NATURAL TEETH CLINIC
歯科医師 約1〜3名
バス停「宮田」からすぐそば、平戸市中心から車で27分、駐車場あり
長崎県平戸市生月町壱部浦3-1
| 診療時間 | 月 | 火 | 水 | 木 | 金 | 土 | 日 | 祝 |
|---|---|---|---|---|---|---|---|---|
| 09:00-13:00 | ||||||||
| 14:00-17:00 | ||||||||
| 14:00-18:00 | ||||||||
| 休診日:日曜・祝日 、その他不定休あり、完全予約制 | ||||||||
- 虫歯
- 歯周病
- 知覚過敏
- 根管治療
- 抜歯
- 詰め物・被せ物
「私たちが受けたい歯科治療」を。一生美味しく食べるための予防&かかりつけ歯科医院
納得のいく説明とオーダーメイドの治療計画を提案。最少の痛みと徹底した衛生管理で、あなたの大切な歯を長期間守り続けるパートナーを目指します。
治療室・設備
マイクロスコープ等の先進設備を完備。毎週スタッフ全員で1時間の清掃を行う「徹底した美化」を実践し、清潔で安全な環境での精密な治療をお約束します。
内覧・外観
患者様とのコミュニケーションを大切にし、心理学も応用した温かい対応でお迎えします。リラックスできる空間で、お悩みや理想を安心してお話しください。
歯科医師・スタッフ
院長は予防歯科の講師も務める専門家。マイクロスコープを使いこなす歯科衛生士など、全国トップレベルの技術と明るい笑顔で、お口の健康をサポートします。
事例


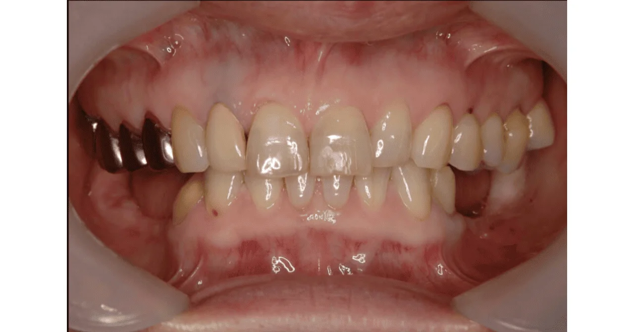
Before
After
下顎奥歯のインプラント治療
約半年 /リスク・副作用:下歯槽管損傷(術前のシミュレーションで、インプラント埋入予定位置と下歯槽管との距離を分析することで回避する)


Before
After
前歯部のインプラント治療
約10ヶ月 / 630,300円(税込)リスク・副作用:GBR(骨造成)時に切開し人口骨を補填するため腫脹や疼痛を伴うことがある。 歯の間が狭いため、歯根にインプラントが触れる可能性がある。 (術前のシミュレーションで、インプラント埋入予定位置と横の歯との距離や角度を分析することで回避する)


Before
After
下顎のインプラント(セラミック)治療
約4ヶ月 / 498,300円(税込)リスク・副作用:下歯槽管損傷 (術前のシミュレーションで、インプラント埋入予定位置と下歯槽管との距離を分析することで回避する)












