医療法人 イースマイル国際矯正歯科 大阪四天王寺オフィス
歯科医師 約1〜3名
地下鉄谷町線 四天王寺前夕陽ケ丘駅から徒歩2分
大阪市天王寺区六万体町5-13 2F
| 診療時間 | 月 | 火 | 水 | 木 | 金 | 土 | 日 | 祝 |
|---|---|---|---|---|---|---|---|---|
| 09:00-12:30 | ||||||||
| 10:30-12:30 | ||||||||
| 14:00-17:30 | ||||||||
| 15:00-19:00 | ||||||||
| 年末年始はお休み、他の長期休みについては都度お問合せください | ||||||||
- 小児矯正
- 全体矯正
- 部分矯正
- マウスピース矯正
- クリーニング
- カウンセリング
「オーラルパワーの学校」がコンセプト。歯医者らしくない、明るくオープンな矯正歯科。
30年以上取り組む成長期の非抜歯矯正と、国内外で講演を行うインビザラインの確かな実績。専門性の高い本質的な治療で、理想のゴールを実現します。
治療室・設備
仕切りのない広々とした空間は、ドクターだけでなく他の患者様とも交流できるオープンな環境。共に励みながら楽しく通える、新しい形の診療室です。
内覧・外観
広々としたロビーに本やビデオをご用意。スタッフはスクラブを着ず、お子様が緊張せずにリラックスして過ごせる、温かみのある空間作りを行っています。
歯科医師・スタッフ
国際的な視点を持つ専門医が在籍。高い専門性とホスピタリティを兼ね備えたスタッフが、患者様の不安を安心に変え、共に理想のゴールを目指します。
事例


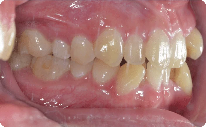
Before
After
14歳8ヵ月 男子 出っ歯を非抜歯で治療した症例
1年4ヵ月 / 総額1,220,400円リスク・副作用:矯正治療による歯の移動に伴う痛み、歯根吸収


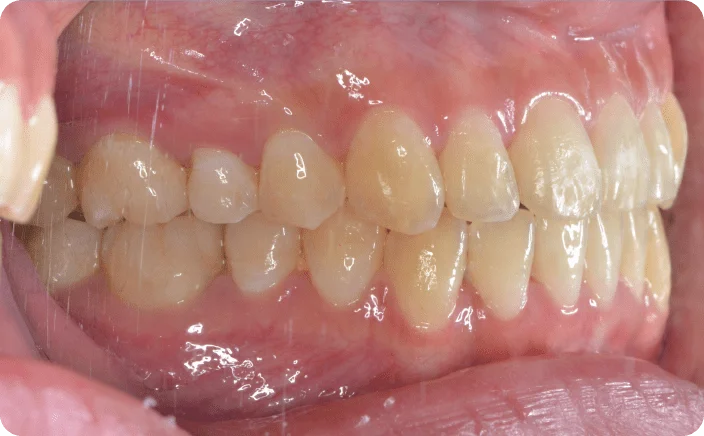
Before
After
上顎の著しい狭窄を伴う叢生を顎整形的に改善した症例
2年4ヶ月 / 総額1,301,200円リスク・副作用:上顎が骨格的に広がらないリスク、スクリューによる感染、抜歯になる可能性など


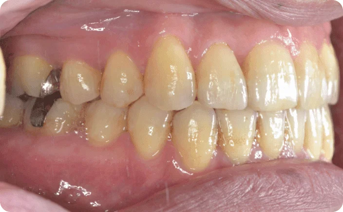
Before
After
アンカースクリューを使ってマウスピース型矯正装置(インビザライン)で治療した叢生症例
2年11ヶ月 / 総額1,434,400円リスク・副作用:アンカースクリューの感染、歯根吸収など


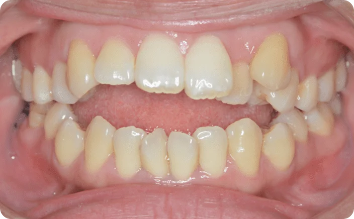
Before
After
前歯のガタガタと八重歯になっている歯列を歯列拡大を行い、第一小臼歯を抜歯して治療した症例
2年2ヶ月 / 総額1,150,000円リスク・副作用:歯根吸収、骨格的拡大の失敗


Before
After
上顎左側の八重歯と前歯部のガタガタを非抜歯で治療した症例
1年 / 総額1,188,000円リスク・副作用:矯正治療による歯の移動に伴う痛み、歯根吸収、虫歯


Before
After
舌癖と下顎骨の後退を伴う前歯部開咬症例
2年8ヵ月 / 総額1,290,000円リスク・副作用:歯根吸収、歯肉退縮など


Before
After
下顎骨の前下方への大きな成長を伴った前歯部開咬症例
1年7ヶ月 / 総額1,280,000円リスク・副作用:矯正治療による歯の移動に伴う痛み、歯根吸収


Before
After
上顎前歯部のガタガタ、反対の咬み合わせ、下顎前歯の欠損した歯列を非抜歯で治療した症例
4年2ヶ月 / 総額928,800円リスク・副作用:矯正治療による歯の移動に伴う痛み、歯根吸収


Before
After
上顎前突と過蓋咬合を、上顎大臼歯抜歯と歯槽骨再生を応用して治療した症例
2年 / 総額928,800円リスク・副作用:矯正治療による歯の移動に伴う痛み、歯根吸収、歯肉退縮


Before
After
重篤な過蓋咬合を小児からコントロールし、最終的にインビザラインで治療した症例
6年3ヶ月 / 総額770,000円リスク・副作用:歯の移動に伴う痛み、長期にわたる治療による歯根吸収、むし歯リスク
対応治療・価格
インビザライン/永久歯列期の治療
料金目安(税込):約1,100,000 〜 1,400,000円透明な装置で目立たず矯正できます。AIモニタリングが含まれ、自宅にいながら効率的な治療が可能です。 上記の金額は治療費の概算です。検査・診断後に、治療計画と併せて正確な金額をご案内いたします。 イースマイルでは毎回の処置料・管理料を含むトータルフィー制度を取っておりますので矯正治療費に関して追加の費用はかかりません。また、イースマイルの矯正治療費には遠隔管理のデンタルモニタリングシステムの費用が含まれています。リスク・副作用:マウスピースの装着時間を守る必要がありますが、痛みも少なく、清潔に理想の歯並びを目指せます。
インビザライン/乳歯期〜混合歯列期の初期治療
料金目安(税込):約600,000 〜 700,000円お子様用の透明な装置で、成長を妨げず歯並びを整えます。追加費用なしの安心な料金体系です。 上記の金額は治療費の概算です。検査・診断後に、治療計画と併せて正確な金額をご案内いたします。 イースマイルでは毎回の処置料・管理料を含むトータルフィー制度を取っておりますので矯正治療費に関して追加の費用はかかりません。また、イースマイルの矯正治療費には遠隔管理のデンタルモニタリングシステムの費用が含まれています。リスク・副作用:装着時間の確保が重要ですが、取り外して食事ができるため虫歯リスクも低く、健やかな成長を支えます。
アクセス
医療法人 イースマイル国際矯正歯科 大阪四天王寺オフィス
歯科医師 約1〜3名
地下鉄谷町線 四天王寺前夕陽ケ丘駅から徒歩2分
大阪市天王寺区六万体町5-13 2F
| 診療時間 | 月 | 火 | 水 | 木 | 金 | 土 | 日 | 祝 |
|---|---|---|---|---|---|---|---|---|
| 09:00-12:30 | ||||||||
| 10:30-12:30 | ||||||||
| 14:00-17:30 | ||||||||
| 15:00-19:00 | ||||||||
| 年末年始はお休み、他の長期休みについては都度お問合せください | ||||||||
.webp)

.webp)
.webp)



.webp)
.webp)



.webp)


