新宿かえで歯科・形成外科
歯科医師 約4〜10名
新宿西口駅から徒歩3分
東京都新宿区西新宿7-10-19 西新宿ビル401号
| 診療時間 | 月 | 火 | 水 | 木 | 金 | 土 | 日 | 祝 |
|---|---|---|---|---|---|---|---|---|
| 09:30-13:30 | ||||||||
| 10:00-13:30 | ||||||||
| 15:00-19:00 | ||||||||
| 形成外科の診療は木土のみ/GW・年末年始は休み | ||||||||
- 虫歯
- 歯周病
- 知覚過敏
- 根管治療
- 抜歯
- 詰め物・被せ物
【歯科×形成外科】完全個室の空間で、専門医が歯と肌をトータルサポート
プライバシーに配慮した完全個室制。各分野の専門医が連携し、質の高い治療と形成外科によるトータルケアを提供します。音楽家のための治療の相談も可能。
治療室・設備
会話が一切外に漏れない完全個室制。大画面モニタで資料を共有し、患者様が納得できるよう丁寧に治療を説明します。
内覧・外観
明るく清潔感のある空間で、リラックスしてお待ちいただけます。土足のまま入室可能で、プライバシーに最大限配慮しています。
歯科医師・スタッフ
患者様の生活や仕事に寄り添いプランを提案。日本に240人しかいないレーザー専門医が、高い専門性で治療を提供。
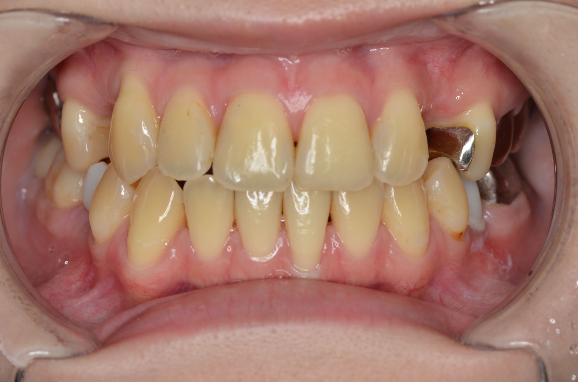
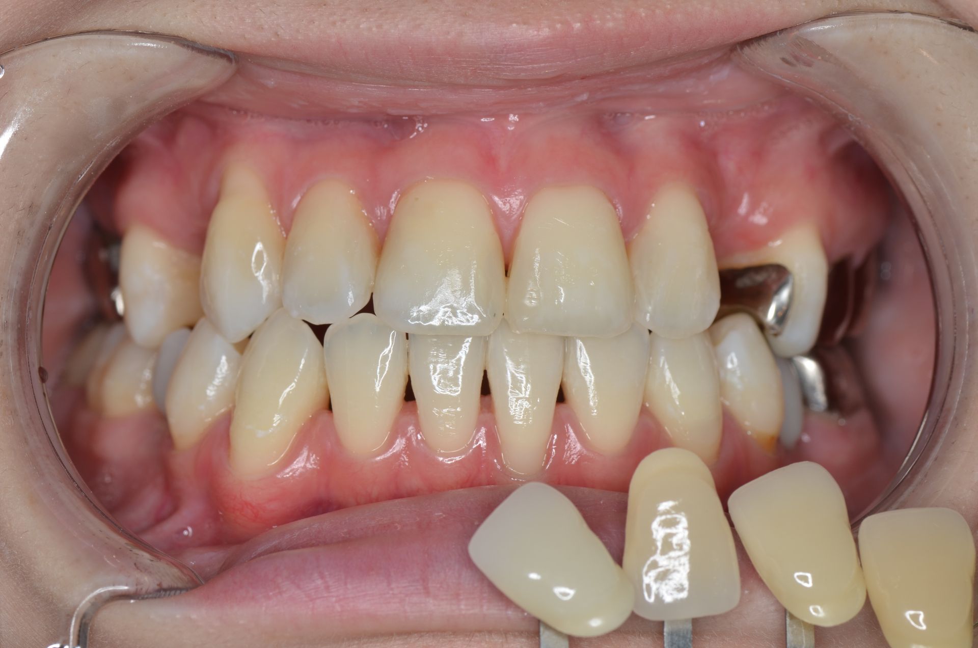
事例


Before
After
デュアルホワイトニング
約2週間、来院2回 / 総額44,000円リスク・副作用:知覚過敏


Before
After
invisalign Go(マウスピースによるプチ矯正)
2か月半~6か月(※保定期間を除く)、2~10回 / 総額440,000円リスク・副作用:後戻り


Before
After
Qスイッチルビーレーザー(シミ・ソバカス取り)
約1週間前後、1回 / 総額33,000円
対応治療・価格
マウスピース矯正(インビザライン)
料金目安(税込):約1,045,000円透明なマウスピースを段階的に交換し、歯を動かす矯正治療です。目立たず、取り外し可能なため食事や歯磨きが容易です。 ※あくまで標準的な症例の場合の目安です。 歯の状態や治療内容により、費用が異なる場合がございます。 ※検査・診断後に、治療計画と併せて正確な金額をご案内いたします。リスク・副作用:1日20時間以上の装着が必要で、守らないと治療期間が延長します。一部、適用できない難しい症例もあります。
iGO(インビザライン・ゴー)
料金目安(税込):約440,000円iGOは、前歯から小臼歯までの部分的な矯正に特化したマウスピース型矯正システムです。大きな奥歯を動かさないため、最短2ヶ月の短期間で治療が完了し、費用も抑えられます。目立たず取り外し可能というマウスピースのメリットはそのままに、エラーが少なく安全性の高いプチ矯正です。 ※あくまで標準的な症例の場合の目安です。 歯の状態や治療内容により、費用が異なる場合がございます。 ※検査・診断後に、治療計画と併せて正確な金額をご案内いたします。リスク・副作用:大きな歯の捻じれなど、大きな歯列不正には適用できません。治療を成功させるためには、マウスピースを1日20時間以上確実に装着することが必須であり、装着時間が守れないと治療は不可能となります。
アクセス
新宿かえで歯科・形成外科
歯科医師 約4〜10名
新宿西口駅から徒歩3分
東京都新宿区西新宿7-10-19 西新宿ビル401号
| 診療時間 | 月 | 火 | 水 | 木 | 金 | 土 | 日 | 祝 |
|---|---|---|---|---|---|---|---|---|
| 09:30-13:30 | ||||||||
| 10:00-13:30 | ||||||||
| 15:00-19:00 | ||||||||
| 形成外科の診療は木土のみ/GW・年末年始は休み | ||||||||























