医療法人社団彩清会 いがり歯科医院
歯科医師 約1〜3名
常磐線「内郷駅」から徒歩1分 / 駐車場9台
福島県いわき市内郷綴町榎下55番地1内郷駅前渡辺ビル1階
| 診療時間 | 月 | 火 | 水 | 木 | 金 | 土 | 日 | 祝 |
|---|---|---|---|---|---|---|---|---|
| 09:00-12:00 | ||||||||
| 14:00-17:00 | ||||||||
| 休診日:水曜、日曜、祝日 ※上記は最終受付時間となります。 | ||||||||
- 虫歯
- 歯周病
- 知覚過敏
- 根管治療
- 抜歯
- 詰め物・被せ物
「森を診て木を診る」包括治療。専門医による過不足のない良質な歯科医療を提供します。
歯周病・口腔インプラント専門医が、一口腔単位で原因を究明。精密検査に基づいたデータ提供とわかりやすい説明で、納得のいく質の高い治療を行います。
治療室・設備
プライバシーに配慮した仕切りのある診療台を完備。マイクロスコープ等の高度な設備を整え、清潔で開放的な空間にて、安全かつ精密な治療を提供いたします。
内覧・外観
患者様がリラックスして過ごせるよう、落ち着いた空間づくりを徹底。お口の健康に関する有益な情報を提供し、通院が楽しみになる医院づくりを目指します。
歯科医師・スタッフ
専門医・スタッフ一同が研鑽を積み、チーム医療を実践。患者様が自らの健康意識を高められるよう、一人ひとりの価値観に寄り添った丁寧な支援に努めます。
事例


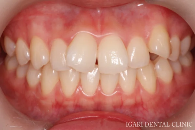
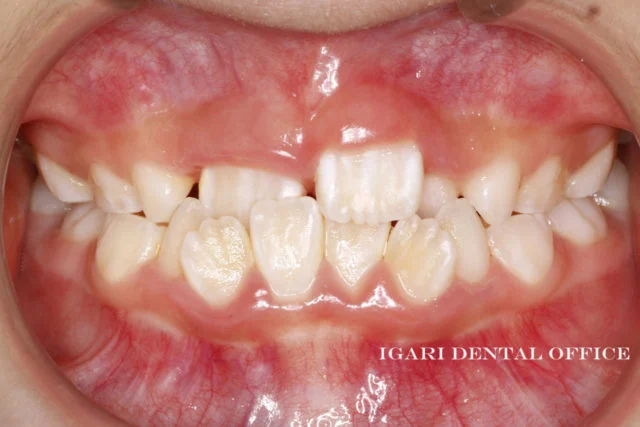
Before
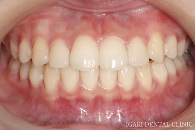
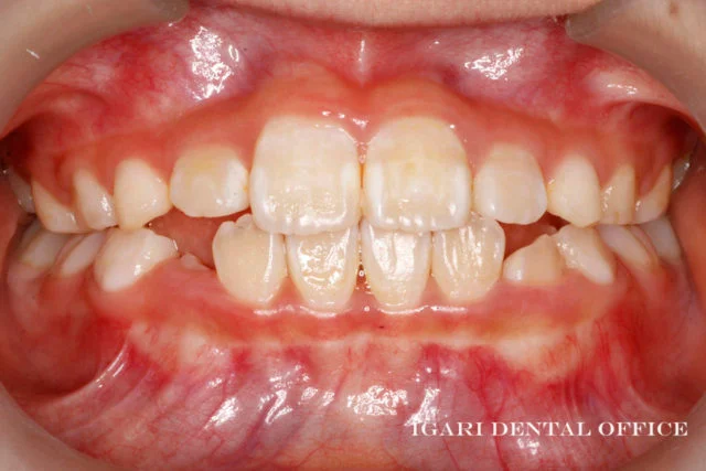
After
形状記憶アライナー(グラフィーアライナー)を用いたマウスピース矯正治療
約10か月 / 総額924,000円リスク・副作用:・1日20〜22時間の装着が必要です(装着時間が不足すると、計画どおりに進みにくくなることがあります)。 ・原則として1週間ごとに新しい装置に交換します。 ・歯ぎしり・噛みしめが強い場合など、装置が欠けたり割れたりすることがあります。


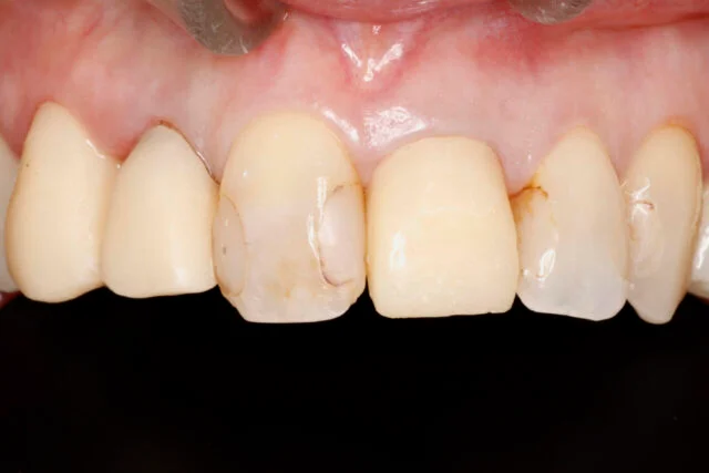
Before
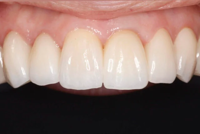
After
デジタルプランニングによる前歯部補綴治療
約8ヶ月 / 総額858,000円リスク・副作用:・製作に一定の期間を要する ・自費診療のため保険適用外


Before
After
マウスピース型矯正装置による矯正治療(第一期)
約2年 / 総額462,000円リスク・副作用:・1日20〜22時間の装着が必要です。 ・3日〜7日ごとに新しい装置に交換しますが、歯ぎしりや噛みしめが強い場合、装置が破損する場合があります。 ・通常、永久歯列になった際に、二期治療が必要になります


Before
After
深いむし歯をダイレクトボンディングで治療した症例
1回 / 総額49,500円リスク・副作用:咬む力が強い方や歯ぎしりが強い方は詰め物が欠ける可能性がある 経年的に着色がみられる可能性がある


Before
After
セラミックによる修復治療を行った症例
2回 / 総額66,000円リスク・副作用:咬む力が強い方や歯ぎしりが強い方は詰め物が欠ける可能性がある むし歯が大きい場合、治療後一時的に歯がしみる場合がある


Before
After
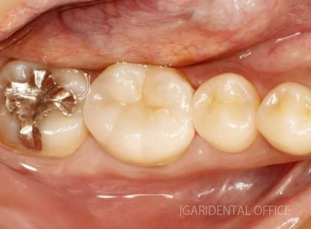
上の奥歯にインプラント治療を行った症例
約6ヶ月 / 総額450,000円リスク・副作用:インプラントの埋入手術が必要 術後の定期的なメインテナンスが必要


Before
After
奥歯にインプラントを行った症例
約8ヶ月 / 総額450,000円リスク・副作用:インプラントの埋入手術が必要 定期的なメインテナンスが必要


Before
After
自家歯牙移植
約1年 / 総額350,000円リスク・副作用:移植歯に歯根吸収が起こる場合がある


Before
After
歯が割れてインプラントした症例
約10ヶ月 / 総額470,000円リスク・副作用:治療期間がかかる インプラント(人工歯根)の埋入手術が必要


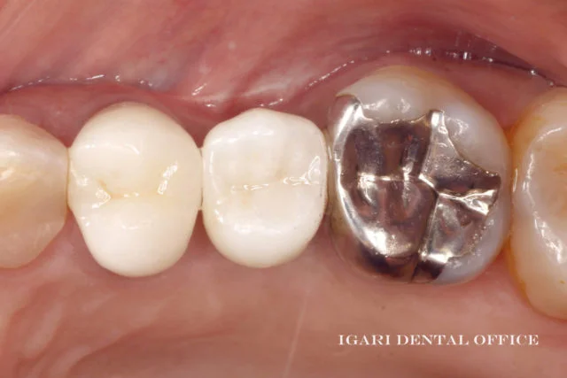
Before
After
銀歯をセラミック(emax)による 修復
2回 / 総額132,000円リスク・副作用:咬む力が強い方や歯ぎしりが強い方は詰め物が欠ける可能性がある むし歯が大きい場合、治療後一時的に歯がしみる場合がある
対応治療・価格
大臼歯の根管治療(マイクロスコープによる精密根管治療)
料金目安(税込):約99,000円マイクロスコープで根管内を拡大視し、細菌を徹底除去する治療です。再発率を下げ、歯の寿命を延ばします。 ※予後不良により歯髄が保存できなかった場合は、その後の根管治療から\20,000差し引きます。リスク・副作用:根の形状により完全に除菌できない場合があります。治療中に歯が割れるリスクや、再発の可能性はあります。
インプラント1本
料金目安(税込):¥442,200~475,200(税込)欠損部に人工歯根を埋め込み、被せ物を装着して噛み合わせを回復します。手術を伴う自由診療です。 上記価格は、一次・二次手術、アバットメント、上部構造(ジルコニア)を含むものになります。 <別途> CT撮影 ¥11,000 インプラント解析・ガイド作成 ¥41,800〜55,000 GBR(骨造成) ¥55,000~110,000 ソケットリフト ¥55,000~110,000 サイナスリフト ¥110,000リスク・副作用:外科手術による出血や腫れ、神経損傷のリスクがあります。術後の徹底した口腔清掃と定期検診が不可欠です。


















