横浜いわき歯科
横浜駅西口より徒歩3分
神奈川県横浜市西区北幸二丁目1番22号 ナガオカビル6階
| 診療時間 | 月 | 火 | 水 | 木 | 金 | 土 | 日 | 祝 |
|---|---|---|---|---|---|---|---|---|
| 09:00-13:00 | ||||||||
| 14:00-16:00 | ||||||||
| 14:00-17:00 | ||||||||
| 14:00-18:00 | ||||||||
| 休診日: 木曜・日曜・祝日。受付は診療時間の30分前まで。完全予約制。 | ||||||||
- 虫歯
- 歯周病
- 知覚過敏
- 根管治療
- 抜歯
- 詰め物・被せ物
「歯から人生を明るくする」を理念に、根拠ある最新技術と温かな対話で人生を彩ります。
人生100年時代を見据え、その場限りではない根本治療を。科学的根拠に基づいた診断で、大切な歯を長く守ります。あなたの人生に寄り添う一生のパートナー。
治療室・設備
先進の3D技術やマイクロスコープ、滅菌設備を完備。世界基準の衛生管理と、痛みを抑える配慮を徹底した、安心・安全に治療を受けられる空間です。
内覧・外観
落ち着いた雰囲気のロビーで、リラックスして診療をお待ちいただけます。患者様が心身ともにゆったりと過ごせる空間づくりを大切にしています。
歯科医師・スタッフ
「歯から人生を明るくする」理念のもと、全スタッフが高いホスピタリティで対応。痛みに配慮した快適な治療を、専門知識と優しさを持って提供します。
事例


Before
After
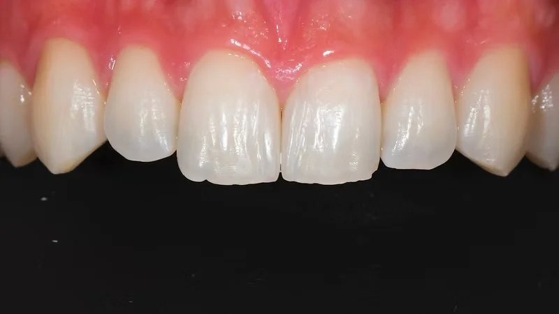
銀歯で治療してある歯を1DAYセラミック
1回(約2時間) / 総額231,000円(1本 77,000円)リスク・副作用:修復物の破折・脱落、歯茎の退縮、接着部の変色 歯肉が炎症を起こしている方はまず歯肉炎歯周病の治療が必要 当院ではCERECというCAD/CAM機器を使用した1DAYセラミック治療を得意としており、スタッフは全員この治療法に精通しております。また、院長は同業の歯科医師に対してCERECに関する講演やライブデモを数多く行なっています。CEREC治療は非常にテクニカルセンシティブな治療ですが、術前の適切な診断と精密な治療、適切なメンテナンスをすることにより長期にわたる良好な予後が期待できる治療です。 銀歯がコンプレックスでうまく笑えない方、歯をより美しくしたい方は当院にご相談ください。


Before
After
下顎臼歯部欠損をインプラント治療で機能回復
約1年6ヶ月 / 総額約250万円 (右下インプラント2本、左下インプラント2本)リスク・副作用:修復物の破折・脱落、歯茎の退縮、インプラント周囲炎 不幸にして歯を失った場合、機能回復の手段はいくつかありますが、インプラント治療は最も効果的な治療の1つです。しかしながら、必ずしも全ての方に最適な治療法ではないため、治療前の診査診断、患者さんとの相談をしっかりと行う必要があります。また、治療期間中のQOL(quality of life)をなるべく下げないように配慮することを心がけております。 インプラントを検討されている方は当院にご相談ください。


Before
After
すきっ歯を埋めていたプラスチックの破折をノンプレップ(削らない)ラミネートベニアで審美的に改善
約2ヶ月 / 金額 診断料:約22,000円、ラミネートベニア代:約330,000円(2本分)リスク・副作用:修復物の破折・脱落、歯茎の退縮、接着部の変色 ラミネートベニア治療は適切な診断を行えば、すきっ歯や軽度の歯並びの乱れ、歯の大きさの違いや変色など軽度の審美障害を最小限の切削量で改善できます。


Before
After
歯の失活による変色をホワイトニングと併用してジルコニアクラウンで治療
約3ヶ月 / 金額 ファイバーポスト:約27,500円、仮歯:約22,000円、オフィスホワイトニング:約66,000円、ジルコニアクラウン:約165,000円リスク・副作用:修復物の破折・脱落、歯茎の退縮、接着部の変色 ホワイトニングした歯の知覚過敏と色の後戻り 当院でのオールセラミッククラウン治療ではただ単純に削って被せる治療を行うのではなく、歯の色調や形態、機能性、他の歯とのバランス、患者さんの希望を総合的に考慮して行います。術前の診断と精密な治療、適切なメンテナンスによって長期にわたる良好な予後が期待できる治療です。 前歯がコンプレックスでうまく笑えない方、歯並び・スマイルラインをより美しくしたい方は当院にご相談ください。


Before
After
破折が原因で抜歯した歯をインプラントで補綴
約4ヶ月 / 金額 CT撮影:約17,500円、インプラント手術費:約275,000円、サージカルガイド:約66,000円、GBR:約88,000円、インプラント仮歯:約55,000円、インプラント上部構造:約220,000円リスク・副作用:術後の腫れや痛み、上部構造の破折・脱落、歯茎の退縮、インプラント周囲炎 インプラント体の脱落 当院のインプラント治療は術前の診査をきちんと行い、機能的かつ審美的であるのはもちろんのこと、患者さんの御希望に寄り添った方法で行うことを心がけております。


Before
After
酸蝕による審美障害をセラミックにて改善
4回(約1ヶ月) / 総額約400万円 (診断料、仮歯、右下第2大臼歯インプラント、根管治療、ジルコニアクラウン含む)リスク・副作用:修復物の破折・脱落、歯茎の退縮、接着部の変色 インプラント周囲炎 酸蝕症は日常で時々遭遇する疾患です。酸性の強い飲み物や食べ物(炭酸水、レモン等)を習慣的に摂取する方や逆流性食道炎などで歯が胃酸に晒される機会が多い方に見受けられます。今回のような審美障害だけでなく、咬みにくい等の機能障害を訴える方もいらっしゃいます。このような場合、術前の診査で適切な咬み合わせの位置や歯の形態をしっかりと決めることが重要です。また、歯ぎしりがある方は術後の力のコントロールも考慮しなければなりません。 歯がコンプレックスでうまく笑えない方、歯並び・スマイルラインをより美しくしたい方は当院にご相談ください。


Before
After
歯の失活による変色をホワイトニングと併用してジルコニアクラウンで治療
約10ヶ月 / 総額約400万円リスク・副作用:義歯・修復物の破折・脱落、歯茎の退縮、接着部の変色 インプラントは優れた治療法ですが、必ずしも第一選択でない場合もあります。また、このような咬み合わせが崩壊した症例では、術前の診査・診断が特に重要です。術前に複数回にわたって診査・診断・コンサルテーションを行うことは一見、遠回りのように見えます。しかし、ゴールがきちんと決まることで治療が滞りなくすすみ、結果的に治療期間の短縮や長期的に安定した結果につながります。当院にはこうした全顎的な補綴治療を得意とする歯科医師が多く在籍しています。ただ。単純に削って被せる治療を行うのではなく、機能性・審美性・患者さんの希望を総合的に考慮して行います。 歯がボロボロでうまく咬めない方、歯並び・スマイルラインをより美しくしたい方は当院にご相談ください。
対応治療・価格
マイクロセレック(1DAYセラミック修復)
料金目安(税込):約165,000円(税込)顕微鏡と3D光学スキャナーを用い、高精度なセラミック歯を最短1日で製作・装着する精密審美治療です。リスク・副作用:強い衝撃で割れる可能性があります。また、治療により稀に歯がしみる症状が出ることがあります。
ラミネートベニア
料金目安(税込):約176,000円(税込)歯の表面をごく薄く削り、セラミック製のシェルを貼り付けて色や形を美しく整える治療法です。リスク・副作用:歯を削る必要があります。無理な力が加わると、欠けたり剥がれたりするリスクがあります。
.webp)
















