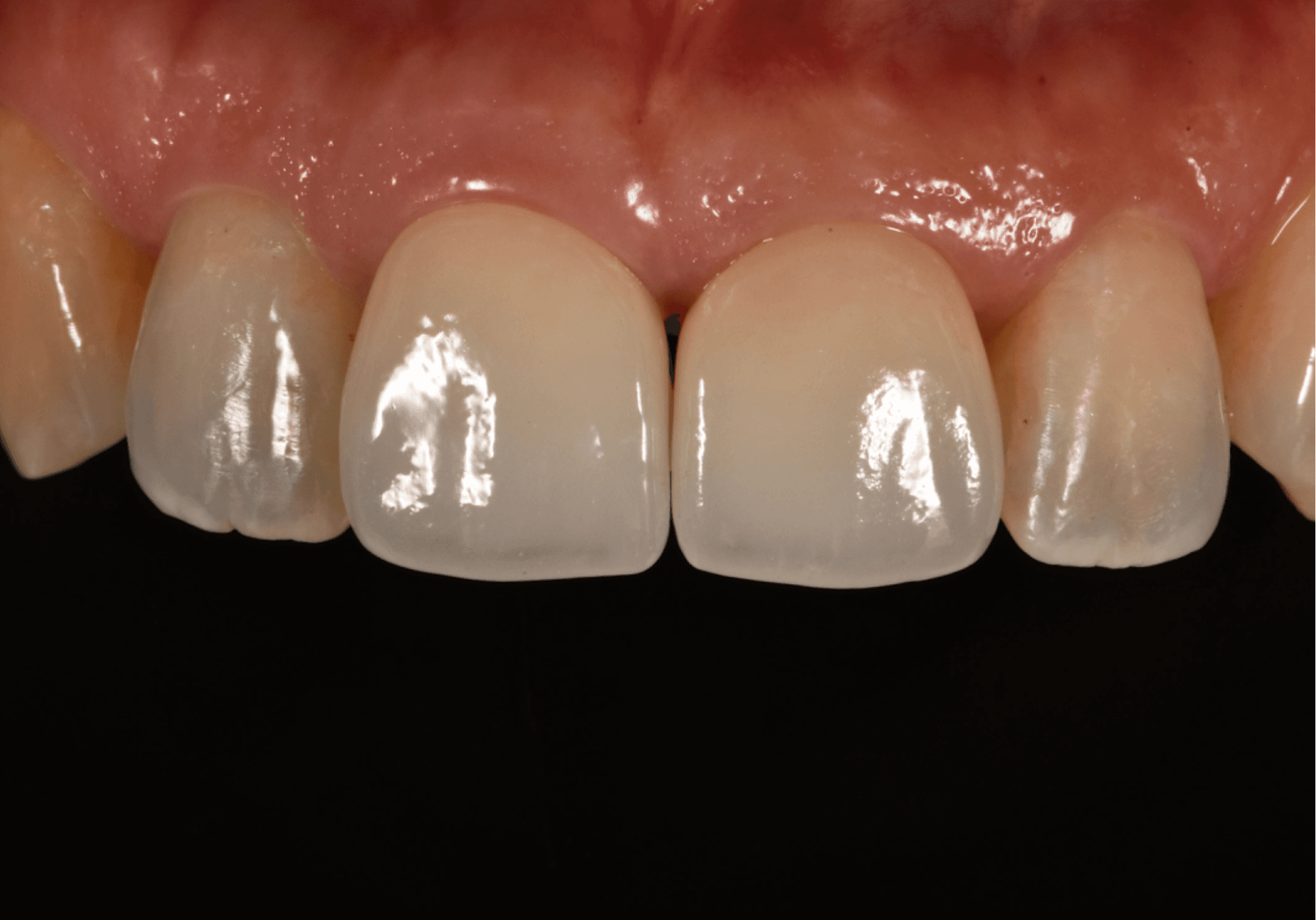
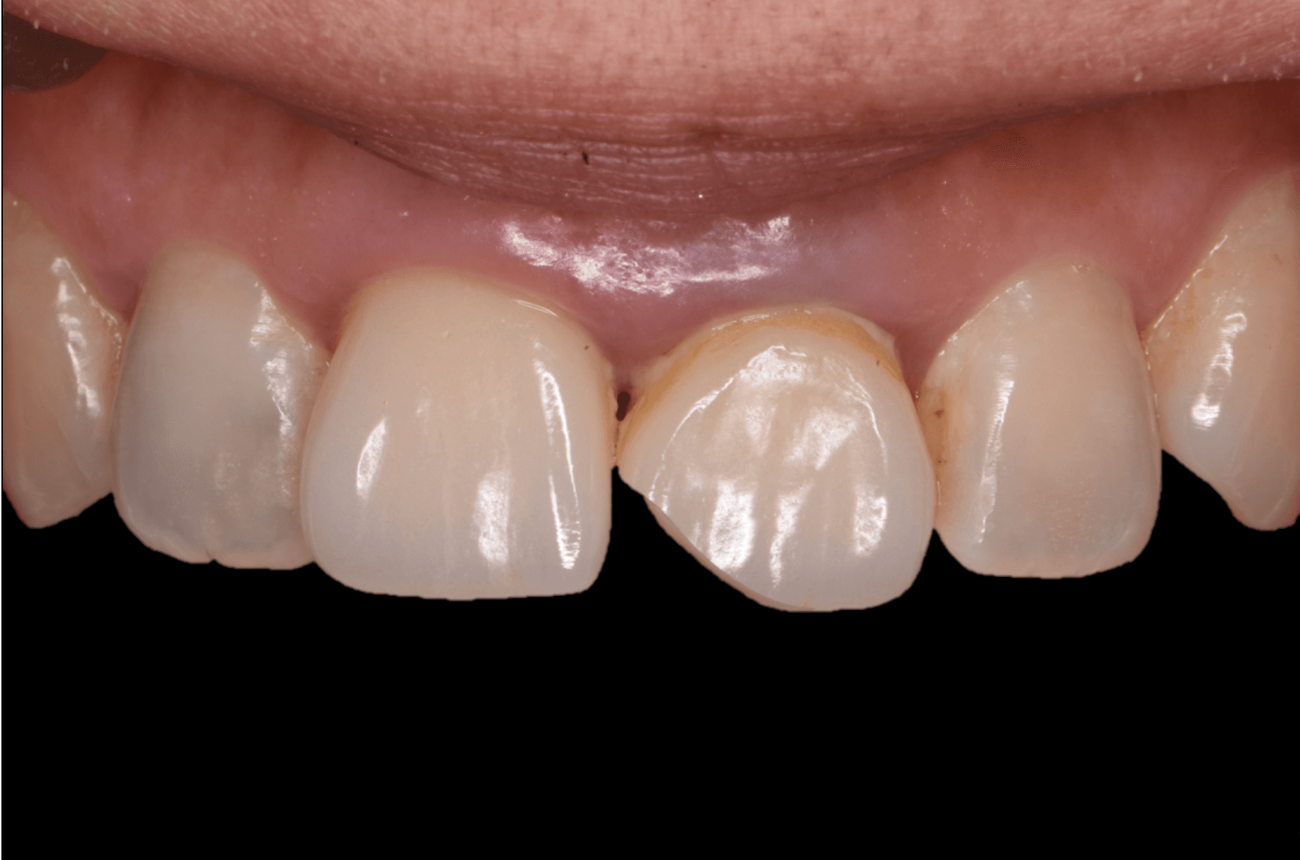
Before
After
左上1インプラント治療
6ヶ月、12回(検査、診断含む) / 総額626,000円リスク・副作用:出血、腫脹、疼痛、青痣、神経麻痺、補綴物の脱落、破折、インプラント体の破折、咬合違和感、インプラント周囲炎等


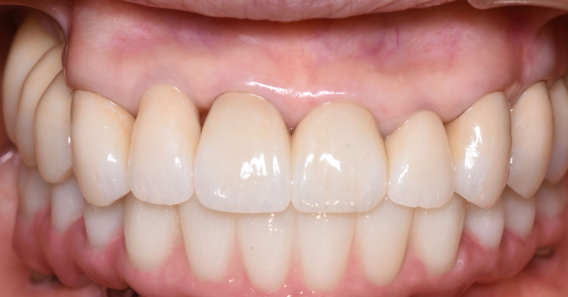
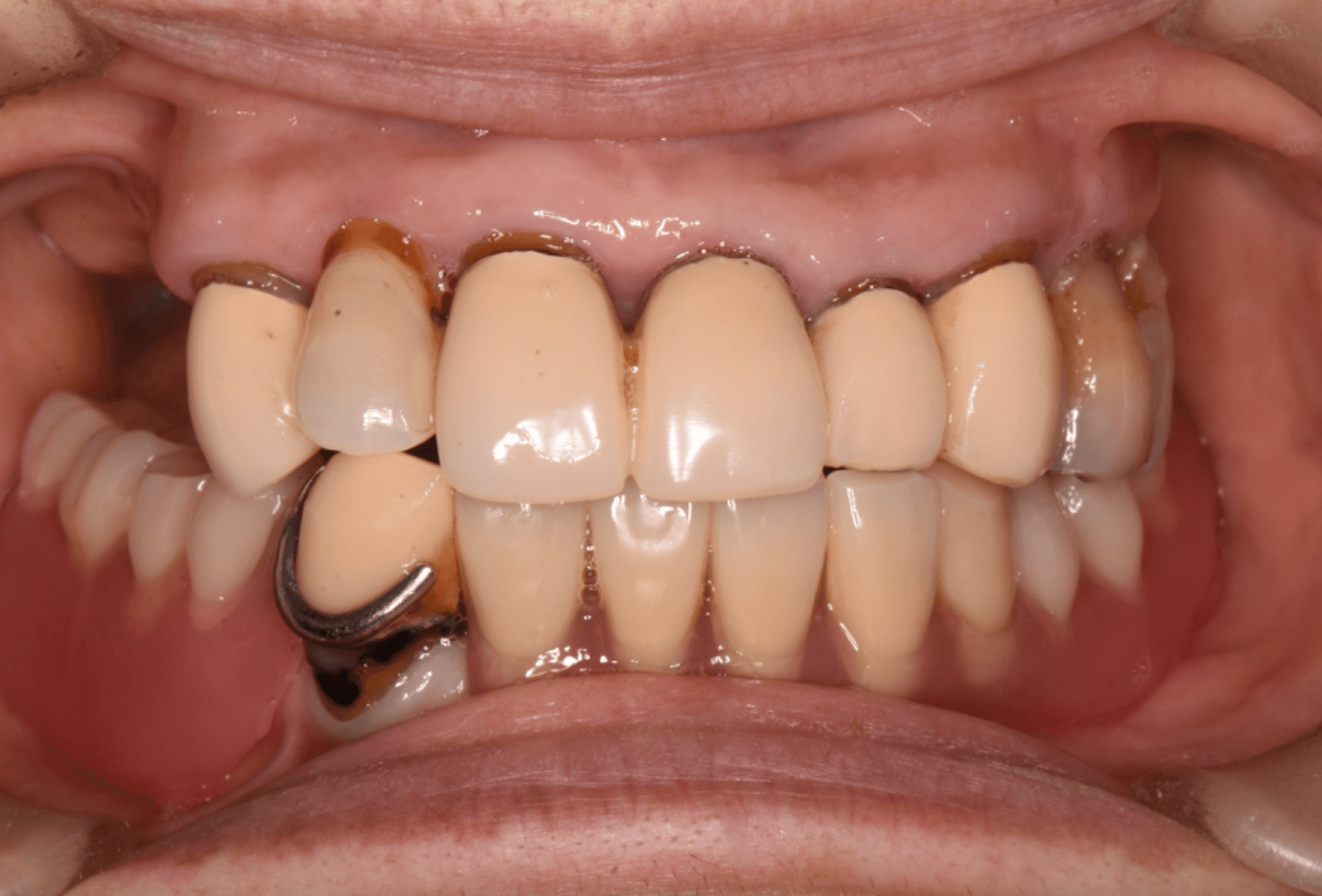
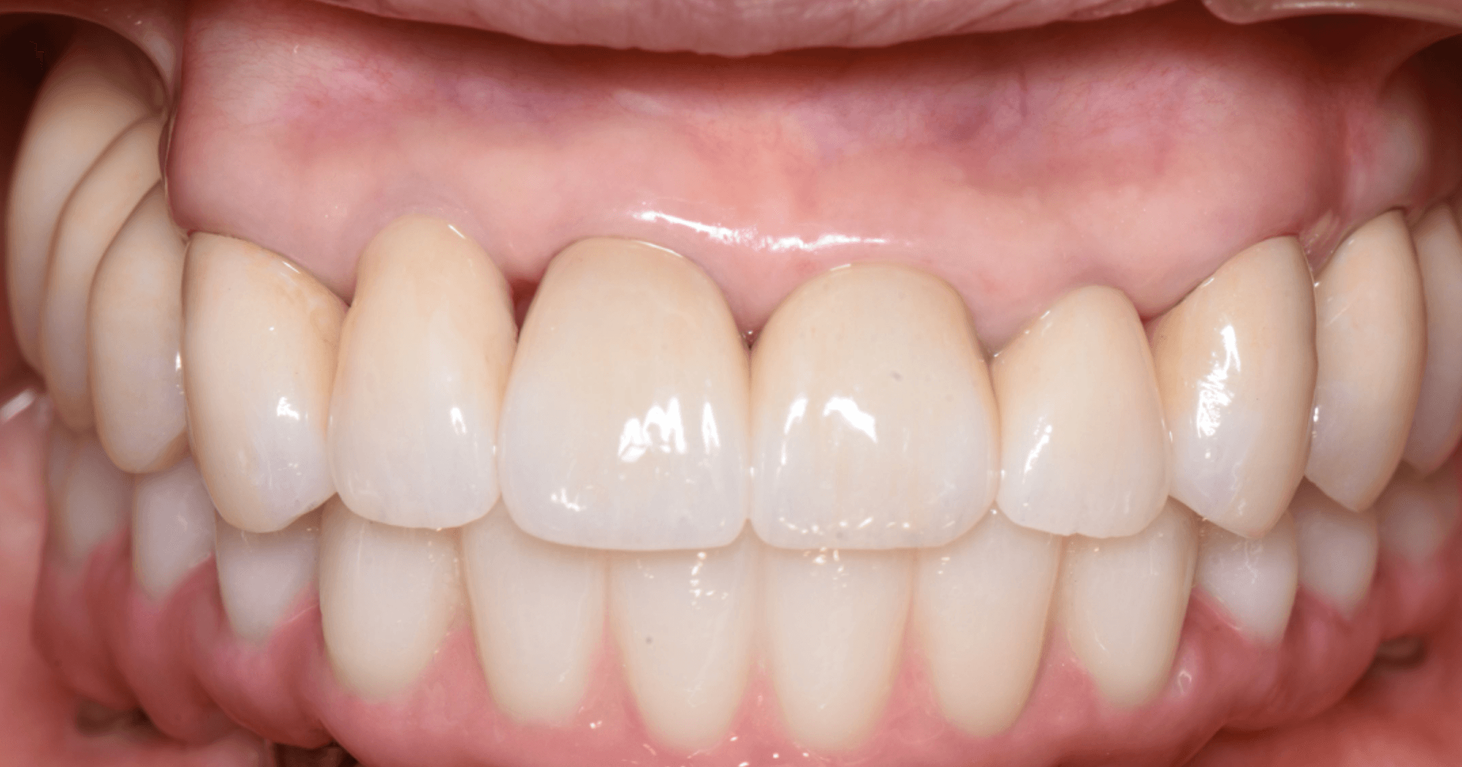
Before
After
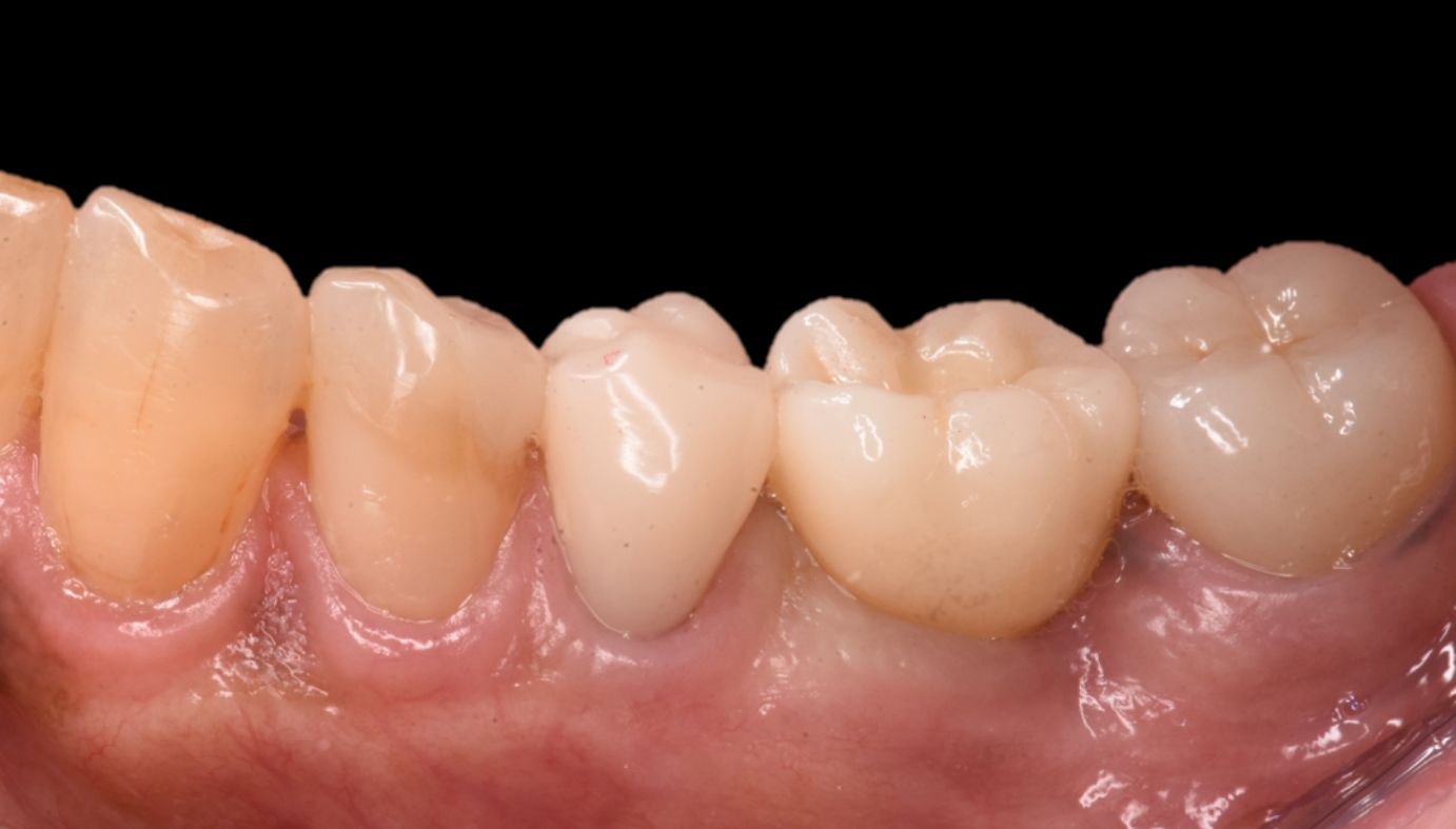
全顎治療 インプラント及びセラミック修復治療
1年8ヶ月、28回 / 総額5,465,900円リスク・副作用:出血、腫脹、疼痛、青痣、神経麻痺、補綴物の脱落、破折、インプラント体の破折、咬合違和感、インプラント周囲炎等


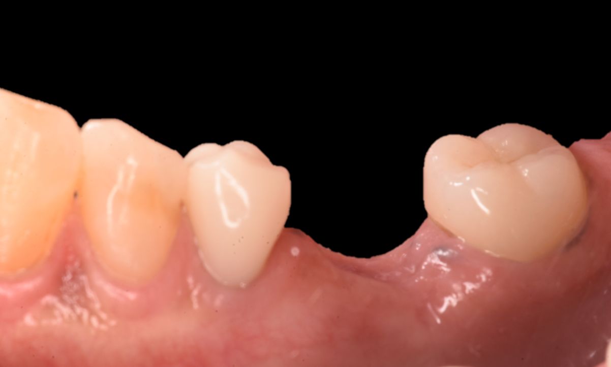
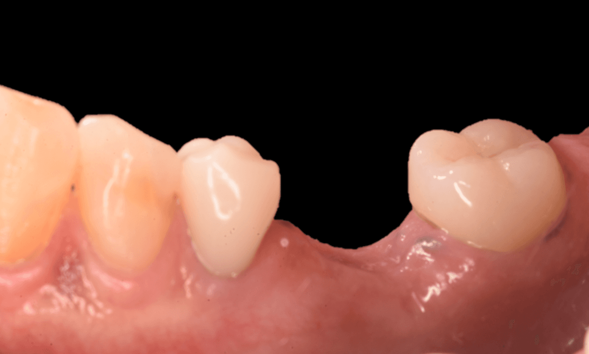
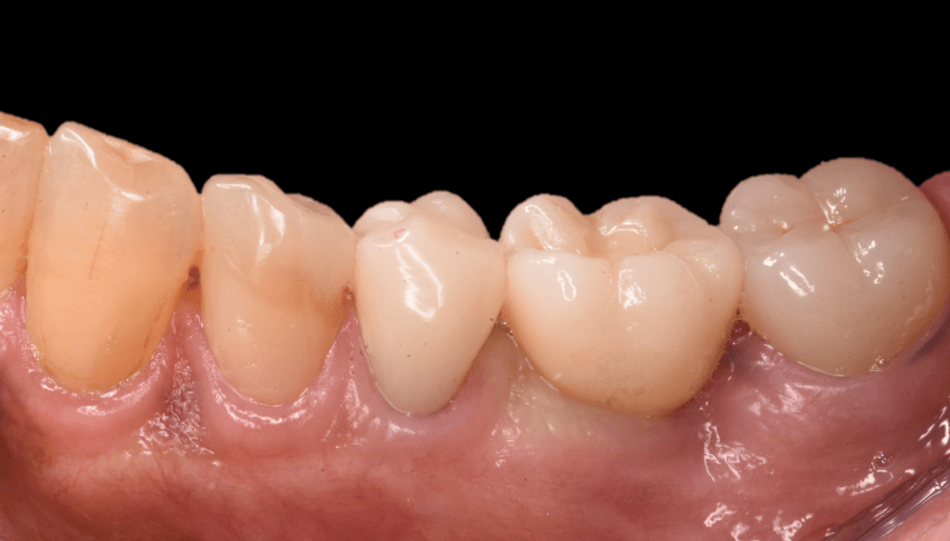
Before
After
左下6インプラント治療
4ヶ月、10回 / 総額506,000円リスク・副作用:出血、腫脹、疼痛、青痣、神経麻痺、補綴物の脱落、破折、インプラント体の破折、咬合違和感、インプラント周囲炎等


Before
After
マウスピース矯正
6ヶ月、13回 / 総額418,000円リスク・副作用:歯の痛みや圧迫感、アレルギー、治療期間の延長、歯根吸収、後戻りなどのリスクがあります。


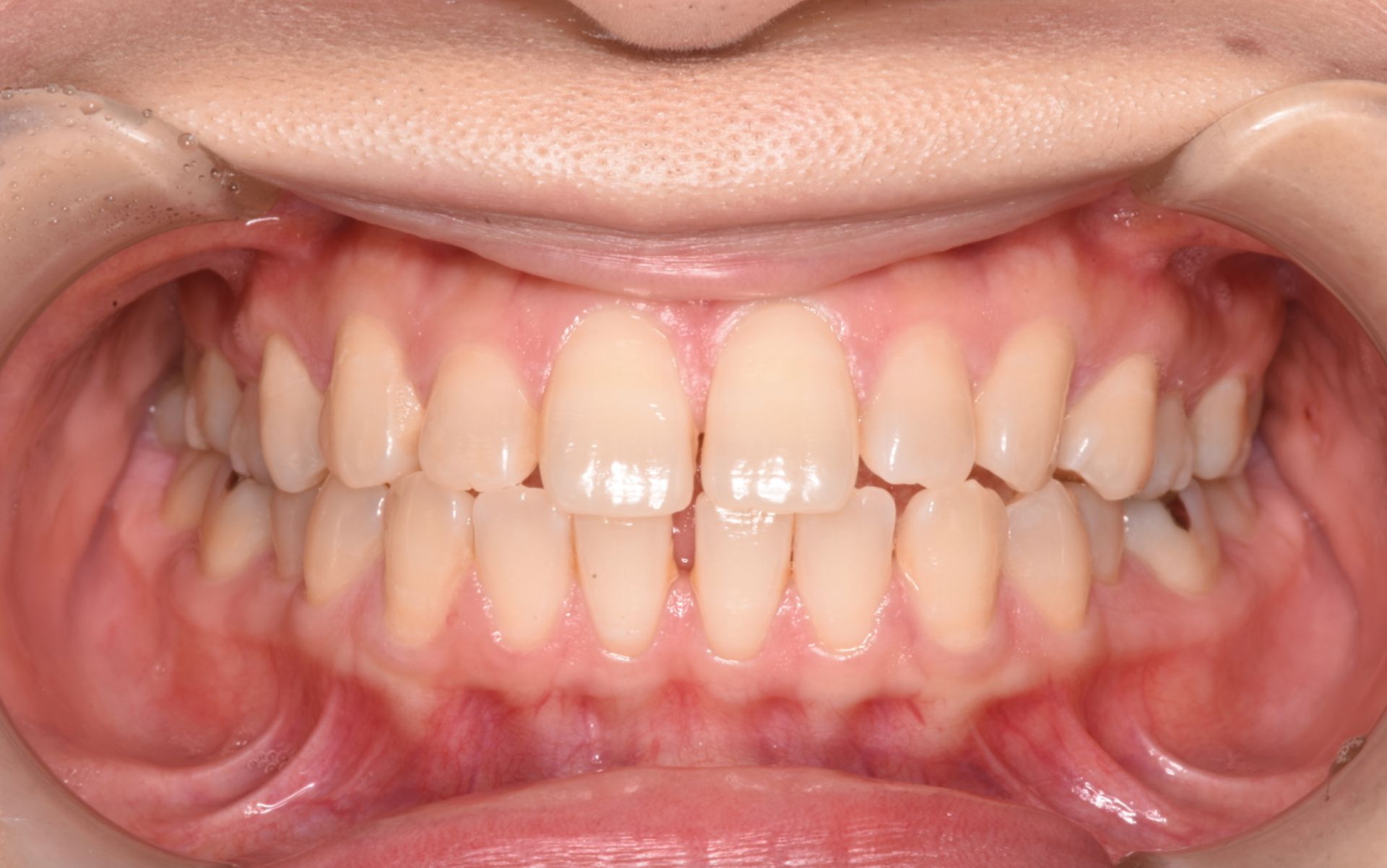
Before
After
マウスピース矯正
11ヶ月、24回 / 総額418,000円リスク・副作用:歯の痛みや圧迫感、アレルギー、治療期間の延長、歯根吸収、後戻りなどのリスクがあります
対応治療・価格
インプラント1本
料金目安(税込):約495,000円(検査、診断料、保証料込)失った歯の機能と美しさを回復。専門医がチタン製の人工歯根を埋入し、天然歯のような噛み心地を実現します。リスク・副作用:埋入手術直後に腫れ・痛みが生じる場合があります。
インプラント(オールオン4)※片顎
料金目安(税込):約2,750,000円最小4本のインプラントで、片顎全ての歯を支えます。治療期間を短縮し、固定式の歯を持つことが可能です。リスク・副作用:外科処置に伴う腫れや痛み、一時的な違和感、インプラント周囲炎、破損や脱落のリスクがあります。
アクセス
医療法人山羽歯科医院 とうかえでの道デンタルクリニック
歯科医師 約1〜3名
京阪本線樟葉駅より車で10分
大阪府枚方市西招提町1243 2F
| 診療時間 | 月 | 火 | 水 | 木 | 金 | 土 | 日 | 祝 |
|---|---|---|---|---|---|---|---|---|
| 09:00-12:00 | ||||||||
| 09:00-12:30 | ||||||||
| 13:30-18:00 | ||||||||
| GW・お盆・年末年始はお休み | ||||||||










