YOKOHAMA SMILE DESIGN
横浜駅西口より徒歩3分
神奈川県横浜市西区北幸2-1-22 ナガオカビル3F
| 診療時間 | 月 | 火 | 水 | 木 | 金 | 土 | 日 | 祝 |
|---|---|---|---|---|---|---|---|---|
| 09:00-13:00 | ||||||||
| 14:00-17:00 | ||||||||
| 休診日: 木曜・日曜・祝日。受付は診療時間の30分前まで。完全予約制。 | ||||||||
- 虫歯
- 歯周病
- 根管治療
- 抜歯
- 詰め物・被せ物
- 差し歯/ブリッジ
一人ひとりとじっくり向き合う。完全自由診療で最高の笑顔をデザインする。
「あなたを笑顔で幸せにしたい」が理念。自由診療だからこそ可能な、時間をかけた丁寧なカウンセリングと精密な治療で、理想の口元を形にします。
治療室・設備
最新のデジタル設備を完備し、精密かつ安全な治療を追求。清潔で快適な空間にて、最先端の技術を用いた、低侵襲で質の高い歯科医療を提供いたします。
内覧・外観
洗練された、心安らぐリラックス空間。完全予約制で待ち時間も少なく、治療前のひとときをゆったりと優雅にお過ごしいただけます。
歯科医師・スタッフ
笑顔をデザインするプロとして、高度な専門技術と豊富な経験を凝縮。精密な診断と卓越した審美眼で、患者様の「なりたい笑顔」を共に作り上げます。
事例


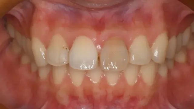
Before
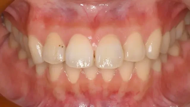
After
矯正治療終了後、歯肉形成とラミネートベニア治療を行い、前歯部の審美性を改善
約3ヶ月 / 総額:初診料約11,000円、精密検査約77,000円、歯肉切除代約50,000円(2本分)、ラミネートベニア代約330,000円(2本分)リスク・副作用:修復物の破折・脱落、歯茎の退縮、接着部の変色


Before
After
矯正治療終了後、前歯部の審美性を改善
約2ヶ月 / 総額:初診料約11,000円、精密検査約77,000円、ラミネートベニア代約330,000円(2本分)リスク・副作用:修復物の破折・脱落、歯茎の退縮、接着部の変色


Before
After
酸蝕による審美障害をセラミックにて改善
約1年10ヶ月 / 総額約400万円 (診断料、仮歯、右下第2大臼歯インプラント、根管治療、ジルコニアクラウン含む)リスク・副作用:修復物の破折・脱落、歯茎の退縮、接着部の変色 インプラント周囲炎


Before
After
下顎前歯の隙間を接着ブリッジで治療した症例
2回 / 総額:接着ブリッジ治療 約284,000円 (1本約142,000円)リスク・副作用:修復物の破折・脱落、歯茎の退縮、接着部の変色


Before
After
銀歯で治療してある歯を1DAYセラミック(CEREC)で治療
1回(約2時間) / 総額:1DAYセラミック(CEREC)治療 約231,000円 (1本約77,000円)リスク・副作用:修復物の破折・脱落、歯茎の退縮、接着部の変色 歯肉が炎症を起こしている方はまず歯肉炎歯周病の治療が必要


Before
After
歯の失活による変色をホワイトニングと併用してジルコニアクラウンで治療
約10ヶ月 / 総額約400万円リスク・副作用:義歯・修復物の破折・脱落、歯茎の退縮、接着部の変色


Before
After
下顎臼歯部欠損をインプラント治療で機能回復
約1年6ヶ月 / 総額約250万円 (右下インプラント2本、左下インプラント2本)リスク・副作用:修復物の破折・脱落、歯茎の退縮、インプラント周囲炎


Before
After
上顎の前歯の変色をウォーキングブリーチで改善
4回(約1ヶ月) / 総額:ウォーキングブリーチ1本 約38,500円、漂白剤の交換費用 1回ごとに約3,300円リスク・副作用:十分に色が変化しない 後戻り


Before
After
歯の形態とバランスの改善を目的に上顎の小臼歯から前歯8本をラミネートベニアで治療
約2ヶ月 / 総額:診断料約2,2000円、ラミネートベニア代 約1,320,000円(8本分)リスク・副作用:修復物の破折・脱落、歯茎の退縮、接着部の変色


Before
After
すきっ歯を埋めていたプラスチックの破折をノンプレップ(削らない)ラミネートベニアで審美的に改善
約2ヶ月 / 総額:診断料約2,2000円、ラミネートベニア代 約330,000円(2本分)リスク・副作用:修復物の破折・脱落、歯茎の退縮、接着部の変色
対応治療・価格
初診料 (コンサルテーションと簡易検査)
料金目安(税込):約16,500円(税込)医院の方針についてご説明し、十分な時間をとってカウンセリングを行います。現在の状態、過去の治療経験、治療に対するニーズを伺い、患者さまにとって真の問題解決となる糸口を探します。リスク・副作用:なし
精密検査(検査 結果説明 治療計画相談)
料金目安(税込):約77,000円(税込)①現状認識と原因を把握するための6種類の検査を行います。 ②検査結果説明と現状の把握 (60分)現状をどう変えていきたいかといったご希望もお伺いします。 ③治療計画説明(60分)患者さまにとって最適・最善と思われる治療法をご提案し、十分な情報提供を行います。 歯科医師と患者さまが話し合い、共同作業により治療計画を決定します。リスク・副作用:なし



















