うえさか歯科
歯科医師 約1〜3名
阪急 桜井駅 徒歩7分、阪急 箕面線 石橋阪大前駅 徒歩10分、阪急バス 瀬川バス停 徒歩3分
大阪府箕面市瀬川3丁目1番13号
| 診療時間 | 月 | 火 | 水 | 木 | 金 | 土 | 日 | 祝 |
|---|---|---|---|---|---|---|---|---|
| 09:00-13:00 | ||||||||
| 14:00-19:00 | ||||||||
| 休診日 / 土曜午後・日曜・祝日、GW、お盆、年末年始はお休み | ||||||||
- 虫歯
- 歯周病
- 知覚過敏
- 根管治療
- 抜歯
- 詰め物・被せ物
家族みんなで笑顔になれる、痛みを抑えた「心に寄り添う」箕面市の優しい歯医者さん。
「痛くない、虫歯を作らない」が方針。丁寧な説明と最新設備による低負担な治療で、お子様からご高齢の方まで、一生美味しく食べられる健康を支えます。
治療室・設備
最新設備で痛みを抑えた精密な治療を実践。診察室は車椅子やベビーカーのまま入室・治療ができるゆとりある広さを確保しており、お子様から大人の方まで、リラックスできる安全・清潔な環境で受診いただけます。
内覧・外観
木の温もり溢れるアットホームな空間です。キッズスペース完備で、お子様も退屈せず過ごせます。バリアフリー設計により、ベビーカーや車椅子でも安心です。
歯科医師・スタッフ
保育士資格を持つスタッフが在籍し、無料託児サービスを提供。お子様連れでも安心です。カウンセラーが、患者様のお悩みに親身に寄り添い丁寧に対応します。
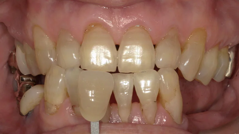
事例


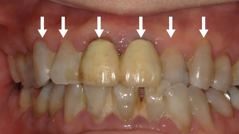
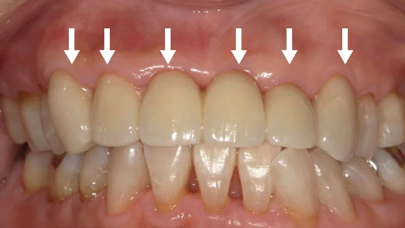
Before
After
セラミック治療、セラミックブリッジ症例
1ヶ月・4回 / 総額798,600円リスク・副作用:セラミックは使用環境によって外れてしまうことがあります。 セラミックも十分なメンテナンスを行わないと、周辺の歯から虫歯になることがあります。 強い食いしばりや硬度の高いものを誤って噛むと割れてしまうことがあります。


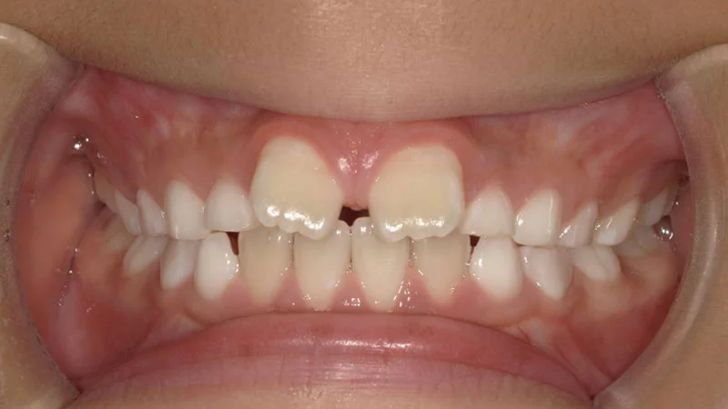
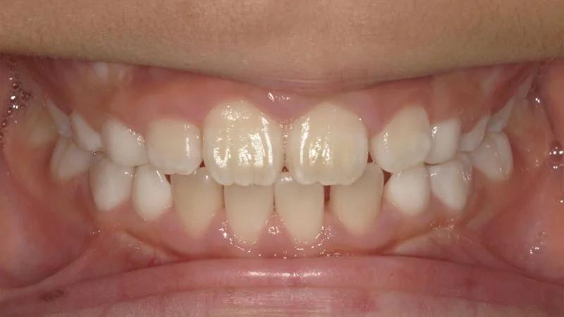
Before
After
部分矯正、上下部分矯正
約6か月・約10回 / 総額330,000円リスク・副作用:装置装着中は発音がしにくい場合があります。 舌の動きが制限されることがあります。 装置によって口内炎ができることがあります。 歯の移動に伴い、違和感や痛みを感じることがあります。 知覚過敏の症状が一時的に出ることがあります。


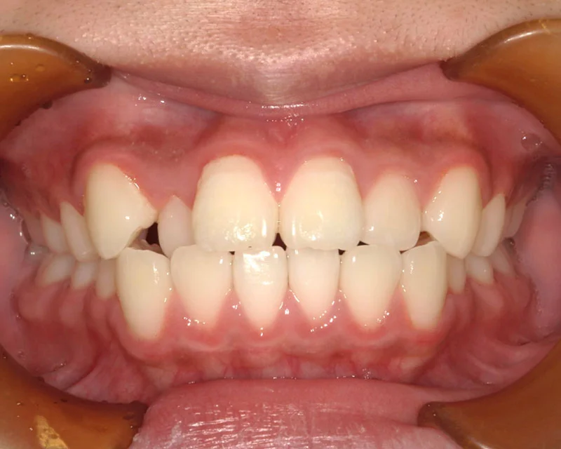
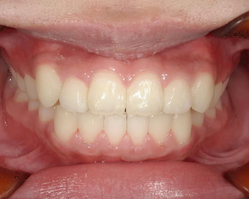
Before
After
小児矯正、プレオルソによる矯正治療
6ヶ月・永久歯に全て生え変わるまで / 総額110,000円リスク・副作用:治療中は発音しにくい場合があります。 矯正中、舌が動かしにくいことがあります。 治療中、装置によってまれに頬の内側が傷つき、口内炎になることがあります。 歯の移動に伴って違和感や痛みを感じる場合があります。 冷たいものを飲んだときに歯がしみる「知覚過敏」の症状が出る場合があります。 マウスピースの装着時間が短いと治療は進みません。


Before
After
ホワイトニング、デュアルホワイトニング症例
オフィスホワイトニング8回、ホームホワイトニング1ヶ月 / 総額93,500円リスク・副作用:治療中、歯にしみるような痛みが出る場合があります。 得られる効果は歯の質により様々であり、予定通りの白さに達しない場合もあります。 自費診療(保険適用外治療)です。
対応治療・価格
オフィスホワイトニング お試しコース
料金目安(税込):約11000円※ 初回のみ返金保証あり 歯科医院で高濃度の薬剤と光照射を行う方法です。短期間で白さを実感しやすく、即効性を求める方に最適です。リスク・副作用:治療中や後に歯がしみる(知覚過敏)場合があります。また、白さの維持には定期的なケアが必要です。
インプラント(1本標準例)
料金目安(税込):約440,000円手術代・被せ物等を含む目安。失った歯の場所に人工歯根を埋め、本物の歯のような噛み心地を再現します。 インプラント体、アバットメント、オールセラミック被せ物、手術代、CT撮影を含む合計目安。リスク・副作用:外科手術が必要です。骨と結合する期間が必要なほか、術後の腫れやインプラント周囲炎のリスクがあります。
アクセス
うえさか歯科
歯科医師 約1〜3名
阪急 桜井駅 徒歩7分、阪急 箕面線 石橋阪大前駅 徒歩10分、阪急バス 瀬川バス停 徒歩3分
大阪府箕面市瀬川3丁目1番13号
| 診療時間 | 月 | 火 | 水 | 木 | 金 | 土 | 日 | 祝 |
|---|---|---|---|---|---|---|---|---|
| 09:00-13:00 | ||||||||
| 14:00-19:00 | ||||||||
| 休診日 / 土曜午後・日曜・祝日、GW、お盆、年末年始はお休み | ||||||||



























.webp)