松野歯科医院
歯科医師 約4〜10名
バス停「浅川台」より徒歩1分、駐車場完備
福岡県北九州市八幡西区浅川日の峯1丁目22-23
| 診療時間 | 月 | 火 | 水 | 木 | 金 | 土 | 日 | 祝 |
|---|---|---|---|---|---|---|---|---|
| 09:00-13:00 | ||||||||
| 09:00-17:00 | ||||||||
| 【休診日】日曜日・祝日 | ||||||||
- 虫歯
- 歯周病
- 知覚過敏
- 根管治療
- 抜歯
- 詰め物・被せ物
一人ひとりに最善を尽くす質の高い診療。心身共に笑顔で通える信頼の歯科医院
将来を見据えたメタルフリー治療など、質の高さを追求し信頼関係を構築。最新の3Dスキャナーも活用し、患者様の状態に合わせた最善の治療を提供します。
治療室・設備
医療DXを推進し、3DスキャナーやCTなど高度な設備を完備。精密なデータに基づく診査・診断を行い、安全かつ正確で身体に優しい治療を徹底します。
内覧・外観
幅広い年齢層の方がリラックスできる温かな空間です。カウンセリングを重視し、治療内容や費用への不安を解消。心からの笑顔で通える環境を整えています。
歯科医師・スタッフ
歯科医師と歯科衛生士が連携し、患者様の心に寄り添う丁寧な説明を徹底。お子様からご高齢の方まで、常に最善を尽くす温かな対応と専門ケアを提供します。
事例


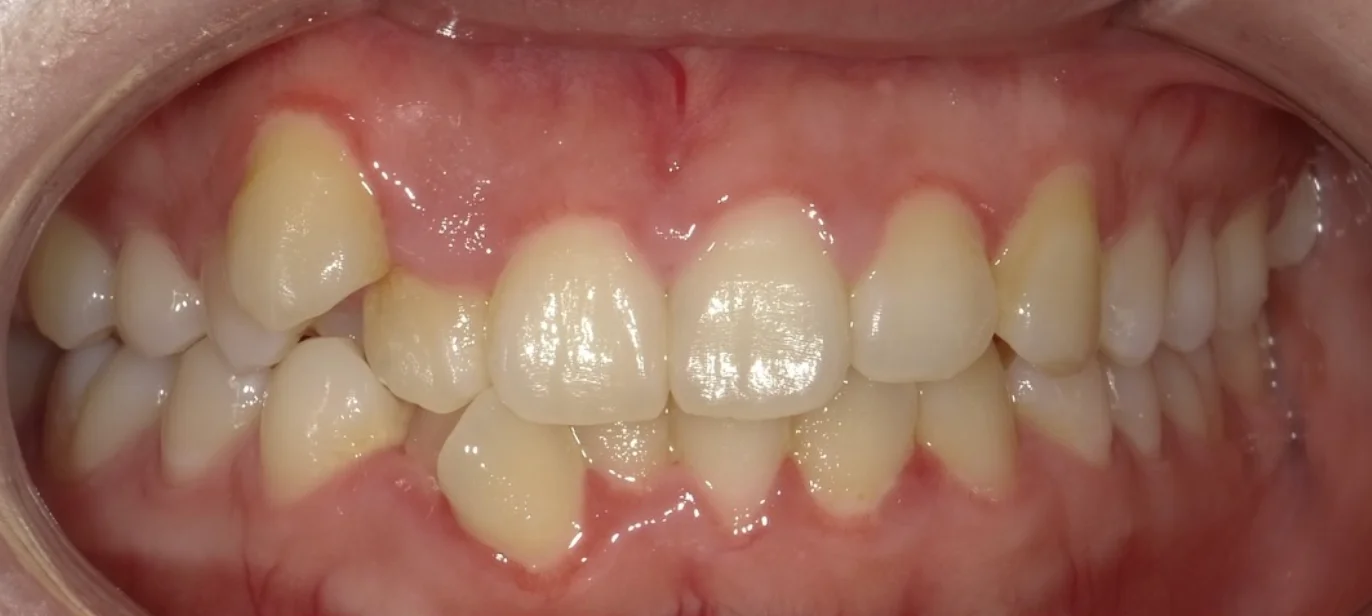
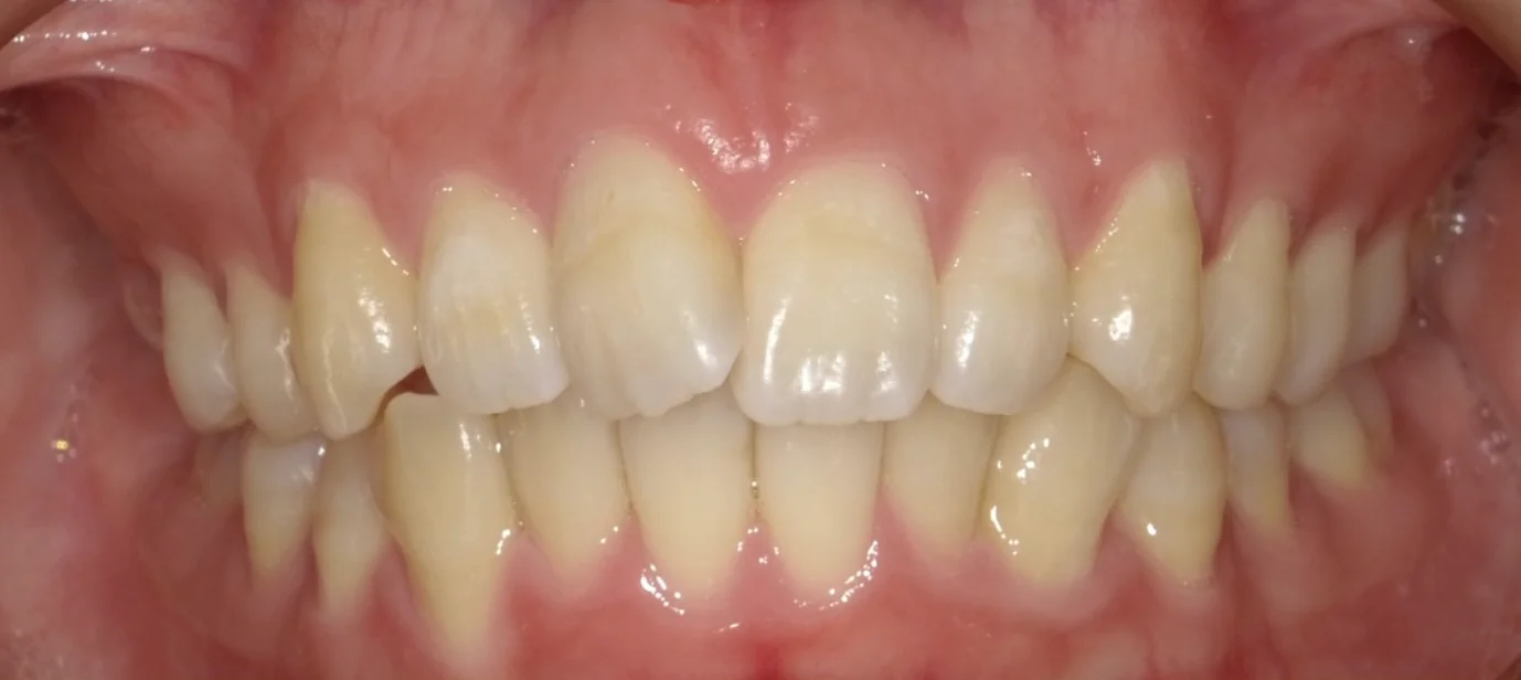
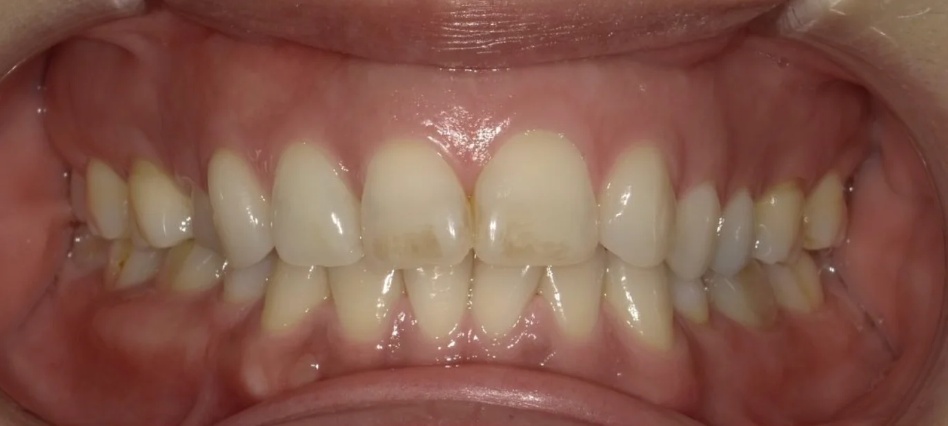
Before
After
金属のインレー(詰め物)を外してセラミックインレーを装着
2回 / 総額66,000円リスク・副作用:強い衝撃による破折や脱離、二次虫歯のリスクがあります。歯を削る量が多くなる場合があります。


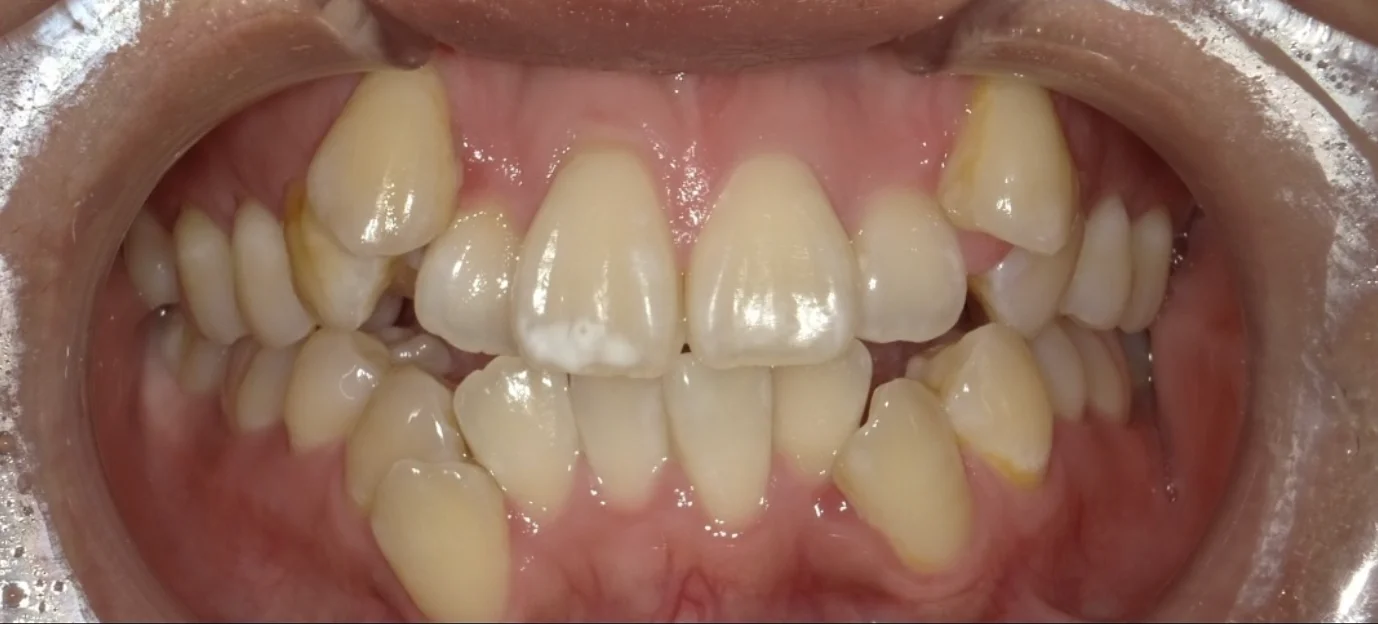
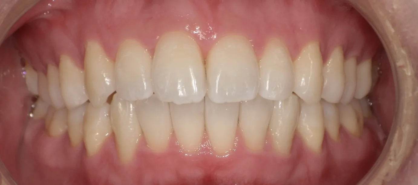
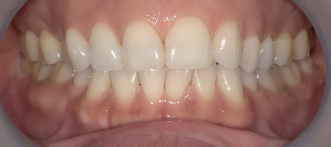
Before
After
ワイヤー矯正
2年3ヶ月 保定期間へと移行 / 金額 精密検査44,000円 、ワイヤー矯正880,000円 、保定11,000円リスク・副作用:矯正による痛みや歯根吸収、歯肉退縮、治療後の後戻りのリスクがあります。適切な装着時間が必要です。


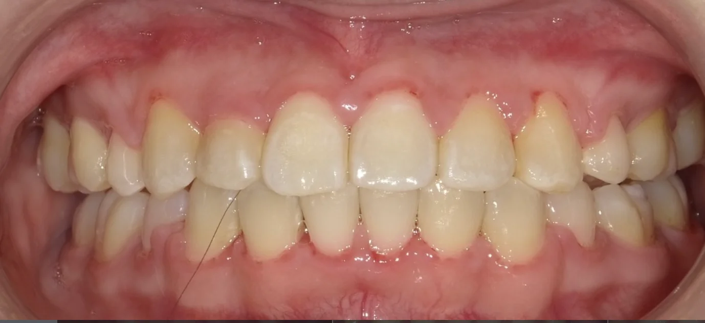
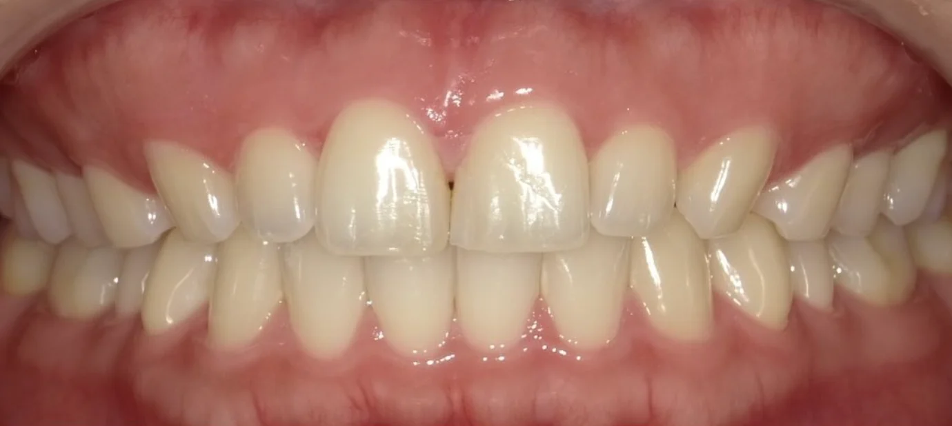
Before
After
アライナー矯正
1年1ヶ月 現在治療途中 / 金額 検査44,000円 アライナー矯正880,000円 保定11,000円 歯肉切除(※状態に応じて110,000〜220,000円)リスク・副作用:矯正による痛みや後戻り、歯根吸収、歯肉退縮のリスク。歯肉切除部位の知覚過敏が生じる場合があります。


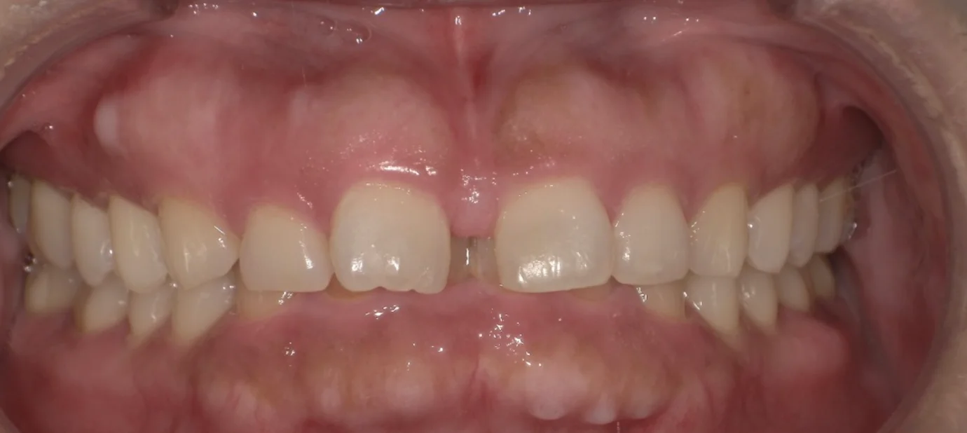
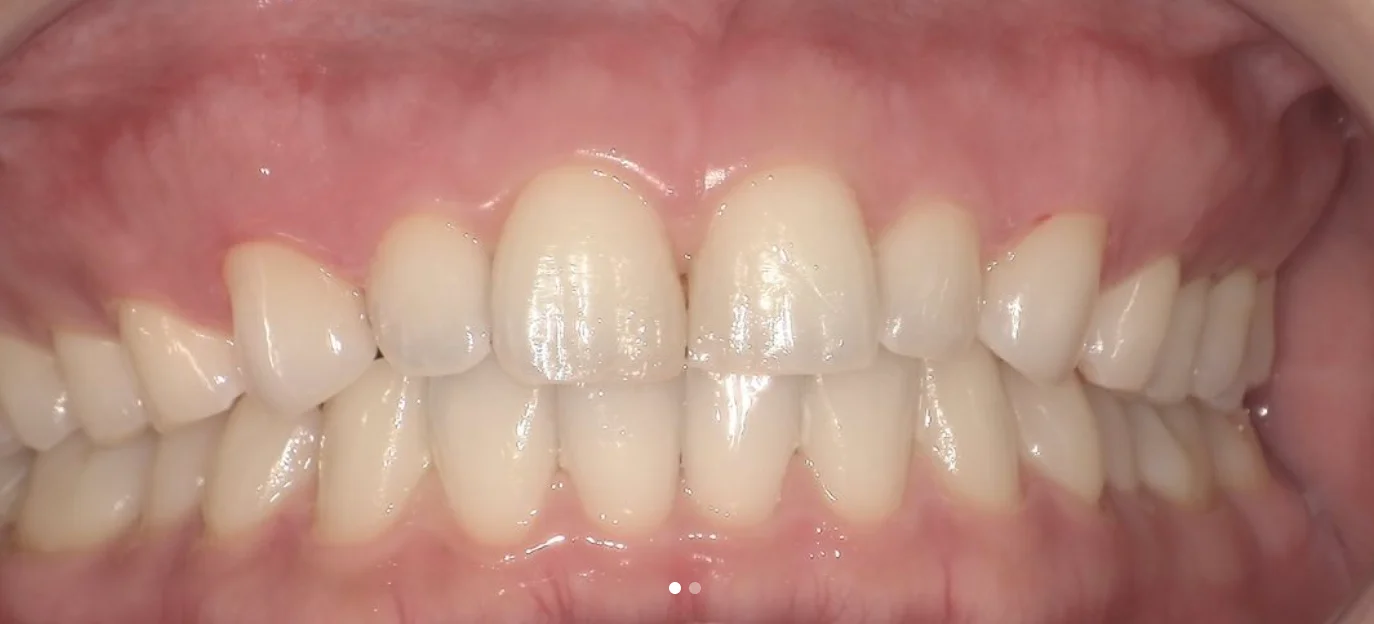
Before
After
アライナー矯正
2年半 現在は保定期間中 / 金額 検査44,000円 アライナー矯正880,000円 保定装置11,000円リスク・副作用:矯正による痛みや後戻り、歯根吸収、歯肉退縮のリスク。歯肉切除部位の知覚過敏が生じる場合があります。


Before
After
ダイレクトボンディング
金額 44,000円✖️2歯 ➕ 66,000円✖️2歯リスク・副作用:過度な力による欠けや脱離、経年的な変色、二次虫歯のリスクがあります。個人差により適応外です。


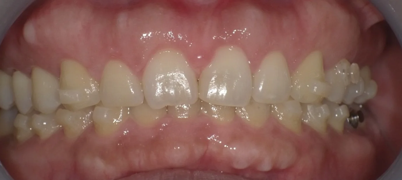
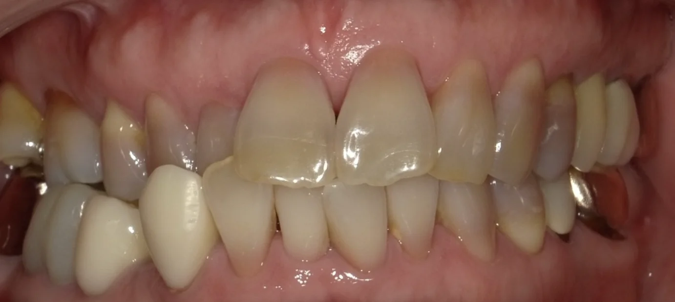
Before
After
アライナー矯正+インプラント+ブリッジ
治療期間:2年半 現在は保定期間中 / 金額 検査44,000円 アライナー矯正880,000円 骨造成88,000円 インプラント385,000円 オールセラミックブリッジ297,000円リスク・副作用:矯正の痛みや後戻り、インプラント周囲炎、外科手術に伴う腫れや出血、被せ物の破折リスクがあります。


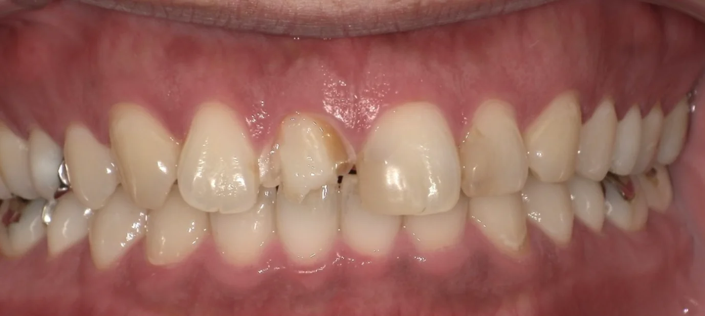
Before
After
ダイレクトクラウンの症例
3ヶ月 / 総額88,000円リスク・副作用:強い衝撃による破折や脱離、経年劣化による変色、二次虫歯のリスクがあります。個人差により適応外です。


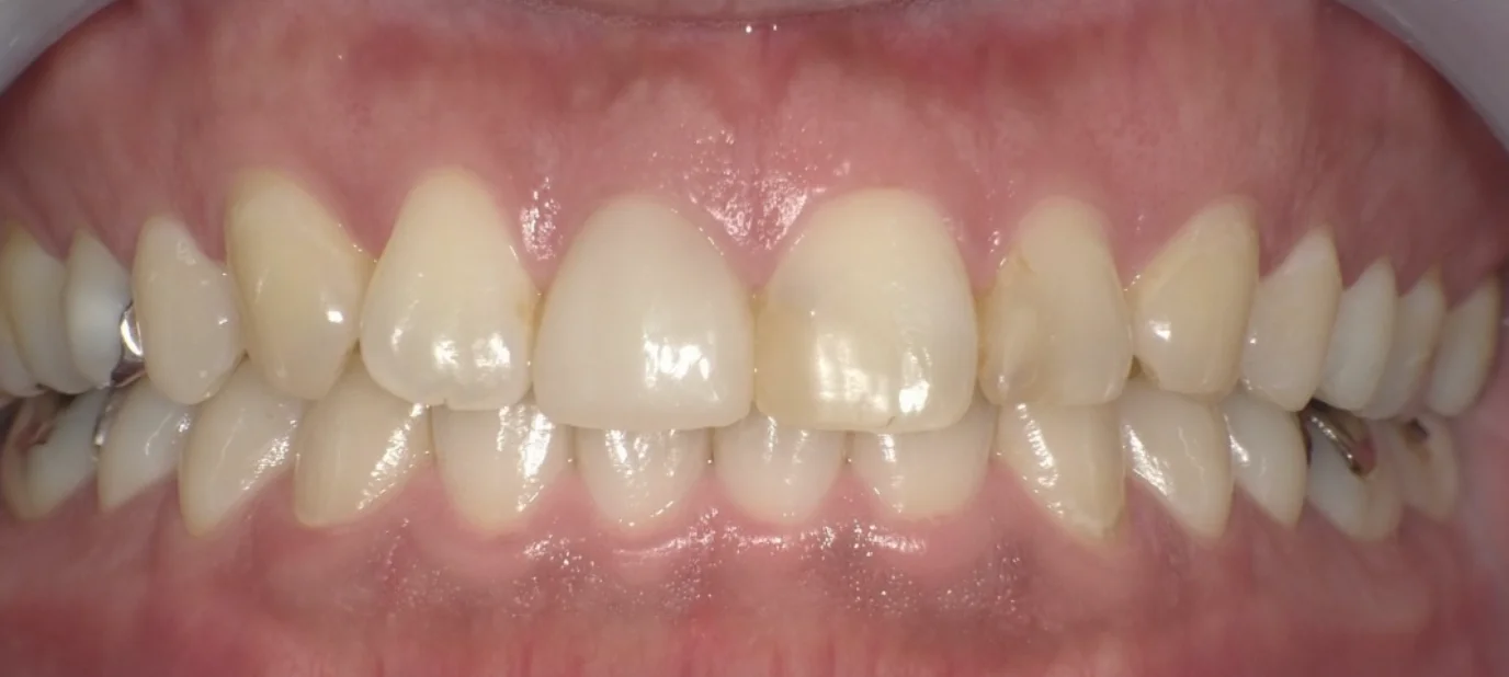
Before
After
マウスピース矯正+ホワイトニング
1年8ヶ月 / 金額 検査44000円 + マウスピース矯正880000円 + ホームホワイトニング33000円 + 保定11000円リスク・副作用:矯正による痛みや後戻り、歯根吸収のリスクがあります。また、薬剤による知覚過敏が生じる場合があります。


Before
After
ダイレクトベニア
2日、2回 / 金額 ダイレクトベニア 88000円✖️4本リスク・副作用:過度な力による欠けや脱離、経年劣化による変色、二次虫歯のリスクがあります。個人差により適応外です。


Before
After
ホームホワイトニング
3ヶ月 / 総額33,000円リスク・副作用:一時的な知覚過敏(歯がしみる症状)が起きる場合があります。色の上がり方や持続期間には個人差があります。
対応治療・価格
大人の矯正/マルチブラケット治療
料金目安(税込):部分矯正:約330,000円 、片顎矯正:約550,000円 、全顎矯正:約880,000円永久歯にブラケットとワイヤーを固定し、歯の傾きや位置を調整して機能的な噛み合わせと審美性を改善します。 検査 44,000円、調整料 5500円/毎回 ※矯正費に調整代も含んでおりますので、別途必要な金額は原則ありません。 ※定期的なクリーニングやフッ素塗布などのメンテナンスに来院できない患者様には治療責任が持てません。(3ヶ月に1回約3,500円程度) 注意事項 ①矯正治療時の抜歯は、別途料金(1本5,500円)がかかります。 ②特別な画像検査(CT)が必要な場合は、別途料金がかかります。 ③欠損歯に対しての補綴処置(インプラント)は別途料金がかかります。 ④治療予約日に来院できない患者様に対しては、治療責任は持てません。リスク・副作用:痛みや不快感、歯肉退縮、歯根吸収が生じる場合があります。治療後は保定装置の継続的な使用が不可欠です。
マウスピース矯正
料金目安(税込):フル(両顎):880,000円~透明で目立ちにくい着脱可能なマウスピースを順次交換し、段階的に歯並びを整えていく矯正治療です。 調整料 5500円/毎回 ※矯正費に調整代も含んでおりますので、別途必要な金額は原則ありません。 ※定期的なクリーニングやフッ素塗布などのメンテナンスに来院できない患者様には治療責任が持てません。(3ヶ月に1回約3,500円程度) 注意事項 ①矯正治療時の抜歯は、別途料金(1本5,500円)がかかります。 ②特別な画像検査(CT)が必要な場合は、別途料金がかかります。 ③欠損歯に対しての補綴処置(インプラント)は別途料金がかかります。 ④治療予約日に来院できない患者様に対しては、治療責任は持てません。リスク・副作用:1日20時間以上の装着が必要です。装着時間が不足すると計画通りに歯が動かないことがあります。








