柏の葉キャンパス矯正歯科
歯科医師 約1〜3名
千葉県柏市若柴227番地6柏の葉キャンパス147街区 パークシティ柏の葉キャンパス二番街 コモンA
| 診療時間 | 月 | 火 | 水 | 木 | 金 | 土 | 日 | 祝 |
|---|---|---|---|---|---|---|---|---|
| 10:00-12:30 | ||||||||
| 14:00-18:00 | ||||||||
| 休診日:日曜日・祝日・(▲第2、第4水曜日・第1、第3木曜日)学会・研修会等への参加により休診日が変動する場合がございます。 | ||||||||
- 抜歯
- 小児矯正
- 全体矯正
- 部分矯正
- マウスピース矯正
- ホームホワイトニング
矯正専門医がじっくりとお話を伺います。丁寧なカウンセリングと安心の技術をご提供。
日本矯正歯科学会認定医が在籍。最新の3Dスキャナーを駆使し、非抜歯を優先した「美しく機能的な歯並び」を一人ひとりに合わせたプランで提供します。
治療室・設備
プライバシーに配慮した完全個室を完備。徹底した衛生管理と最新設備を整え、周囲を気にせずリラックスして安全な治療を受けていただける空間です。
内覧・外観
木の温もりあふれる家具と、大きな窓から差し込む光が明るい開放的な空間。通院が楽しみになるような、リラックスできる快適な環境でお迎えします。
歯科医師・スタッフ
丁寧なカウンセリングと安心の対応が自慢です。認定医と優しいスタッフが、患者様の不安を解消し、最後まで寄り添った温かいサポートを徹底します。
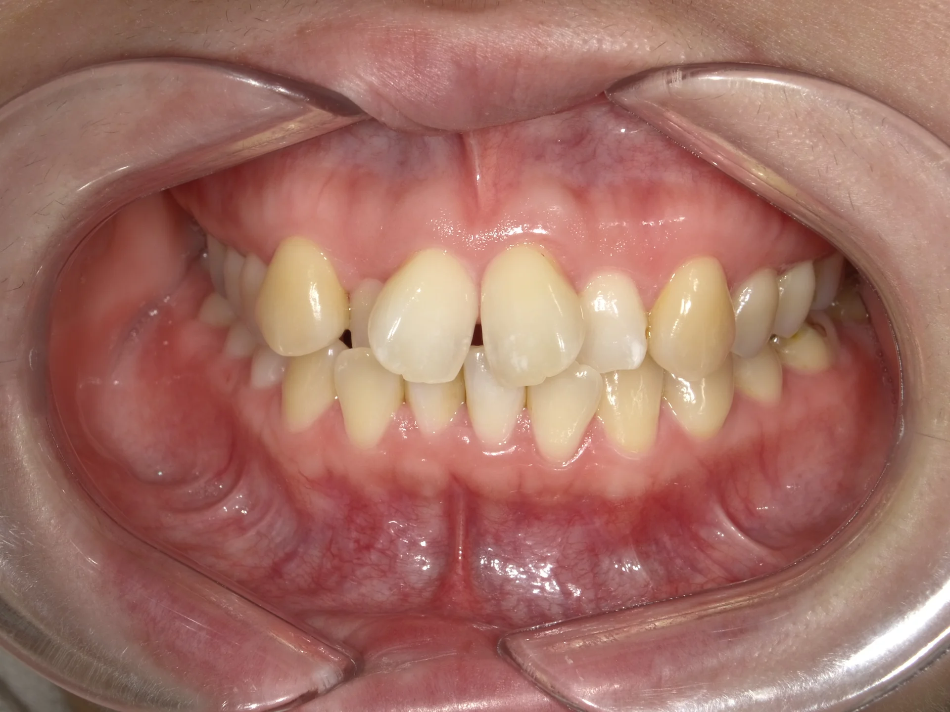
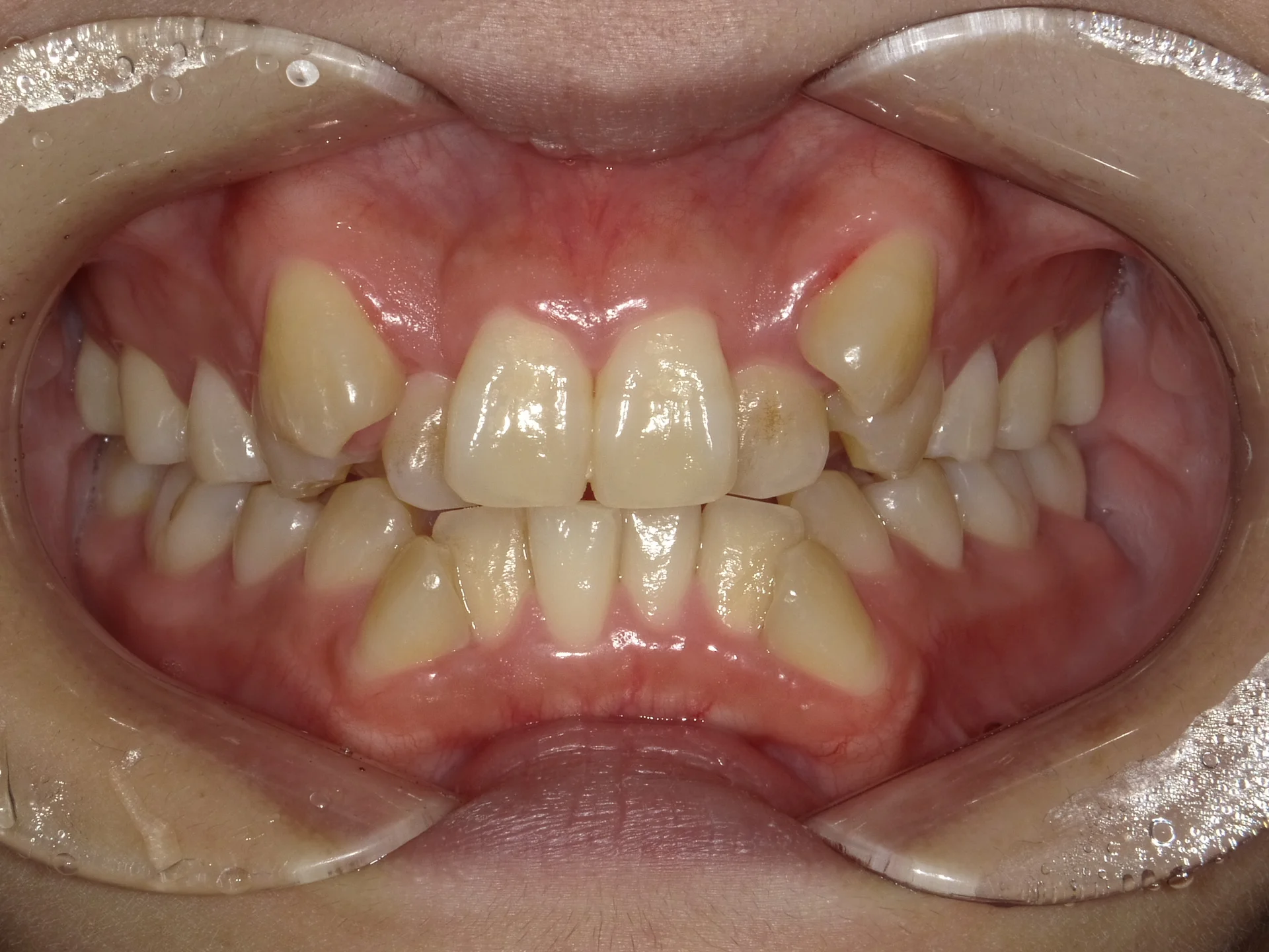
事例


Before
After
ガタツキの改善・マウスピース型矯正装置と遠隔診療ツールを使った症例
2年3ヵ月 / 1028500リスク・副作用:歯根吸収 ・歯髄壊死 ・歯肉退縮 ・後戻り ※治療効果やリスクには個人差があります。


Before
After
八重歯とガタツキの改善・表側のワイヤー矯正
1年10ヵ月 / 1001000リスク・副作用:歯根吸収 ・歯髄壊死 ・歯肉退縮 ・後戻り ※治療効果やリスクには個人差があります。
対応治療・価格
ハーフリンガル矯正/永久歯列期以降
料金目安(税込):精密検査:約49,500円、矯正費:約1,100,000円、再診料:5,500円/回(診療毎)上顎は裏側、下顎は表側に装置を装着します。見た目の美しさと、下顎の装置による舌への違和感軽減を両立させた、コストバランスの良い方法です。リスク・副作用:上下で異なる装置を使用するため、慣れるまで違和感があります。また、表側・裏側双方の注意点(清掃性や発音など)を把握する必要があります。
Ⅰ期小児矯正/小学校低学年~中・高学年
料金目安(税込):初診:無料相談、精密検査:49,500円、基本料金:約550,000円、再診料:3,300円/回(診療毎)顎の成長を助け、永久歯が正しく並ぶ土台を作る治療です。将来の抜歯リスクを減らし、二期治療を短縮または不要にすることを目指します。 小児矯正は一期治療で治療が完結しない場合、二期治療が必要となる場合があります。リスク・副作用:取り外し式装置の場合、本人の協力度で効果が左右されます。また、一期治療完了後も成長に伴い二期治療が必要になる場合があります。
アクセス
柏の葉キャンパス矯正歯科
歯科医師 約1〜3名
千葉県柏市若柴227番地6柏の葉キャンパス147街区 パークシティ柏の葉キャンパス二番街 コモンA
| 診療時間 | 月 | 火 | 水 | 木 | 金 | 土 | 日 | 祝 |
|---|---|---|---|---|---|---|---|---|
| 10:00-12:30 | ||||||||
| 14:00-18:00 | ||||||||
| 休診日:日曜日・祝日・(▲第2、第4水曜日・第1、第3木曜日)学会・研修会等への参加により休診日が変動する場合がございます。 | ||||||||




















