大宮ライズデンタルクリニック
歯科医師 約1〜3名
大宮駅西口から徒歩3分
埼玉県さいたま市大宮区桜木町1丁目3-4東栄アネックスビルⅡ5F
| 診療時間 | 月 | 火 | 水 | 木 | 金 | 土 | 日 | 祝 |
|---|---|---|---|---|---|---|---|---|
| 10:00-13:00 | ||||||||
| 14:00-18:00 | ||||||||
| 14:00-19:00 | ||||||||
| 長期休みはお問い合わせください。 | ||||||||
- 虫歯
- 歯周病
- 知覚過敏
- 根管治療
- 抜歯
- 詰め物・被せ物
無痛麻酔と短期集中治療で、歯科恐怖症の方も「また来たい」と思える精密歯科治療を提供。
静脈内鎮静法と口腔内スキャナーで嘔吐反射を軽減。ボロボロな歯列やロングスパンのセラミック難症例にも対応します。
治療室・設備
完全個室の診察室で、プライバシーと感染対策を徹底。人目を気にせず、リラックスして精密な治療を受けていただけます。
内覧・外観
緊張感を忘れさせる、くつろぎの空間。清潔感あふれる待合室でゆったりお過ごしください。
歯科医師・スタッフ
知識と経験豊富なスタッフが、患者様に寄り添い、様々な工夫と配慮で治療を徹底サポートいたします。
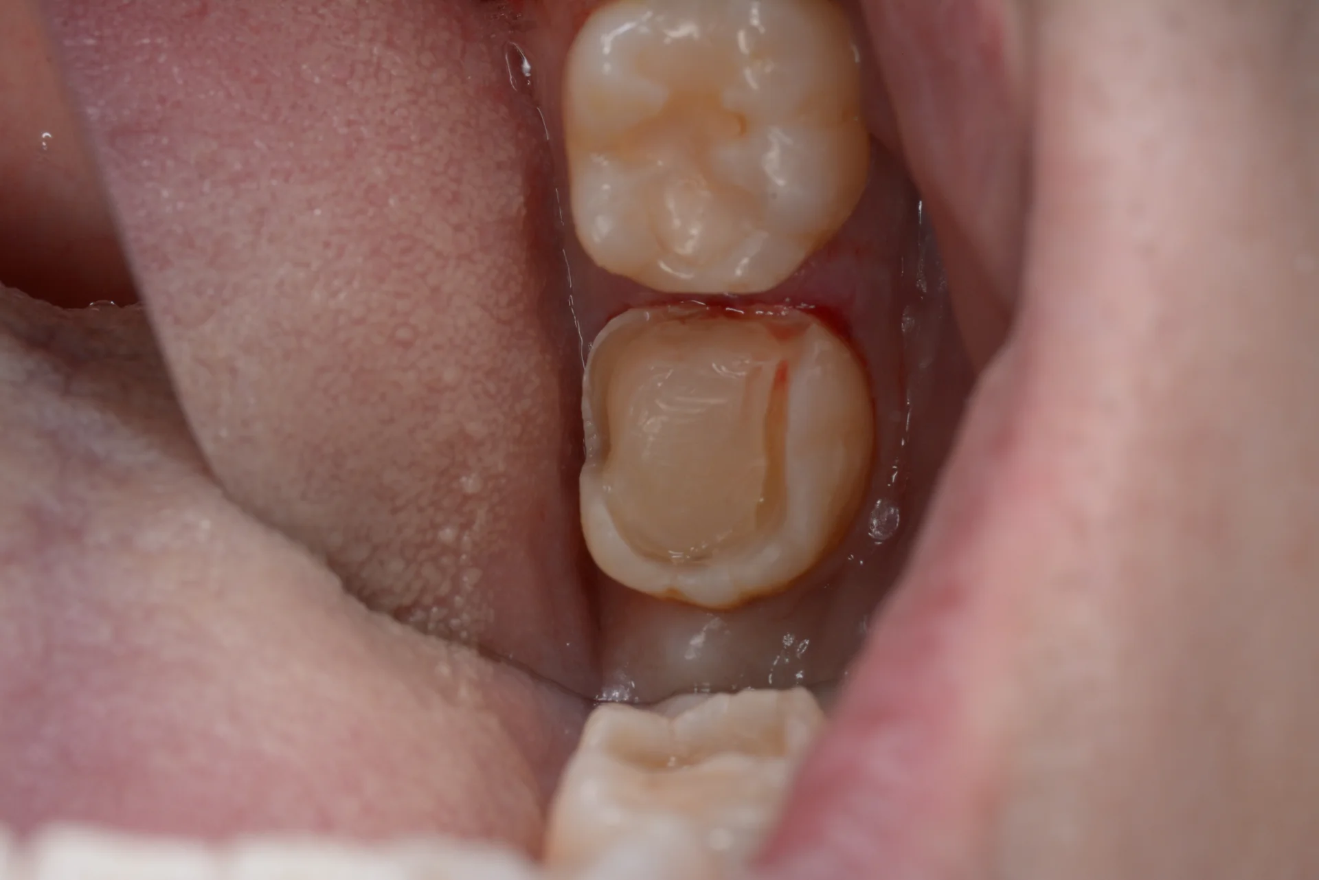
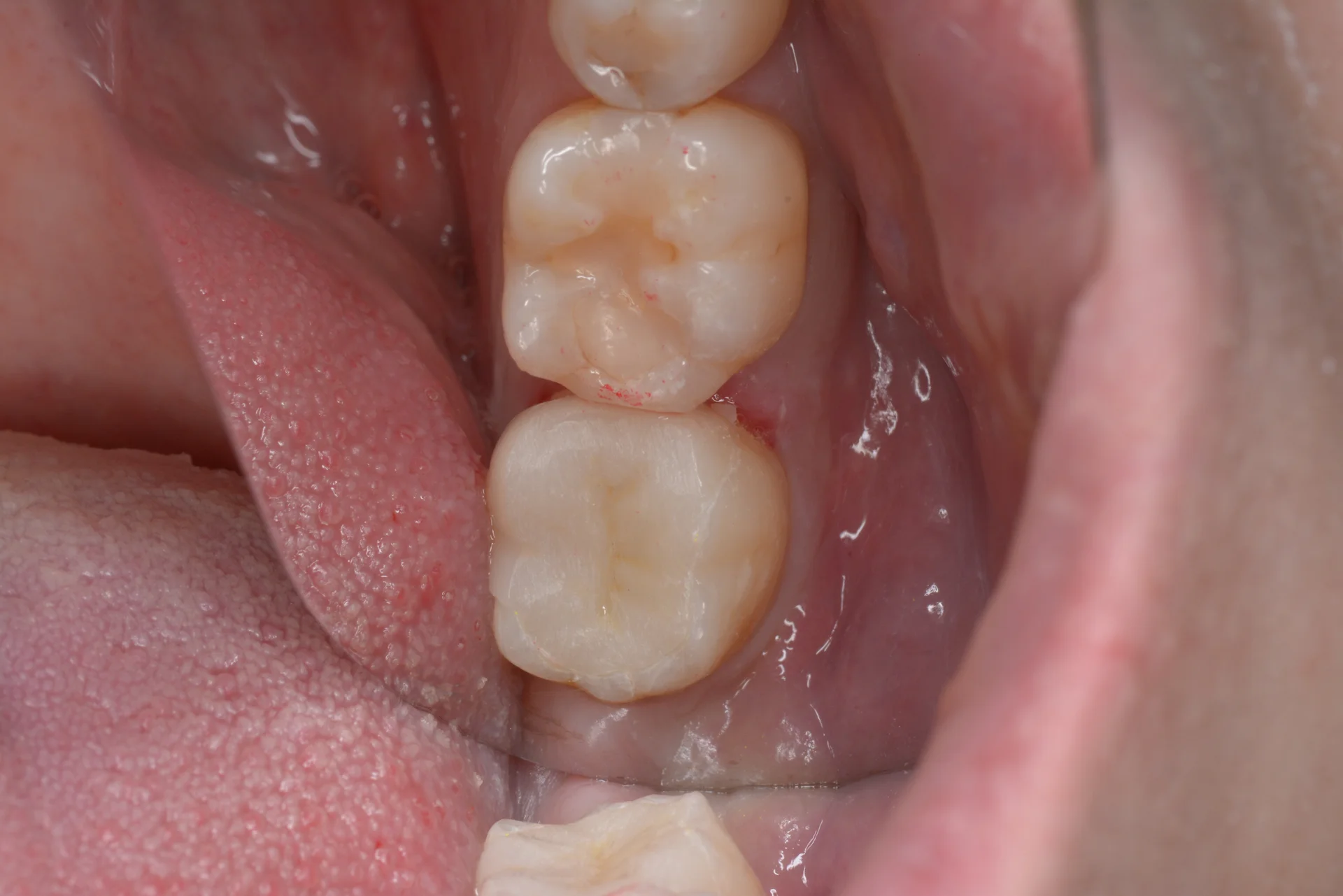
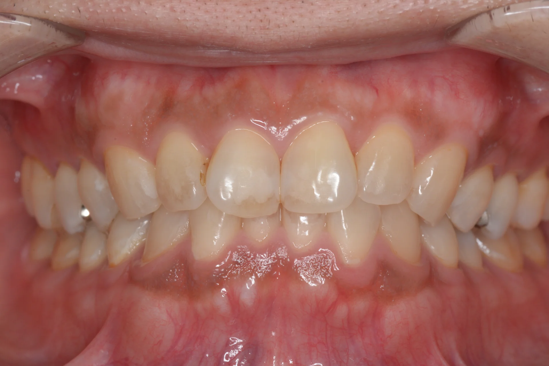
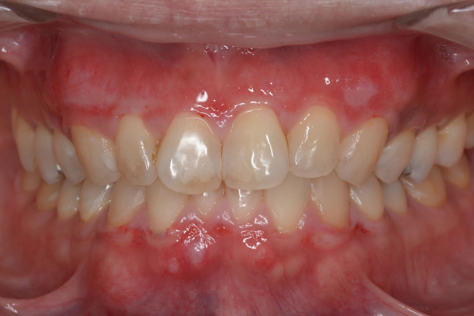
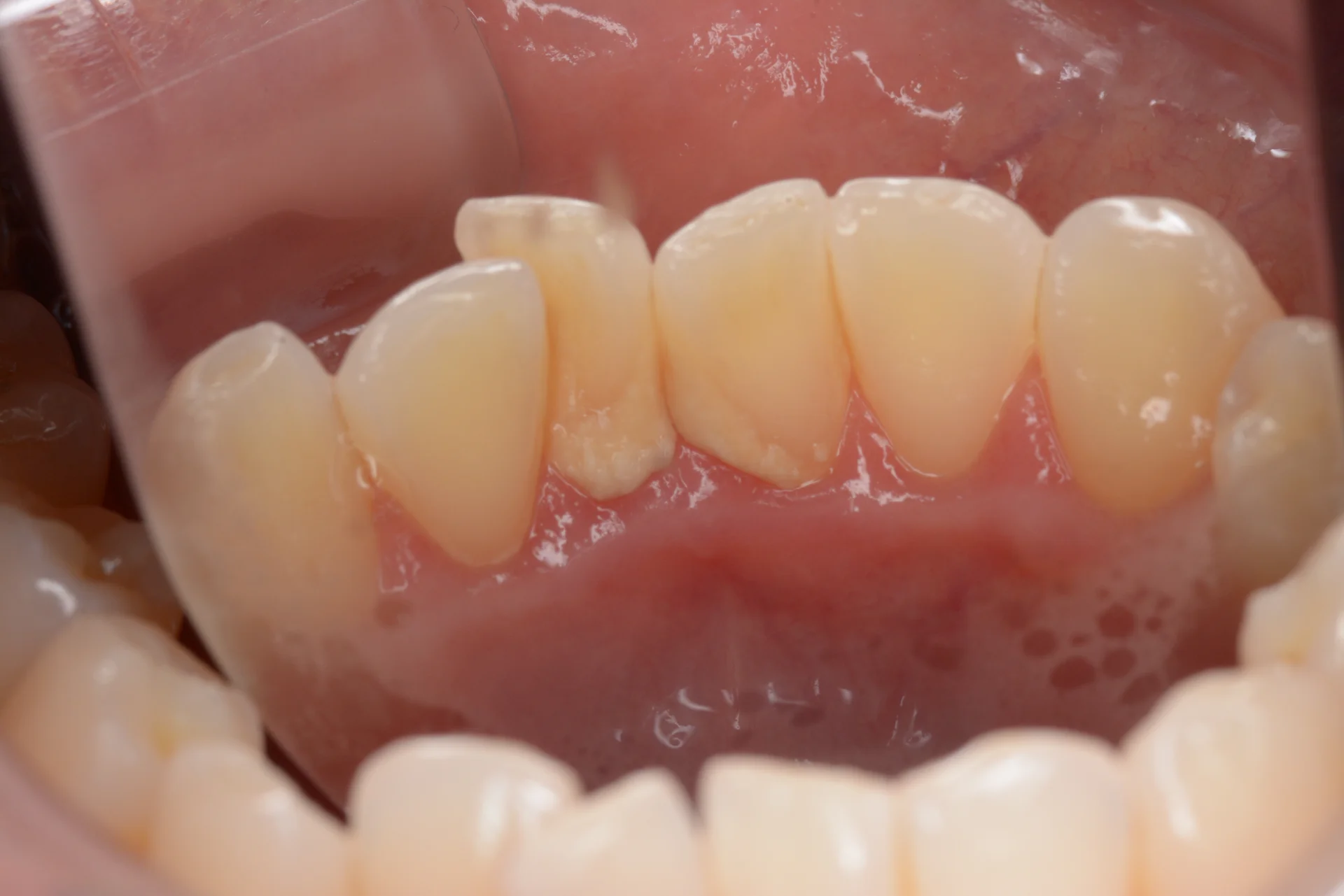
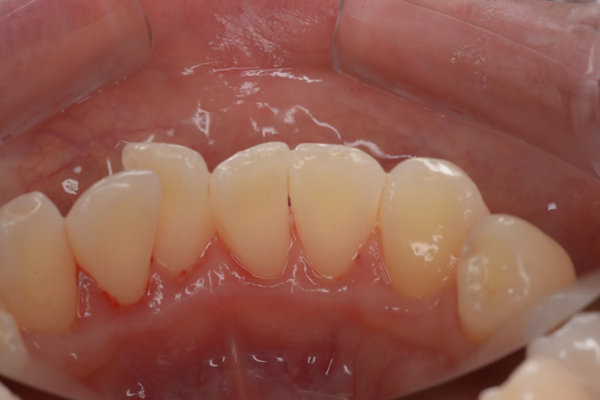
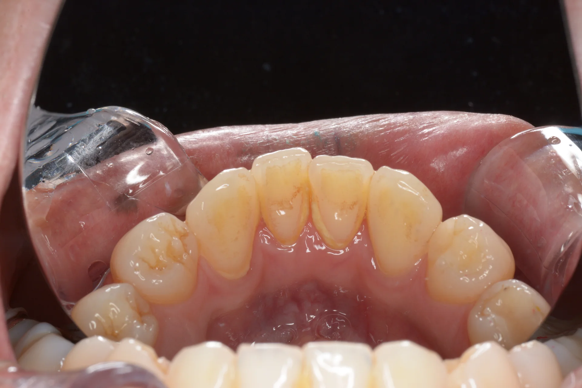
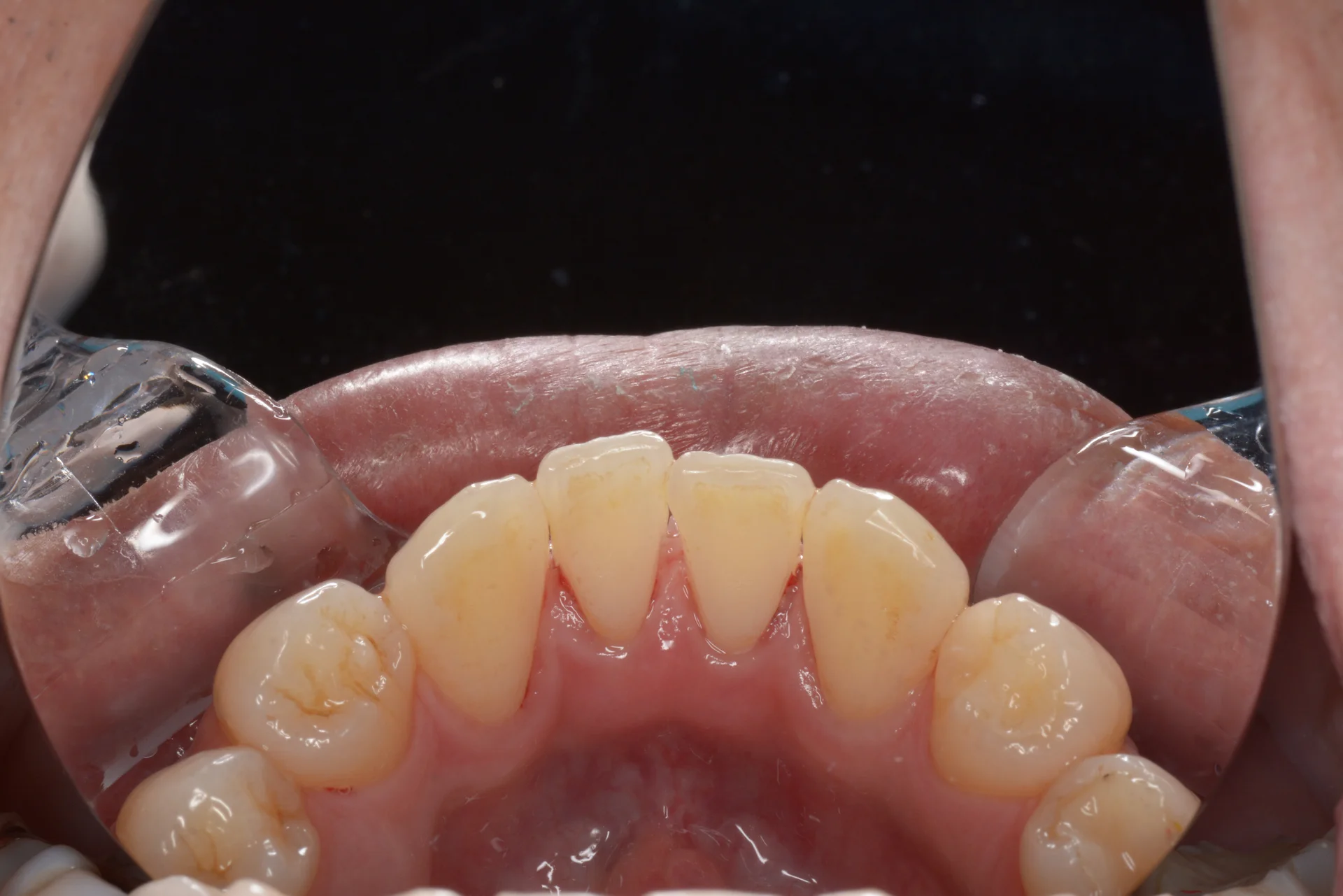
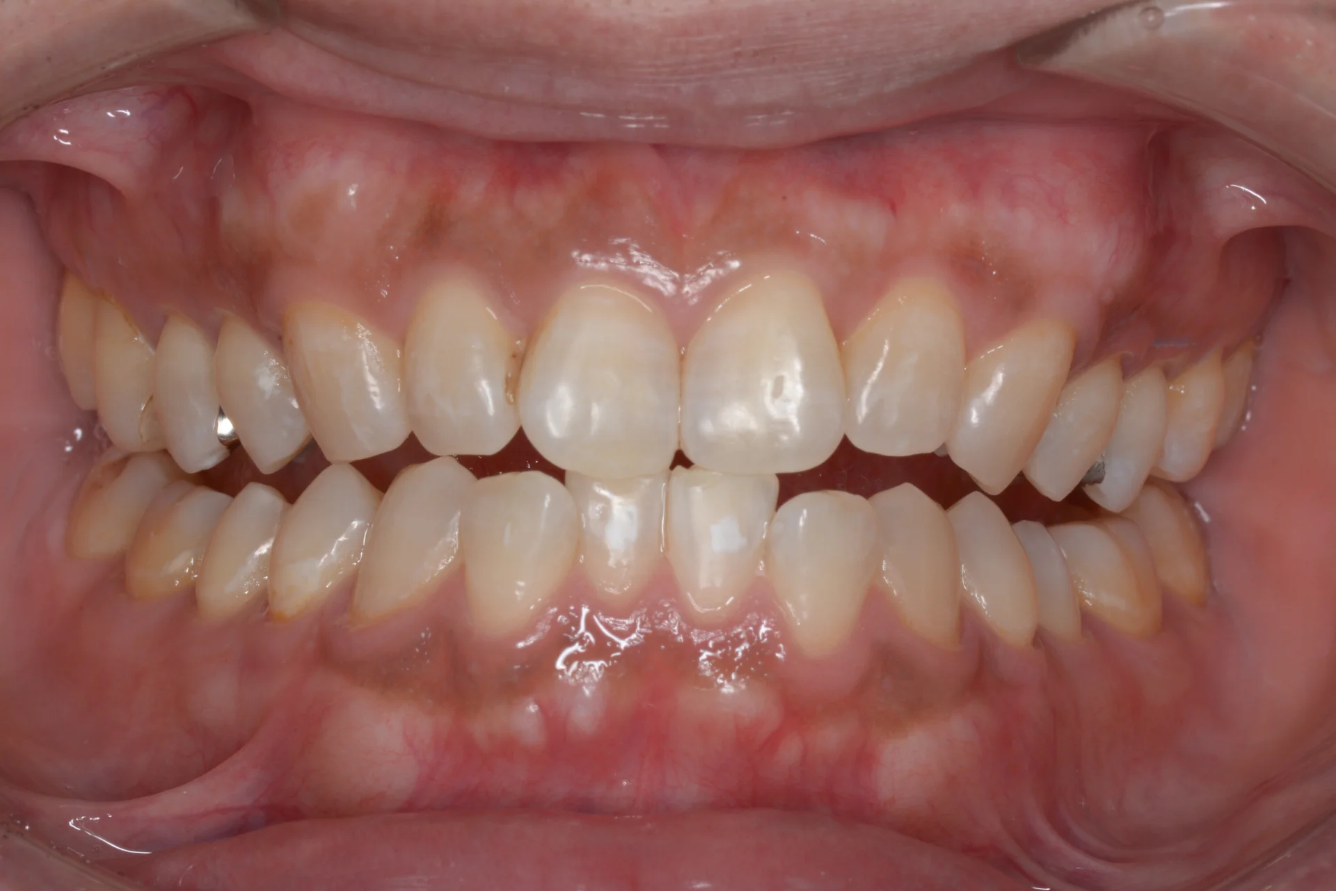
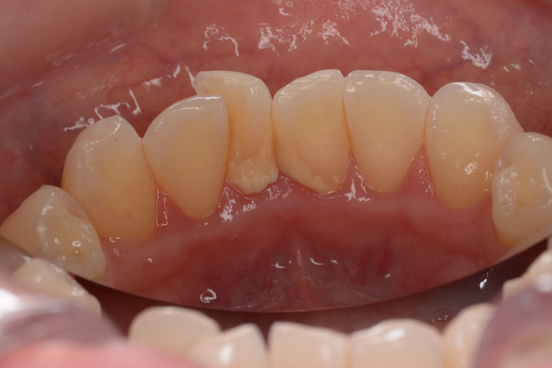
事例


Before
After
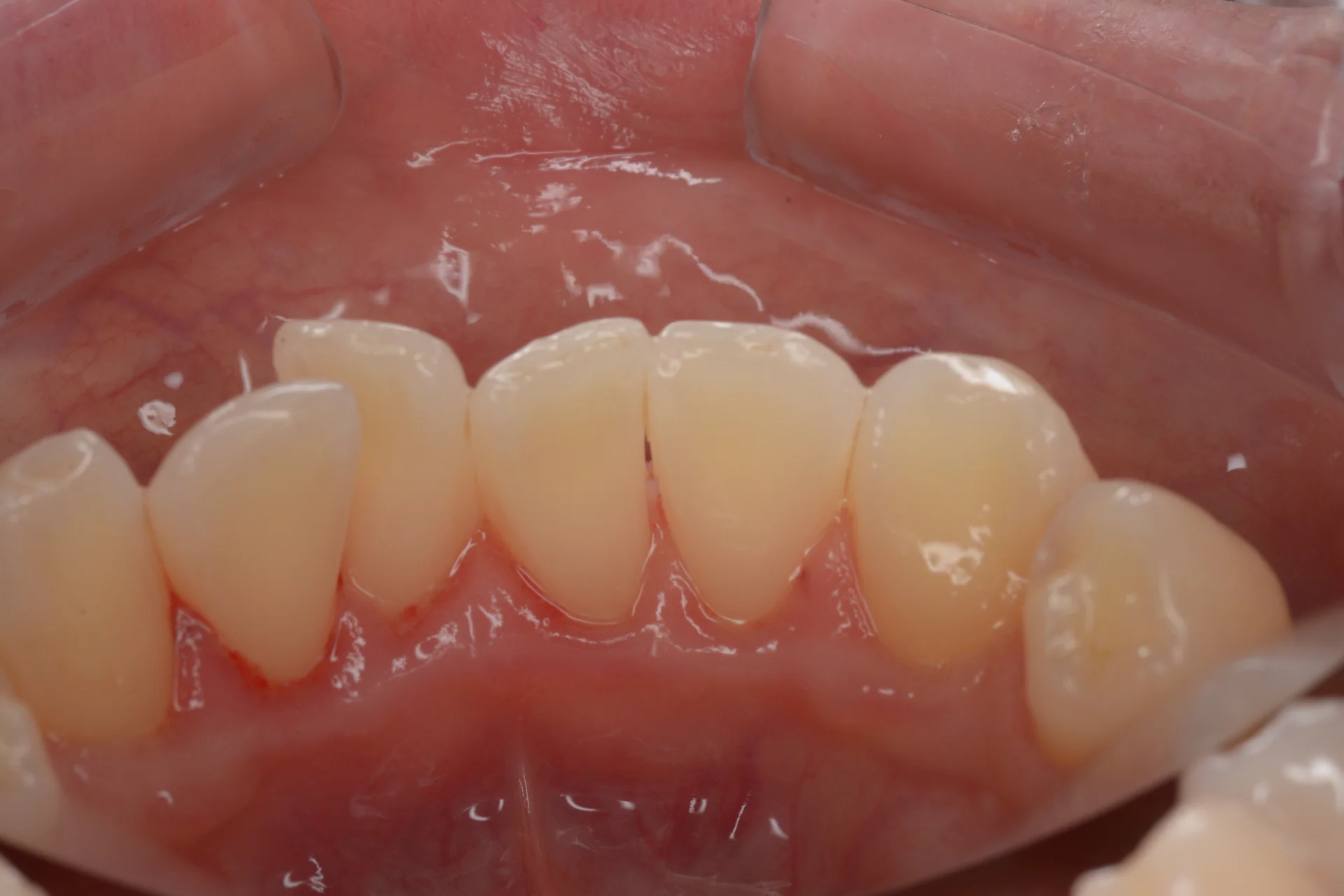
セラミックインレー
3週間、2回 / 総額66,000円リスク・副作用:嚙み合わせが強い人は割れることがあります。症例によってはマウスピースを装着してもらうこともあります。


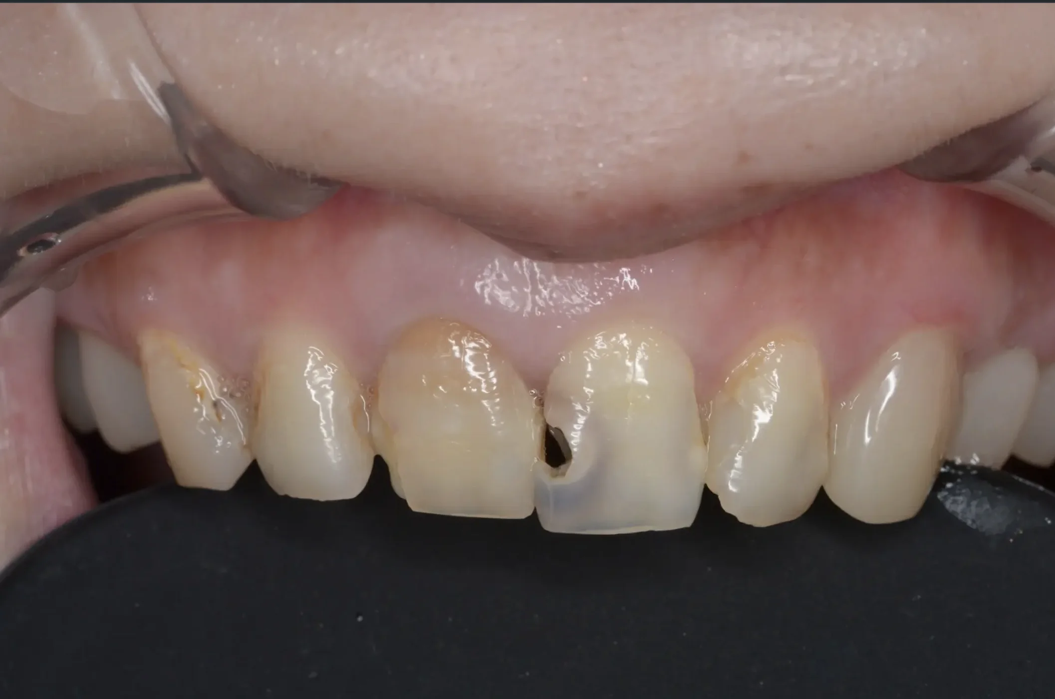
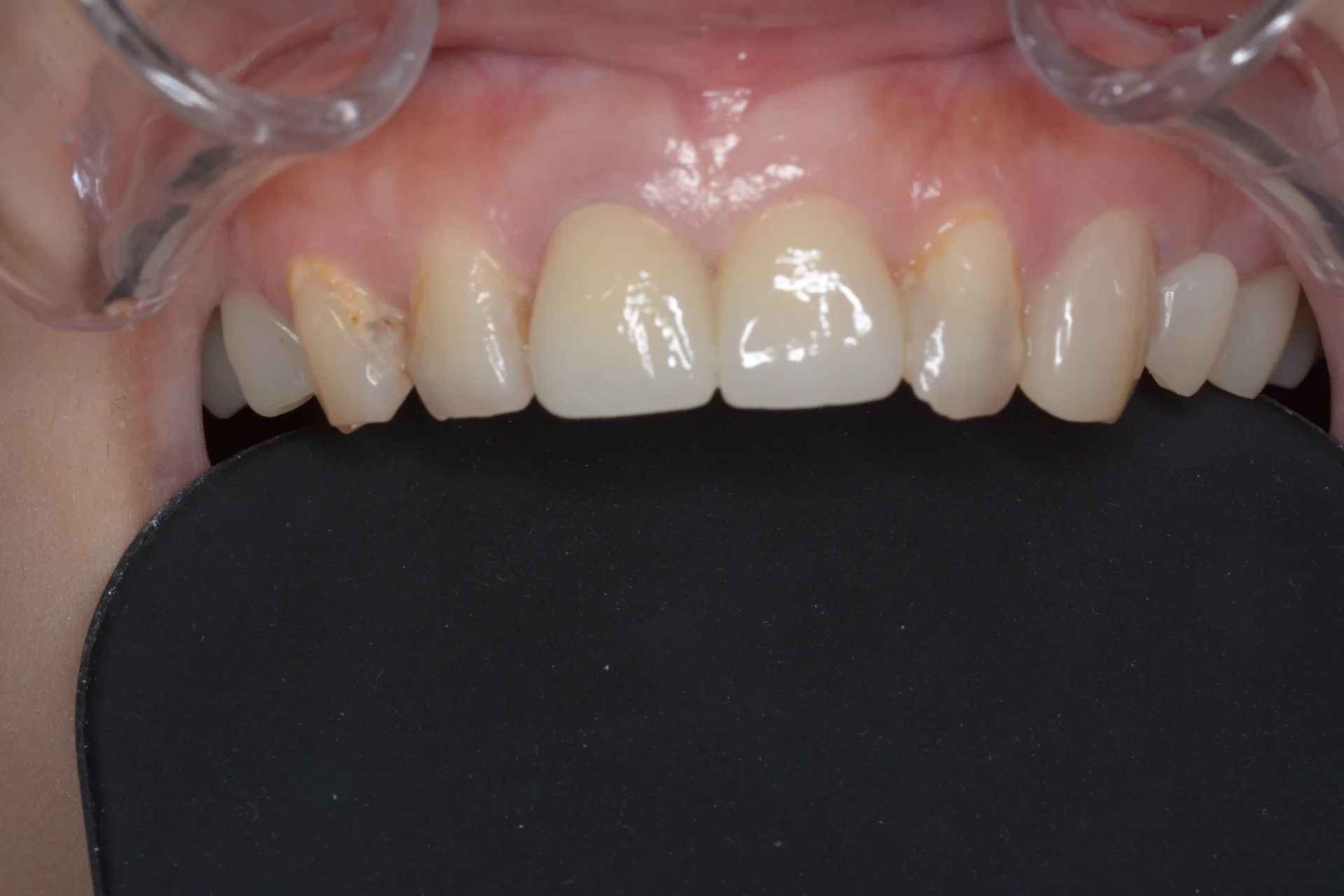
Before
After
セラミッククラウン
2か月、2回〜 / 総額110,000〜165,000円リスク・副作用:歯を削る量が多く、一時的にしみる場合があります。強い衝撃で欠けたり割れたりすることがあります。


Before
After
セラミックインレー
3週間、2回 / 総額66,000円リスク・副作用:嚙み合わせが強い人は割れることがあります。症例によってはマウスピースを装着してもらうこともあります。


Before
After
歯肉ピーリング
2週間〜1か月 / 総額22,000円リスク・副作用:処置後にヒリヒリとした痛みを感じたり、一時的に歯茎が白くなったりすることがあります。


Before
After
自費クリーニング(SC+PMTC+エアフロー)
1日 / 総額16,500円リスク・副作用:歯石除去により一時的に歯がしみることがあります。また、処置直後は着色しやすいため、色の濃い飲食は控える必要があります。


Before
After
自費クリーニング(SC+PMTC+エアフロー)
1日 / 総額16,500円リスク・副作用:歯石除去により一時的に歯がしみることがあります。また、処置直後は着色しやすいため、色の濃い飲食は控える必要があります。


Before
After
ホワイトニング
総額33,000円リスク・副作用:一時的な知覚過敏や歯肉への刺激。効果には個人差があり、詰め物・被せ物は白くなりません。


Before
After
エアフロー
1日、1回 / 総額5,500円リスク・副作用:知覚過敏による一時的な痛み、歯肉からの軽微な出血、稀に粉末の刺激による口内炎等のリスクがあります。
対応治療・価格
ホームホワイトニング
料金目安(税込):22,000円(税込)歯科医院で作成したマウスピースと低濃度の薬剤を自宅で装着し、ご自身のペースで歯を白くしていく方法。リスク・副作用:一時的な知覚過敏や歯肉への刺激。効果には個人差があり、詰め物・被せ物は白くなりません。
オフィスホワイトニング
料金目安(税込):33,000円(税込)歯科医院で高濃度の薬剤を塗り、特殊な光を照射して歯を白くする方法。短時間で効果を実感できます。リスク・副作用:一時的な知覚過敏や歯肉への刺激。効果には個人差があり、詰め物・被せ物は白くなりません。










.webp)























