医療法人 イースマイル国際矯正歯科 大阪梅田オフィス
歯科医師 約1〜3名
阪急大阪梅田駅から徒歩2分
大阪府大阪市北区角田町7-10 HEP ナビオ 6F(阪急メンズ館ウェルネスモール)
| 診療時間 | 月 | 火 | 水 | 木 | 金 | 土 | 日 | 祝 |
|---|---|---|---|---|---|---|---|---|
| 09:00-12:30 | ||||||||
| 10:30-12:30 | ||||||||
| 14:00-17:30 | ||||||||
| 15:00-19:00 | ||||||||
| 年末年始はお休み、他の長期休みについては都度お問合せください | ||||||||
- 小児矯正
- 全体矯正
- 部分矯正
- マウスピース矯正
- クリーニング
- カウンセリング
「オーラルパワーの学校」がコンセプト。歯医者らしくない、明るくオープンな矯正歯科。
30年以上取り組む成長期の非抜歯矯正と、国内外で講演を行うインビザラインの確かな実績。専門性の高い本質的な治療で、理想のゴールを実現します。
治療室・設備
仕切りのない広々とした空間は、ドクターだけでなく他の患者様とも交流できるオープンな環境。共に励みながら楽しく通える、新しい形の診療室です。
内覧・外観
ゆとりある広々としたロビーには、選りすぐりの本やゲームコーナーもご用意。お子様から大人まで、診察前後の時間をリラックスして過ごせる開放的な空間です。
歯科医師・スタッフ
ゆとりある広々としたロビーには、選りすぐりの本やゲームコーナーもご用意。お子様から大人まで、診察前後の時間をリラックスして過ごせる開放的な空間です。
事例


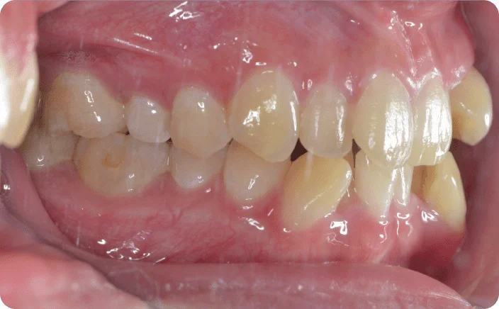
Before
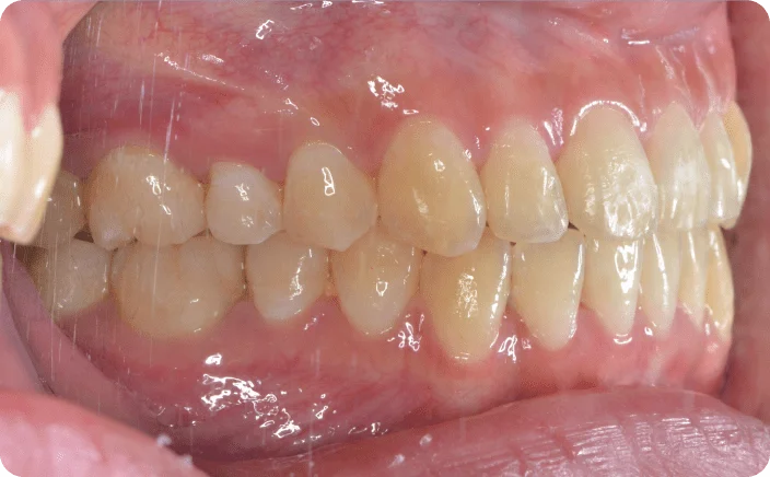
After
14歳8ヵ月 男子 出っ歯を非抜歯で治療した症例
1年4ヵ月 / 総額1,220,400円リスク・副作用:矯正治療による歯の移動に伴う痛み、歯根吸収


Before
After
上顎の著しい狭窄を伴う叢生を顎整形的に改善した症例
2年4ヶ月 / 総額1,301,200円リスク・副作用:上顎が骨格的に広がらないリスク、スクリューによる感染、抜歯になる可能性など


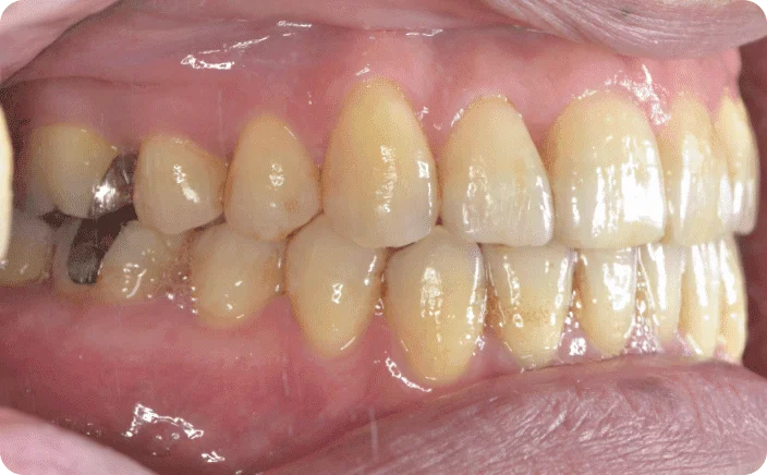
Before
After
アンカースクリューを使ってマウスピース型矯正装置(インビザライン)で治療した叢生症例
2年11ヶ月 / 総額1,434,400円リスク・副作用:アンカースクリューの感染、歯根吸収など


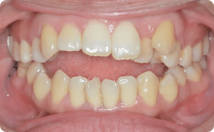
Before
After
前歯のガタガタと八重歯になっている歯列を歯列拡大を行い、第一小臼歯を抜歯して治療した症例
2年2ヶ月 / 総額1,150,000円リスク・副作用:歯根吸収、骨格的拡大の失敗


Before
After
上顎左側の八重歯と前歯部のガタガタを非抜歯で治療した症例
1年 / 総額1,188,000円リスク・副作用:矯正治療による歯の移動に伴う痛み、歯根吸収、虫歯


Before
After
舌癖と下顎骨の後退を伴う前歯部開咬症例
2年8ヵ月 / 総額1,290,000円リスク・副作用:歯根吸収、歯肉退縮など


Before
After
下顎骨の前下方への大きな成長を伴った前歯部開咬症例
1年7ヶ月 / 総額1,280,000円リスク・副作用:矯正治療による歯の移動に伴う痛み、歯根吸収


Before
After
上顎前歯部のガタガタ、反対の咬み合わせ、下顎前歯の欠損した歯列を非抜歯で治療した症例
4年2ヶ月 / 総額928,800円リスク・副作用:矯正治療による歯の移動に伴う痛み、歯根吸収


Before
After
上顎前突と過蓋咬合を、上顎大臼歯抜歯と歯槽骨再生を応用して治療した症例
2年 / 総額928,800円リスク・副作用:矯正治療による歯の移動に伴う痛み、歯根吸収、歯肉退縮


Before
After
重篤な過蓋咬合を小児からコントロールし、最終的にインビザラインで治療した症例
6年3ヶ月 / 総額770,000円リスク・副作用:歯の移動に伴う痛み、長期にわたる治療による歯根吸収、むし歯リスク
対応治療・価格
初診・オフィスコンサルテーションのみ
料金目安(税込):5,500円(税込) 約60分日本矯正歯科学会認定医で、インビザライン公認クリニカルスピーカーのドクターと、セミナー講師経験もあるトリートメントコーディネーターが、治療前のあらゆる疑問にお答えします。リスク・副作用:口腔内診査およびiTero Elementによるスキャン、シミュレーションを行いますが、治療方針の決定にはレントゲン等の精密検査が必要になります。
初診・オフィスコンサルテーション & 精密検査(同日実施)
料金目安(税込):66,000円(税込) 約90分オフィスコンサルテーションの費用が無料 イースマイル国際矯正歯科のオフィスコンサルテーションは、シミュレーションや精密検査なども一度にできる、治療開始への第一歩。治療前のあらゆる疑問に直接対面で丁寧にお答えします。リスク・副作用:精密検査・分析結果により、複数の治療方針をご案内する場合がございます。
アクセス
医療法人 イースマイル国際矯正歯科 大阪梅田オフィス
歯科医師 約1〜3名
阪急大阪梅田駅から徒歩2分
大阪府大阪市北区角田町7-10 HEP ナビオ 6F(阪急メンズ館ウェルネスモール)
| 診療時間 | 月 | 火 | 水 | 木 | 金 | 土 | 日 | 祝 |
|---|---|---|---|---|---|---|---|---|
| 09:00-12:30 | ||||||||
| 10:30-12:30 | ||||||||
| 14:00-17:30 | ||||||||
| 15:00-19:00 | ||||||||
| 年末年始はお休み、他の長期休みについては都度お問合せください | ||||||||






.webp)


.webp)


